Occlusal Radiographs in a Turkish Pediatric Subpopulation.

IF 1.8 Q3 DENTISTRY, ORAL SURGERY & MEDICINE
Bilal Ozmen, Nazlı Basak Ayna
{"title":"Occlusal Radiographs in a Turkish Pediatric Subpopulation.","authors":"Bilal Ozmen, Nazlı Basak Ayna","doi":"10.15644/asc58/1/5","DOIUrl":null,"url":null,"abstract":"<p><strong>Objectives: </strong>Dental radiographs are a useful diagnostic aid in the oral health care and dental treatment of children. The most commonly used radiographs are periapical and panoramic radiographs. Occlusal radiographs are preferred in more specific cases. The aim of this study was to retrospectively evaluate the reasons for obtaining occlusal radiographs in pediatric patients.</p><p><strong>Material and methods: </strong>Occlusal radiographs of patients aged 1-13 years who attended the Pediatric Dentistry Clinic of Ondokuz Mayıs University Faculty of Dentistry between 01 August 2015 and 01 August 2020 were retrospectively evaluated. Patients with syndromes and diseases that could cause cleft lip and palate and dental anomalies were not included in the study. The medical history of the 354 patients who were included in the study was provided by the automated system.</p><p><strong>Results: </strong>A total of 359 occlusal radiographs from these patients were analysed. The number of male patients included in the study was 208 and the number of female patients was 146. Occlusal radiographs of the maxilla of 312 patients were taken, of the mandible of 37 patients, and both the upper and lower jaws of 5 patients. It was found that occlusal radiographs were taken mostly for dental trauma in the permanent dentition (156), injuries in the primary dentition (68) and for the diagnosis of dental anomalies (57).</p><p><strong>Conclusions: </strong>Occlusal radiographs are taken for specific situations in pediatric dentistry and are particularly useful in the detection and diagnosis of primary and permanent tooth injuries.</p>","PeriodicalId":7154,"journal":{"name":"Acta Stomatologica Croatica","volume":"58 1","pages":"52-58"},"PeriodicalIF":1.8000,"publicationDate":"2024-03-01","publicationTypes":"Journal Article","fieldsOfStudy":null,"isOpenAccess":false,"openAccessPdf":"https://www.ncbi.nlm.nih.gov/pmc/articles/PMC10981912/pdf/","citationCount":"0","resultStr":null,"platform":"Semanticscholar","paperid":null,"PeriodicalName":"Acta Stomatologica Croatica","FirstCategoryId":"1085","ListUrlMain":"https://doi.org/10.15644/asc58/1/5","RegionNum":0,"RegionCategory":null,"ArticlePicture":[],"TitleCN":null,"AbstractTextCN":null,"PMCID":null,"EPubDate":"","PubModel":"","JCR":"Q3","JCRName":"DENTISTRY, ORAL SURGERY & MEDICINE","Score":null,"Total":0}
引用次数: 0

Abstract

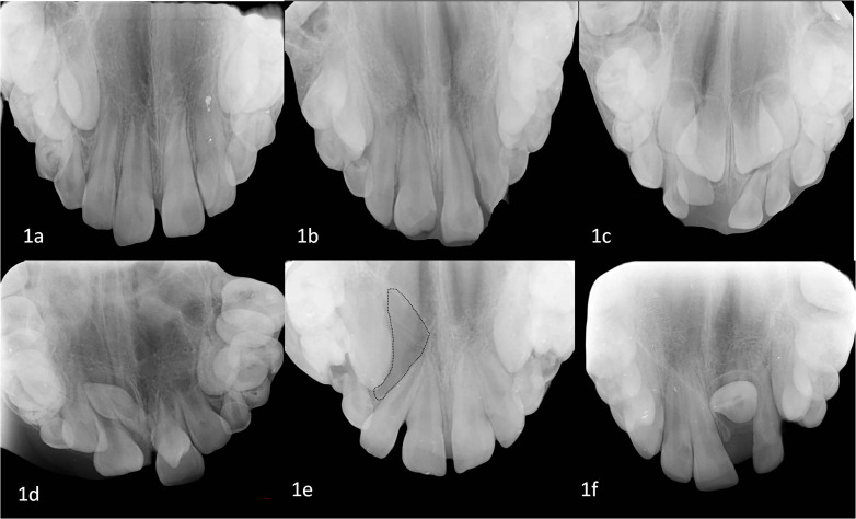
Objectives: Dental radiographs are a useful diagnostic aid in the oral health care and dental treatment of children. The most commonly used radiographs are periapical and panoramic radiographs. Occlusal radiographs are preferred in more specific cases. The aim of this study was to retrospectively evaluate the reasons for obtaining occlusal radiographs in pediatric patients.

