Necrotizing Parasagittal Meningioma in Patient with Systemic Lupus Erythematosus after Treatments with Methotrexate and Hydroxychloroquine.

IF 0.7 Q4 CLINICAL NEUROLOGY
Journal of Neurological Surgery Reports Pub Date : 2024-03-28 eCollection Date: 2024-01-01 DOI:10.1055/a-2277-4296
Thitikan Wangapakul, Ambar Elizabeth Riley Moguel, Abdel Raouf Kayssi
{"title":"Necrotizing Parasagittal Meningioma in Patient with Systemic Lupus Erythematosus after Treatments with Methotrexate and Hydroxychloroquine.","authors":"Thitikan Wangapakul, Ambar Elizabeth Riley Moguel, Abdel Raouf Kayssi","doi":"10.1055/a-2277-4296","DOIUrl":null,"url":null,"abstract":"<p><p><b>Objective</b>  Meningiomas are the most common extra-axial tumors of the central nervous system. Meningiomas are particularly problematic when they invade deep or vital structures, causing the tumors to be inoperable. Nonsurgical adjunctive or salvage treatments to shrink a meningioma with multiple recurrences, located in deep-seated area or surgically unfit area, remain underexplored. The authors report a rare case of a spontaneously necrotic meningioma (World Health Organization [WHO] grade I) in a patient with systemic lupus erythematosus on chronic methotrexate and hydroxychloroquine. <b>Case Study</b>  A 29-year-old female with systemic lupus erythematosus had been treated with methotrexate and hydroxychloroquine for 7 years. She presented with episodes of seizures and hemiparesis. Neuroimaging revealed a possible necrotic meningioma in the left parietal parasagittal area. Subsequent intraoperative findings showed lytic tissue of the tumor, and by histopathology results the tumor was classified as WHO grade I with massive necrosis. After craniotomy with tumor removal, the patient's motor function fully recovered without recurrent seizures. <b>Discussions</b>  Necrotizing of small and benign meningioma is rarely found but otherwise interesting. The cause of this phenomenon is not yet understood thoroughly. In this case, we suspected various possible causes such as vasculitis interrupting blood supply, use of immunosuppressive drugs such as hydroxychloroquine or methotrexate, or, less likely, latent infections in the immunocompromised patient. Despite the lack of more evidence supports, this finding encourages further study of nonsurgical or salvage treatment of inoperable meningioma, so sequalae after refractory recurrences of meningioma can be prevented, and patient treatment outcomes can be improved.</p>","PeriodicalId":44256,"journal":{"name":"Journal of Neurological Surgery Reports","volume":"85 1","pages":"e25-e28"},"PeriodicalIF":0.7000,"publicationDate":"2024-03-28","publicationTypes":"Journal Article","fieldsOfStudy":null,"isOpenAccess":false,"openAccessPdf":"https://www.ncbi.nlm.nih.gov/pmc/articles/PMC10978092/pdf/","citationCount":"0","resultStr":null,"platform":"Semanticscholar","paperid":null,"PeriodicalName":"Journal of Neurological Surgery Reports","FirstCategoryId":"1085","ListUrlMain":"https://doi.org/10.1055/a-2277-4296","RegionNum":0,"RegionCategory":null,"ArticlePicture":[],"TitleCN":null,"AbstractTextCN":null,"PMCID":null,"EPubDate":"2024/1/1 0:00:00","PubModel":"eCollection","JCR":"Q4","JCRName":"CLINICAL NEUROLOGY","Score":null,"Total":0}
引用次数: 0

