GM1 and GM2-Gangliosidosis: Clinical Features, Neuroimaging Findings and Electroencephalography.

IF 0.9 Q4 CLINICAL NEUROLOGY
Iranian Journal of Child Neurology Pub Date : 2024-01-01 Epub Date: 2024-03-12 DOI:10.22037/ijcn.v18i2.40751
Parvaneh Karimzadeh, Masomeh Ebrahimi, Korosh Etemad, Farzad Ahmad Abadi, Zahra Hosseini Nezhad
{"title":"GM1 and GM2-Gangliosidosis: Clinical Features, Neuroimaging Findings and Electroencephalography.","authors":"Parvaneh Karimzadeh, Masomeh Ebrahimi, Korosh Etemad, Farzad Ahmad Abadi, Zahra Hosseini Nezhad","doi":"10.22037/ijcn.v18i2.40751","DOIUrl":null,"url":null,"abstract":"<p><strong>Abstract: </strong>Gangliosidosis is one of the hereditary metabolic diseases caused by the accumulation of Gangliosid in the central nervous system, leading to severe and progressive neurological deficits. Regarding phenotype, GM1 and GM2-Gangliosidosis are divided into Infantile, Juvenile, and Adult.</p><p><strong>Materials & methods: </strong>In this study, thirty-seven patients with GM1 and GM2-Gangliosidosis were referred to the neurology department of Mofid Children's Hospital in Tehran, Iran, whose disease was confirmed from September 2019 to December 2021. This study assessed age, sex, and developmental status before the onset of the disease, clinical manifestations, brain imaging, and electroencephalography.</p><p><strong>Results: </strong>97.20% of patients were the result of family marriage. Approximately 80% of juvenile patients were developmentally normal before the onset of the disease. Developmental delay was more common among infantile GM1-Gangliosidosis than infantile GM2-Gangliosidosis, but in total, more than 50% of GM1&GM2-Gangliosidosis patients had reached their developmental milestone before the onset of the disease. With the onset of disease symptoms, 100% of patients regressed in terms of movement, 97.20% of them mentally, and 75% of them had seizures during the disease. The most common clinical findings were cherry-red spot, Mongolian spot, macrocephaly, organomegaly, hyperacusis, and scoliosis. The most common brain imaging findings included bilateral thalamus involvement, brain atrophy, PVL, and delayed myelination. The most common finding in electroencephalography was background low voltage with abnormal sharp waves.</p><p><strong>Conclusion: </strong>This study concluded that most of the patients are the result of family marriage, and most of the juvenile patients are developmentally normal before the onset of the disease. In addition, more than 50% of infantile patients reach their developmental milestones before the onset of the disease. The most common clinical findings of these patients are seizures, cherry-red spot, macrocephaly, hyperacusis, Mongolian spot, and bilateral involvement of the thalamus.</p>","PeriodicalId":14537,"journal":{"name":"Iranian Journal of Child Neurology","volume":"18 2","pages":"127-140"},"PeriodicalIF":0.9000,"publicationDate":"2024-01-01","publicationTypes":"Journal Article","fieldsOfStudy":null,"isOpenAccess":false,"openAccessPdf":"https://www.ncbi.nlm.nih.gov/pmc/articles/PMC11015724/pdf/","citationCount":"0","resultStr":null,"platform":"Semanticscholar","paperid":null,"PeriodicalName":"Iranian Journal of Child Neurology","FirstCategoryId":"1085","ListUrlMain":"https://doi.org/10.22037/ijcn.v18i2.40751","RegionNum":0,"RegionCategory":null,"ArticlePicture":[],"TitleCN":null,"AbstractTextCN":null,"PMCID":null,"EPubDate":"2024/3/12 0:00:00","PubModel":"Epub","JCR":"Q4","JCRName":"CLINICAL NEUROLOGY","Score":null,"Total":0}
引用次数: 0

Abstract

Abstract: Gangliosidosis is one of the hereditary metabolic diseases caused by the accumulation of Gangliosid in the central nervous system, leading to severe and progressive neurological deficits. Regarding phenotype, GM1 and GM2-Gangliosidosis are divided into Infantile, Juvenile, and Adult.

Materials & methods: In this study, thirty-seven patients with GM1 and GM2-Gangliosidosis were referred to the neurology department of Mofid Children's Hospital in Tehran, Iran, whose disease was confirmed from September 2019 to December 2021. This study assessed age, sex, and developmental status before the onset of the disease, clinical manifestations, brain imaging, and electroencephalography.

