Percutaneous Drainage for Giant Pulmonary Interstitial Emphysema in a Tiny Infant with a Birth Weight of 327 g.

IF 0.6 Q4 PEDIATRICS
AJP Reports Pub Date : 2024-05-03 eCollection Date: 2024-04-01 DOI:10.1055/s-0044-1786713
Yuta Hoshina, Ryo Ogawa, Arata Oda, Yoshiya Kamei, Tomohiko Nakamura
{"title":"Percutaneous Drainage for Giant Pulmonary Interstitial Emphysema in a Tiny Infant with a Birth Weight of 327 g.","authors":"Yuta Hoshina, Ryo Ogawa, Arata Oda, Yoshiya Kamei, Tomohiko Nakamura","doi":"10.1055/s-0044-1786713","DOIUrl":null,"url":null,"abstract":"<p><p>Giant pulmonary cyst in extremely low birth weight (ELBW) infants has been described as one of severe pulmonary diseases. Any definitive therapy for refractory cases, where conservative methods of treatments are not effective, has not been established as a standard. Herein, we report an ELBW infant with a giant pulmonary cyst cured by percutaneous drainage without any adverse events. A female infant was born with a birth weight of 327 g. Surfactant was administered on days 1 and 2 of life to treat respiratory distress syndrome. Tracheal intubation was performed and synchronized intermittent mandatory ventilation was promptly initiated following birth. On the course, right giant pulmonary cyst developed on day 9 after birth. Although we started conservative therapy, including right lateral decubitus positioning, high-frequency oscillatory ventilation, and systemic corticosteroid administration, the diameter of the cyst had reached 34 mm, and mediastinal displacement was observed on day 28 after birth when she weighed 393 g. She recovered by percutaneous drainage followed by suction with a pressure of -10 cm H <sub>2</sub> O under mild sedation for 3 days. We believe that percutaneous drainage can be one of the available options for unilateral pulmonary interstitial emphysema.</p>","PeriodicalId":7645,"journal":{"name":"AJP Reports","volume":"14 2","pages":"e133-e135"},"PeriodicalIF":0.6000,"publicationDate":"2024-05-03","publicationTypes":"Journal Article","fieldsOfStudy":null,"isOpenAccess":false,"openAccessPdf":"https://www.ncbi.nlm.nih.gov/pmc/articles/PMC11068432/pdf/","citationCount":"0","resultStr":null,"platform":"Semanticscholar","paperid":null,"PeriodicalName":"AJP Reports","FirstCategoryId":"1085","ListUrlMain":"https://doi.org/10.1055/s-0044-1786713","RegionNum":0,"RegionCategory":null,"ArticlePicture":[],"TitleCN":null,"AbstractTextCN":null,"PMCID":null,"EPubDate":"2024/4/1 0:00:00","PubModel":"eCollection","JCR":"Q4","JCRName":"PEDIATRICS","Score":null,"Total":0}
引用次数: 0

Abstract

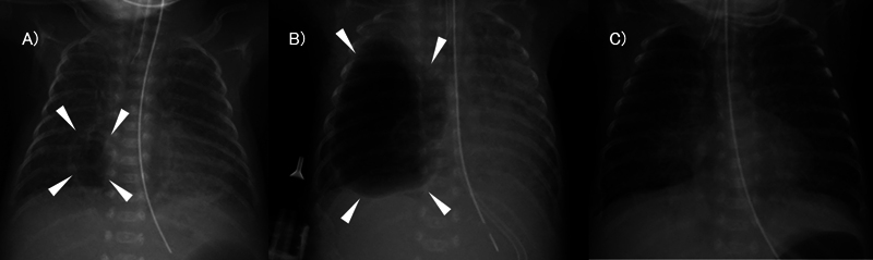
Giant pulmonary cyst in extremely low birth weight (ELBW) infants has been described as one of severe pulmonary diseases. Any definitive therapy for refractory cases, where conservative methods of treatments are not effective, has not been established as a standard. Herein, we report an ELBW infant with a giant pulmonary cyst cured by percutaneous drainage without any adverse events. A female infant was born with a birth weight of 327 g. Surfactant was administered on days 1 and 2 of life to treat respiratory distress syndrome. Tracheal intubation was performed and synchronized intermittent mandatory ventilation was promptly initiated following birth. On the course, right giant pulmonary cyst developed on day 9 after birth. Although we started conservative therapy, including right lateral decubitus positioning, high-frequency oscillatory ventilation, and systemic corticosteroid administration, the diameter of the cyst had reached 34 mm, and mediastinal displacement was observed on day 28 after birth when she weighed 393 g. She recovered by percutaneous drainage followed by suction with a pressure of -10 cm H 2 O under mild sedation for 3 days. We believe that percutaneous drainage can be one of the available options for unilateral pulmonary interstitial emphysema.

Abstract Image

Abstract Image

经皮引流治疗出生体重 327 克的小婴儿的巨大肺间质气肿
极低出生体重儿(ELBW)的巨大肺囊肿被描述为严重的肺部疾病之一。对于保守治疗无效的难治性病例,目前尚未制定出任何明确的治疗标准。在此,我们报告了一名患有巨大肺囊肿的 ELBW 婴儿,经皮引流术治愈了该病,且未出现任何不良反应。女婴出生时体重为 327 克。出生后第 1 天和第 2 天使用了表面活性物质治疗呼吸窘迫综合征。出生后立即进行了气管插管和同步间歇强制通气。在治疗过程中,出生后第 9 天出现了右侧巨大肺囊肿。尽管我们开始了保守治疗,包括右侧卧位、高频振荡通气和全身应用皮质类固醇,但囊肿的直径已达34毫米,而且在出生后第28天,当她体重为393克时,纵隔移位被观察到。通过经皮引流术,然后在轻度镇静的情况下用-10 cm H 2 O 的压力抽吸3天,她的病情得到了恢复。我们认为,经皮引流术是治疗单侧肺间质气肿的可行方法之一。
本文章由计算机程序翻译,如有差异,请以英文原文为准。
求助全文
约1分钟内获得全文 求助全文
来源期刊
AJP Reports
AJP Reports PEDIATRICS-
CiteScore
2.20
自引率
0.00%
发文量
30
审稿时长
12 weeks
×
引用
GB/T 7714-2015
复制
MLA
复制
APA
复制
导出至
BibTeX EndNote RefMan NoteFirst NoteExpress
×
提示
您的信息不完整,为了账户安全,请先补充。
现在去补充
×
提示
您因"违规操作"
具体请查看互助需知
我知道了
×
提示
确定
请完成安全验证×
copy
已复制链接
快去分享给好友吧!
我知道了
右上角分享
点击右上角分享
0
联系我们:info@booksci.cn Book学术提供免费学术资源搜索服务,方便国内外学者检索中英文文献。致力于提供最便捷和优质的服务体验。 Copyright © 2023 布克学术 All rights reserved.
京ICP备2023020795号-1
ghs 京公网安备 11010802042870号
Book学术文献互助
Book学术文献互助群
群 号:604180095
Book学术官方微信