Material and methods: Occlusal radiographs of patients aged 1-13 years who attended the Pediatric Dentistry Clinic of Ondokuz Mayıs University Faculty of Dentistry between 01 August 2015 and 01 August 2020 were retrospectively evaluated. Patients with syndromes and diseases that could cause cleft lip and palate and dental anomalies were not included in the study. The medical history of the 354 patients who were included in the study was provided by the automated system.

Results: A total of 359 occlusal radiographs from these patients were analysed. The number of male patients included in the study was 208 and the number of female patients was 146. Occlusal radiographs of the maxilla of 312 patients were taken, of the mandible of 37 patients, and both the upper and lower jaws of 5 patients. It was found that occlusal radiographs were taken mostly for dental trauma in the permanent dentition (156), injuries in the primary dentition (68) and for the diagnosis of dental anomalies (57).

Conclusions: Occlusal radiographs are taken for specific situations in pediatric dentistry and are particularly useful in the detection and diagnosis of primary and permanent tooth injuries.

Abstract Image

土耳其儿童亚群的咬合X光片。
目的:牙科 X 光片是儿童口腔保健和牙科治疗的一种有用的诊断辅助手段。最常用的射线照片是根尖周射线照片和全景射线照片。在更特殊的情况下,咬合X光片是首选。本研究旨在回顾性评估儿童患者获得咬合X光片的原因:对 2015 年 8 月 1 日至 2020 年 8 月 1 日期间在翁多库兹梅耶斯大学牙科学院儿童牙科诊所就诊的 1-13 岁患者的咬合X光片进行了回顾性评估。患有可能导致唇腭裂和牙齿畸形的综合征和疾病的患者不在研究范围内。纳入研究的 354 名患者的病史由自动系统提供:结果:共分析了这些患者的 359 张咬合射线照片。其中男性患者有 208 人,女性患者有 146 人。共拍摄了 312 名患者的上颌骨、37 名患者的下颌骨以及 5 名患者的上下颌骨的咬合X光片。研究发现,拍摄咬合X光片主要是为了检查恒牙区的牙齿创伤(156 例)、初级牙区的牙齿损伤(68 例)以及牙齿畸形的诊断(57 例):咬合X光片用于儿童牙科的特殊情况,特别是在检测和诊断原牙和恒牙损伤方面非常有用。
本文章由计算机程序翻译,如有差异,请以英文原文为准。
求助全文
约1分钟内获得全文 求助全文
来源期刊
Acta Stomatologica Croatica
Acta Stomatologica Croatica DENTISTRY, ORAL SURGERY & MEDICINE-
CiteScore
2.40
自引率
28.60%
发文量
32
审稿时长
12 weeks
期刊介绍: The Acta Stomatologica Croatica (ASCRO) is a leading scientific non-profit journal in the field of dental, oral and cranio-facial sciences during the past 44 years in Croatia. ASCRO publishes original scientific and clinical papers, preliminary communications, case reports, book reviews, letters to the editor and news. Review articles are published by invitation from the Editor-in-Chief by acclaimed professionals in distinct fields of dental medicine. All manuscripts are subjected to peer review process.
×
引用
GB/T 7714-2015
复制
MLA
复制
APA
复制
导出至
BibTeX EndNote RefMan NoteFirst NoteExpress
×
提示
您的信息不完整,为了账户安全,请先补充。
现在去补充
×
提示
您因"违规操作"
具体请查看互助需知
我知道了
×
提示
确定
请完成安全验证×
copy
已复制链接
快去分享给好友吧!
我知道了
右上角分享
点击右上角分享
0
联系我们:info@booksci.cn Book学术提供免费学术资源搜索服务,方便国内外学者检索中英文文献。致力于提供最便捷和优质的服务体验。 Copyright © 2023 布克学术 All rights reserved.
京ICP备2023020795号-1
ghs 京公网安备 11010802042870号
Book学术文献互助
Book学术文献互助群
群 号:604180095
Book学术官方微信