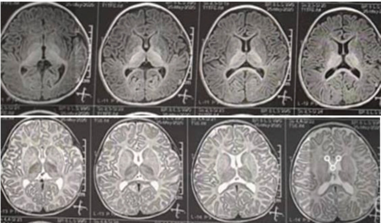
Results: 97.20% of patients were the result of family marriage. Approximately 80% of juvenile patients were developmentally normal before the onset of the disease. Developmental delay was more common among infantile GM1-Gangliosidosis than infantile GM2-Gangliosidosis, but in total, more than 50% of GM1&GM2-Gangliosidosis patients had reached their developmental milestone before the onset of the disease. With the onset of disease symptoms, 100% of patients regressed in terms of movement, 97.20% of them mentally, and 75% of them had seizures during the disease. The most common clinical findings were cherry-red spot, Mongolian spot, macrocephaly, organomegaly, hyperacusis, and scoliosis. The most common brain imaging findings included bilateral thalamus involvement, brain atrophy, PVL, and delayed myelination. The most common finding in electroencephalography was background low voltage with abnormal sharp waves.

Conclusion: This study concluded that most of the patients are the result of family marriage, and most of the juvenile patients are developmentally normal before the onset of the disease. In addition, more than 50% of infantile patients reach their developmental milestones before the onset of the disease. The most common clinical findings of these patients are seizures, cherry-red spot, macrocephaly, hyperacusis, Mongolian spot, and bilateral involvement of the thalamus.

Abstract Image

Abstract Image

Abstract Image

GM1和GM2-神经节苷脂病:临床特征、神经影像学发现和脑电图。
摘要:神经节苷脂病(Gangliosidosis)是一种遗传性代谢性疾病,由神经节苷脂在中枢神经系统蓄积引起,导致严重的进行性神经功能障碍。根据表型,GM1 和 GM2-神经节苷脂病可分为婴儿型、青少年型和成人型:在这项研究中,伊朗德黑兰莫菲德儿童医院神经内科转诊了 37 名 GM1 和 GM2-神经节苷脂病患者,他们的疾病在 2019 年 9 月至 2021 年 12 月期间得到确诊。本研究对患者发病前的年龄、性别和发育状况、临床表现、脑成像和脑电图进行了评估:97.20%的患者为家族婚配。约 80% 的青少年患者发病前发育正常。发育迟缓在婴幼儿GM1-神经节苷脂病患者中比婴幼儿GM2-神经节苷脂病患者更为常见,但总的来说,超过50%的GM1和GM2-神经节苷脂病患者在发病前已达到发育阶段。随着疾病症状的出现,100%的患者在运动方面出现退步,97.20%的患者在精神方面出现退步,75%的患者在患病期间出现癫痫发作。最常见的临床表现为樱桃红色斑、蒙古斑、巨颅症、器官肥大、听力减退和脊柱侧弯。最常见的脑成像结果包括双侧丘脑受累、脑萎缩、PVL和髓鞘化延迟。脑电图最常见的发现是背景低电压伴异常尖波:本研究得出结论,大多数患者是家族婚姻的结果,大多数青少年患者在发病前发育正常。此外,50% 以上的婴幼儿患者在发病前已达到发育阶段。这些患者最常见的临床表现是癫痫发作、樱桃红色斑、巨颅症、听力减退、蒙古斑和双侧丘脑受累。
本文章由计算机程序翻译,如有差异,请以英文原文为准。
求助全文
约1分钟内获得全文 求助全文
来源期刊
CiteScore
1.40
自引率
0.00%
发文量
35
×
引用
GB/T 7714-2015
复制
MLA
复制
APA
复制
导出至
BibTeX EndNote RefMan NoteFirst NoteExpress
×
提示
您的信息不完整,为了账户安全,请先补充。
现在去补充
×
提示
您因"违规操作"
具体请查看互助需知
我知道了
×
提示
确定
请完成安全验证×
copy
已复制链接
快去分享给好友吧!
我知道了
右上角分享
点击右上角分享
0
联系我们:info@booksci.cn Book学术提供免费学术资源搜索服务,方便国内外学者检索中英文文献。致力于提供最便捷和优质的服务体验。 Copyright © 2023 布克学术 All rights reserved.
京ICP备2023020795号-1
ghs 京公网安备 11010802042870号
Book学术文献互助
Book学术文献互助群
群 号:604180095
Book学术官方微信