Propolis-enhanced Calcium Hydroxide Combination for Direct Pulp Capping: Impact on Oxidative Stress Markers in Wistar Rat Teeth.

Q3 Dentistry
Ira Widjiastuti, Sri Kunarti, Evri Kusumah Ningtyas, Ayu Rafania Atikah, Khadijah Fauzi Basalamah, Amelia Evita Puspita, Novelia Ayu Widianti, Tengku Natasha Eleena Binti Tengku Ahmad Noor
{"title":"Propolis-enhanced Calcium Hydroxide Combination for Direct Pulp Capping: Impact on Oxidative Stress Markers in Wistar Rat Teeth.","authors":"Ira Widjiastuti, Sri Kunarti, Evri Kusumah Ningtyas, Ayu Rafania Atikah, Khadijah Fauzi Basalamah, Amelia Evita Puspita, Novelia Ayu Widianti, Tengku Natasha Eleena Binti Tengku Ahmad Noor","doi":"10.22037/iej.v19i2.42269","DOIUrl":null,"url":null,"abstract":"<p><strong>Introduction: </strong>This study explored the effects of propolis extract calcium hydroxide (Ca(OH)<sub>2</sub>) combination on malondialdehyde and superoxide dismutase expression in dental pulp, aiming to assess its potential as a direct pulp capping material.</p><p><strong>Materials and methods: </strong>Thirty male Wistar rats were randomly assigned to three groups. Mandibular molar teeth were prepared using a low-speed round bur. In Group I, no material was applied; in Group II, teeth were treated with Ca(OH)<sub>2</sub>; and in Group III, teeth were treated with Propolis extract-Ca(OH)<sub>2</sub>, followed by Cention N filling. Immunohistochemistry was conducted on pulp tissue samples obtained on the third and seventh days post-treatment to assess malondialdehyde and superoxide dismutase expression. Statistical analyses included the Shapiro-Wilk test, Levene test, ANOVA, and Tukey's HSD.</p><p><strong>Results: </strong>The samples treated with propolis extract-Ca(OH)<sub>2</sub> combination exhibited significantly lower malondialdehyde expression on both days compared to samples treated with Ca(OH)<sub>2</sub> (<i>P</i><0.05), indicating reduced oxidative stress. Superoxide dismutase expression in the propolis extract-Ca(OH)<sub>2</sub> group was higher (<i>P</i><0.05), suggesting an enhanced antioxidant activity. The control group showed intermediate results. Statistical analyses confirmed significant differences between groups for both malondialdehyde and superoxide dismutase expressions (<i>P</i><0.05).</p><p><strong>Conclusion: </strong>The study suggests that the propolis extract-Ca(OH)<sub>2</sub> combination holds promise for direct pulp capping applications by minimizing oxidative stress and promoting antioxidant defense mechanisms in dental pulp.</p>","PeriodicalId":14534,"journal":{"name":"Iranian Endodontic Journal","volume":"19 2","pages":"99-104"},"PeriodicalIF":0.0000,"publicationDate":"2024-01-01","publicationTypes":"Journal Article","fieldsOfStudy":null,"isOpenAccess":false,"openAccessPdf":"https://www.ncbi.nlm.nih.gov/pmc/articles/PMC10988644/pdf/","citationCount":"0","resultStr":null,"platform":"Semanticscholar","paperid":null,"PeriodicalName":"Iranian Endodontic Journal","FirstCategoryId":"1085","ListUrlMain":"https://doi.org/10.22037/iej.v19i2.42269","RegionNum":0,"RegionCategory":null,"ArticlePicture":[],"TitleCN":null,"AbstractTextCN":null,"PMCID":null,"EPubDate":"","PubModel":"","JCR":"Q3","JCRName":"Dentistry","Score":null,"Total":0}
引用次数: 0

Abstract

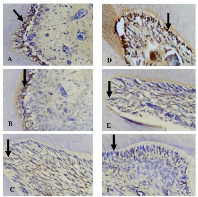
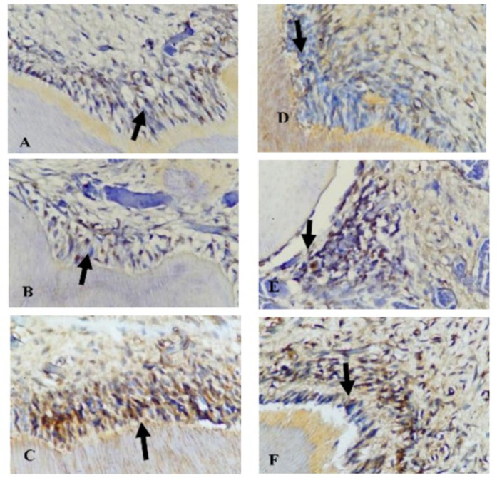
Introduction: This study explored the effects of propolis extract calcium hydroxide (Ca(OH)2) combination on malondialdehyde and superoxide dismutase expression in dental pulp, aiming to assess its potential as a direct pulp capping material.

