Occupational Nerve Injuries due to Metallic Foreign Bodies: A Case Series of Eighteen Patients.

IF 0.6 Q4 ORTHOPEDICS
P Gupta, M Jindal, S Garg, K Garg
{"title":"Occupational Nerve Injuries due to Metallic Foreign Bodies: A Case Series of Eighteen Patients.","authors":"P Gupta, M Jindal, S Garg, K Garg","doi":"10.5704/MOJ.2403.011","DOIUrl":null,"url":null,"abstract":"<p><strong>Introduction: </strong>Peripheral nerve injuries (PNIs) remain an important health problem. PNIs mostly affect young men as this age group is mostly involved in road traffic accidents and other injuries at workplace. PNI can occur from foreign bodies like metal chips while working in industries using lathe machines. Among PNI's, injuries to the ulnar nerve, the brachial plexus and the median nerve are the most frequent lesions encountered.</p><p><strong>Materials and methods: </strong>This presentation is on a series of 18 cases of nerve injuries among industrial workers located from finger level up to the arm excluding the brachial plexus due to metallic foreign bodies entering while operating lathe machines over a period of two years with patients being followed-up over a one year period.</p><p><strong>Results: </strong>Mean age in this series was 31.3 years with age range 16-40 years and all were males. Two patients had more than one nerve involvement and one patient had associated vascular injury. All the patients showed functional improvement. Most common nerve injured was median nerve. Most common site for nerve injury was forearm. Combined lesions most commonly involved the ulnar and median nerves.</p><p><strong>Conclusion: </strong>Social cost of traumatic peripheral nerve injuries is significant since it has a higher incidence in young, previously healthy, and economically active people.</p>","PeriodicalId":45241,"journal":{"name":"Malaysian Orthopaedic Journal","volume":"18 1","pages":"84-90"},"PeriodicalIF":0.6000,"publicationDate":"2024-03-01","publicationTypes":"Journal Article","fieldsOfStudy":null,"isOpenAccess":false,"openAccessPdf":"https://www.ncbi.nlm.nih.gov/pmc/articles/PMC11023338/pdf/","citationCount":"0","resultStr":null,"platform":"Semanticscholar","paperid":null,"PeriodicalName":"Malaysian Orthopaedic Journal","FirstCategoryId":"1085","ListUrlMain":"https://doi.org/10.5704/MOJ.2403.011","RegionNum":0,"RegionCategory":null,"ArticlePicture":[],"TitleCN":null,"AbstractTextCN":null,"PMCID":null,"EPubDate":"","PubModel":"","JCR":"Q4","JCRName":"ORTHOPEDICS","Score":null,"Total":0}
引用次数: 0

Abstract

Introduction: Peripheral nerve injuries (PNIs) remain an important health problem. PNIs mostly affect young men as this age group is mostly involved in road traffic accidents and other injuries at workplace. PNI can occur from foreign bodies like metal chips while working in industries using lathe machines. Among PNI's, injuries to the ulnar nerve, the brachial plexus and the median nerve are the most frequent lesions encountered.

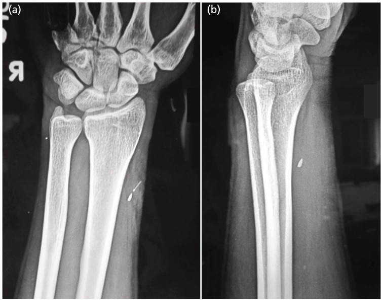
Materials and methods: This presentation is on a series of 18 cases of nerve injuries among industrial workers located from finger level up to the arm excluding the brachial plexus due to metallic foreign bodies entering while operating lathe machines over a period of two years with patients being followed-up over a one year period.

Results: Mean age in this series was 31.3 years with age range 16-40 years and all were males. Two patients had more than one nerve involvement and one patient had associated vascular injury. All the patients showed functional improvement. Most common nerve injured was median nerve. Most common site for nerve injury was forearm. Combined lesions most commonly involved the ulnar and median nerves.

Conclusion: Social cost of traumatic peripheral nerve injuries is significant since it has a higher incidence in young, previously healthy, and economically active people.

Abstract Image

Abstract Image

Abstract Image

金属异物导致的职业性神经损伤:十八名患者的病例系列。
简介周围神经损伤(PNIs)仍然是一个重要的健康问题。外周神经损伤多发于年轻男性,因为这个年龄段的人多涉及道路交通事故和其他工伤。在使用车床工作的行业中,金属碎片等异物也可能导致 PNI。在 PNI 中,尺神经、臂丛神经和正中神经损伤是最常见的病变:本报告介绍了两年内 18 例工业工人因操作车床时金属异物进入而造成的神经损伤,损伤部位从手指到手臂,但不包括臂丛神经,并对患者进行了为期一年的随访:该系列患者的平均年龄为 31.3 岁,年龄在 16-40 岁之间,均为男性。两名患者有多条神经受累,一名患者伴有血管损伤。所有患者的功能均有所改善。最常见的损伤神经是正中神经。最常见的神经损伤部位是前臂。合并损伤最常见的是尺神经和正中神经:结论:外伤性周围神经损伤的社会成本很高,因为它在年轻、健康和经济活跃的人群中发病率较高。
本文章由计算机程序翻译,如有差异,请以英文原文为准。
求助全文
约1分钟内获得全文 求助全文
来源期刊
CiteScore
1.30
自引率
0.00%
发文量
104
审稿时长
24 weeks
期刊介绍: The Malaysian Orthopaedic Journal is a peer-reviewed journal that publishes original papers and case reports three times a year in both printed and electronic version. The purpose of MOJ is to disseminate new knowledge and provide updates in Orthopaedics, trauma and musculoskeletal research. It is an Open Access journal that does not require processing fee or article processing charge from the authors. The Malaysian Orthopaedic Journal is the official journal of Malaysian Orthopaedic Association (MOA) and ASEAN Orthopaedic Association (AOA).
×
引用
GB/T 7714-2015
复制
MLA
复制
APA
复制
导出至
BibTeX EndNote RefMan NoteFirst NoteExpress
×
提示
您的信息不完整,为了账户安全,请先补充。
现在去补充
×
提示
您因"违规操作"
具体请查看互助需知
我知道了
×
提示
确定
请完成安全验证×
copy
已复制链接
快去分享给好友吧!
我知道了
右上角分享
点击右上角分享
0
联系我们:info@booksci.cn Book学术提供免费学术资源搜索服务,方便国内外学者检索中英文文献。致力于提供最便捷和优质的服务体验。 Copyright © 2023 布克学术 All rights reserved.
京ICP备2023020795号-1
ghs 京公网安备 11010802042870号
Book学术文献互助
Book学术文献互助群
群 号:604180095
Book学术官方微信