Abstract

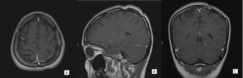
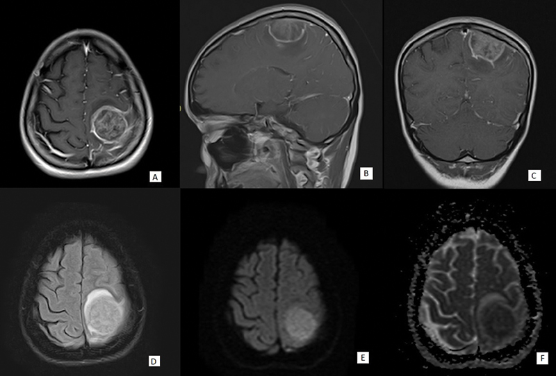
Objective  Meningiomas are the most common extra-axial tumors of the central nervous system. Meningiomas are particularly problematic when they invade deep or vital structures, causing the tumors to be inoperable. Nonsurgical adjunctive or salvage treatments to shrink a meningioma with multiple recurrences, located in deep-seated area or surgically unfit area, remain underexplored. The authors report a rare case of a spontaneously necrotic meningioma (World Health Organization [WHO] grade I) in a patient with systemic lupus erythematosus on chronic methotrexate and hydroxychloroquine. Case Study  A 29-year-old female with systemic lupus erythematosus had been treated with methotrexate and hydroxychloroquine for 7 years. She presented with episodes of seizures and hemiparesis. Neuroimaging revealed a possible necrotic meningioma in the left parietal parasagittal area. Subsequent intraoperative findings showed lytic tissue of the tumor, and by histopathology results the tumor was classified as WHO grade I with massive necrosis. After craniotomy with tumor removal, the patient's motor function fully recovered without recurrent seizures. Discussions  Necrotizing of small and benign meningioma is rarely found but otherwise interesting. The cause of this phenomenon is not yet understood thoroughly. In this case, we suspected various possible causes such as vasculitis interrupting blood supply, use of immunosuppressive drugs such as hydroxychloroquine or methotrexate, or, less likely, latent infections in the immunocompromised patient. Despite the lack of more evidence supports, this finding encourages further study of nonsurgical or salvage treatment of inoperable meningioma, so sequalae after refractory recurrences of meningioma can be prevented, and patient treatment outcomes can be improved.

Abstract Image

Abstract Image

Abstract Image

系统性红斑狼疮患者在接受甲氨蝶呤和羟氯喹治疗后出现的坏死性椎旁脑膜瘤
目的 脑膜瘤是中枢神经系统最常见的轴外肿瘤。当脑膜瘤侵犯深部或重要结构时,问题尤为严重,导致肿瘤无法手术。对位于深部或不适合手术的区域、多次复发的脑膜瘤进行非手术辅助或挽救性治疗以缩小肿瘤的方法仍未得到充分探索。作者报告了一例罕见的自发性坏死脑膜瘤病例(世界卫生组织 [WHO] I 级),患者患有系统性红斑狼疮,长期服用甲氨蝶呤和羟氯喹。病例研究 一名患有系统性红斑狼疮的 29 岁女性患者,接受甲氨蝶呤和羟氯喹治疗 7 年。她出现了癫痫发作和偏瘫。神经影像学检查发现,左侧顶叶矢状旁区域可能有一个坏死性脑膜瘤。随后的术中检查结果显示肿瘤有溶解组织,根据组织病理学结果,肿瘤被归类为WHO I级,大量坏死。开颅手术切除肿瘤后,患者的运动功能完全恢复,没有再出现癫痫发作。讨论 小型良性脑膜瘤坏死很少见,但却很有趣。造成这种现象的原因尚未完全明了。在本病例中,我们怀疑有多种可能的原因,如血管炎导致供血中断、使用羟氯喹或甲氨蝶呤等免疫抑制剂,或免疫功能低下患者的潜伏感染,但可能性较小。尽管缺乏更多的证据支持,但这一发现鼓励人们进一步研究对无法手术的脑膜瘤进行非手术治疗或挽救性治疗,从而预防脑膜瘤难治性复发后的后遗症,改善患者的治疗效果。
本文章由计算机程序翻译,如有差异,请以英文原文为准。
求助全文
约1分钟内获得全文 求助全文
来源期刊
自引率
0.00%
发文量
31
审稿时长
12 weeks
×
引用
GB/T 7714-2015
复制
MLA
复制
APA
复制
导出至
BibTeX EndNote RefMan NoteFirst NoteExpress
×
提示
您的信息不完整,为了账户安全,请先补充。
现在去补充
×
提示
您因"违规操作"
具体请查看互助需知
我知道了
×
提示
确定
请完成安全验证×
copy
已复制链接
快去分享给好友吧!
我知道了
右上角分享
点击右上角分享
0
联系我们:info@booksci.cn Book学术提供免费学术资源搜索服务,方便国内外学者检索中英文文献。致力于提供最便捷和优质的服务体验。 Copyright © 2023 布克学术 All rights reserved.
京ICP备2023020795号-1
ghs 京公网安备 11010802042870号
Book学术文献互助
Book学术文献互助群
群 号:604180095
Book学术官方微信