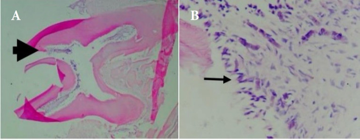
Materials and methods: Thirty male Wistar rats were randomly assigned to three groups. Mandibular molar teeth were prepared using a low-speed round bur. In Group I, no material was applied; in Group II, teeth were treated with Ca(OH)2; and in Group III, teeth were treated with Propolis extract-Ca(OH)2, followed by Cention N filling. Immunohistochemistry was conducted on pulp tissue samples obtained on the third and seventh days post-treatment to assess malondialdehyde and superoxide dismutase expression. Statistical analyses included the Shapiro-Wilk test, Levene test, ANOVA, and Tukey's HSD.

Results: The samples treated with propolis extract-Ca(OH)2 combination exhibited significantly lower malondialdehyde expression on both days compared to samples treated with Ca(OH)2 (P<0.05), indicating reduced oxidative stress. Superoxide dismutase expression in the propolis extract-Ca(OH)2 group was higher (P<0.05), suggesting an enhanced antioxidant activity. The control group showed intermediate results. Statistical analyses confirmed significant differences between groups for both malondialdehyde and superoxide dismutase expressions (P<0.05).

Conclusion: The study suggests that the propolis extract-Ca(OH)2 combination holds promise for direct pulp capping applications by minimizing oxidative stress and promoting antioxidant defense mechanisms in dental pulp.

Abstract Image

Abstract Image

Abstract Image

蜂胶增强型氢氧化钙组合用于牙髓直接盖合:对 Wistar 大鼠牙齿氧化应激标记的影响
简介:本研究探讨了蜂胶提取物氢氧化钙(Ca(OH)2)组合对牙髓中丙二醛和超氧化物歧化酶表达的影响,旨在评估其作为直接牙髓封闭材料的潜力:将 30 只雄性 Wistar 大鼠随机分为三组。使用低速圆钻准备下颌磨牙。I 组不使用任何材料;II 组使用 Ca(OH)2 处理牙齿;III 组使用蜂胶提取物-Ca(OH)2 处理牙齿,然后用 Cention N 填充。对治疗后第三天和第七天获得的牙髓组织样本进行免疫组化,以评估丙二醛和超氧化物歧化酶的表达。统计分析包括 Shapiro-Wilk 检验、Levene 检验、方差分析和 Tukey's HSD:结果:使用蜂胶提取物-Ca(OH)2 组合处理的样本与使用 Ca(OH)2 处理的样本相比,丙二醛表达量在两天内均显著降低(P2 组更高):该研究表明,蜂胶提取物-Ca(OH)2 组合可最大限度地减少氧化应激,促进牙髓中的抗氧化防御机制,因此有望直接用于牙髓封盖。
本文章由计算机程序翻译,如有差异,请以英文原文为准。
求助全文
约1分钟内获得全文 求助全文
来源期刊
Iranian Endodontic Journal
Iranian Endodontic Journal Dentistry-Dentistry (all)
CiteScore
1.30
自引率
0.00%
发文量
0
审稿时长
12 weeks
期刊介绍: The Iranian Endodontic Journal (IEJ) is an international peer-reviewed biomedical publication, the aim of which is to provide a scientific medium of communication for researchers throughout the globe. IEJ aims to publish the highest quality articles, both clinical and scientific, on all aspects of Endodontics. The journal is an official Journal of the Iranian Center for Endodontic Research (ICER) and the Iranian Association of Endodontists (IAE). The Journal welcomes articles related to the scientific or applied aspects of endodontics e.g. original researches, systematic reviews, meta-analyses, review articles, clinical trials, case series/reports, hypotheses, letters to the editor, etc. From the beginning (i.e. since 2006), the IEJ was the first open access endodontic journal in the world, which gave readers free and instant access to published articles and enabling them faster discovery of the latest endodontic research.
×
引用
GB/T 7714-2015
复制
MLA
复制
APA
复制
导出至
BibTeX EndNote RefMan NoteFirst NoteExpress
×
提示
您的信息不完整,为了账户安全,请先补充。
现在去补充
×
提示
您因"违规操作"
具体请查看互助需知
我知道了
×
提示
确定
请完成安全验证×
copy
已复制链接
快去分享给好友吧!
我知道了
右上角分享
点击右上角分享
0
联系我们:info@booksci.cn Book学术提供免费学术资源搜索服务,方便国内外学者检索中英文文献。致力于提供最便捷和优质的服务体验。 Copyright © 2023 布克学术 All rights reserved.
京ICP备2023020795号-1
ghs 京公网安备 11010802042870号
Book学术文献互助
Book学术文献互助群
群 号:604180095
Book学术官方微信