A Rare Variant of Zinner Syndrome Involving Ectopic Ureteral Implantation into the Seminal Vesicle Causing Recurrent Epididymitis.

Case Reports in Urology Pub Date : 2024-03-18 eCollection Date: 2024-01-01 DOI:10.1155/2024/9432939
Michael Zaliznyak, Aaron Baer, Joshua Trierweiler, Thomas Landon, Zachary Hamilton
{"title":"A Rare Variant of Zinner Syndrome Involving Ectopic Ureteral Implantation into the Seminal Vesicle Causing Recurrent Epididymitis.","authors":"Michael Zaliznyak, Aaron Baer, Joshua Trierweiler, Thomas Landon, Zachary Hamilton","doi":"10.1155/2024/9432939","DOIUrl":null,"url":null,"abstract":"<p><p>Zinner syndrome is a rare congenital anomaly characterized by a triad of renal dysgenesis/agenesis, cysts in the ipsilateral seminal vesicle, and ejaculatory duct obstruction. Though often diagnosed in infancy, the diagnoses can be incidentally found in adults who present with nonspecific genitourinary symptoms including dysuria, ejaculatory dysfunction, or genital pain. We present an unusual case of a 29-year-old male patient who presented to the emergency department with recurrent testicular pain and hematospermia and was found to have an atrophic right kidney with an ectopic ureter implanting into a cystic seminal vesicle. These findings were consistent with a rare subvariant of Zinner syndrome only previously described four times in the literature. We performed a robotic-assisted laparoscopic ectopic nephroureterectomy with sparing of his seminal vesicle. To our knowledge, this is the first report to describe the safe and effective use of robotic surgery in this setting to remove affected anatomy while preserving the patient's seminal vesicle.</p>","PeriodicalId":30323,"journal":{"name":"Case Reports in Urology","volume":"2024 ","pages":"9432939"},"PeriodicalIF":0.0000,"publicationDate":"2024-03-18","publicationTypes":"Journal Article","fieldsOfStudy":null,"isOpenAccess":false,"openAccessPdf":"https://www.ncbi.nlm.nih.gov/pmc/articles/PMC10963103/pdf/","citationCount":"0","resultStr":null,"platform":"Semanticscholar","paperid":null,"PeriodicalName":"Case Reports in Urology","FirstCategoryId":"1085","ListUrlMain":"https://doi.org/10.1155/2024/9432939","RegionNum":0,"RegionCategory":null,"ArticlePicture":[],"TitleCN":null,"AbstractTextCN":null,"PMCID":null,"EPubDate":"2024/1/1 0:00:00","PubModel":"eCollection","JCR":"","JCRName":"","Score":null,"Total":0}
引用次数: 0

Abstract

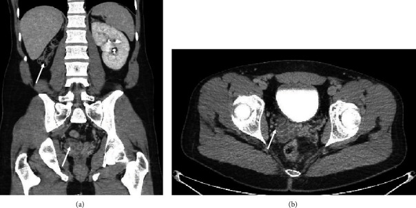
Zinner syndrome is a rare congenital anomaly characterized by a triad of renal dysgenesis/agenesis, cysts in the ipsilateral seminal vesicle, and ejaculatory duct obstruction. Though often diagnosed in infancy, the diagnoses can be incidentally found in adults who present with nonspecific genitourinary symptoms including dysuria, ejaculatory dysfunction, or genital pain. We present an unusual case of a 29-year-old male patient who presented to the emergency department with recurrent testicular pain and hematospermia and was found to have an atrophic right kidney with an ectopic ureter implanting into a cystic seminal vesicle. These findings were consistent with a rare subvariant of Zinner syndrome only previously described four times in the literature. We performed a robotic-assisted laparoscopic ectopic nephroureterectomy with sparing of his seminal vesicle. To our knowledge, this is the first report to describe the safe and effective use of robotic surgery in this setting to remove affected anatomy while preserving the patient's seminal vesicle.

Abstract Image

Abstract Image

Abstract Image

输尿管异位植入精囊导致复发性附睾炎的罕见变异型津纳综合征
津纳综合征是一种罕见的先天性异常,其特征是肾脏发育不良/起源、同侧精囊囊肿和射精管阻塞三位一体。虽然通常在婴儿期就能确诊,但也可能在出现排尿困难、射精功能障碍或生殖器疼痛等非特异性泌尿生殖系统症状的成人中偶然发现。我们介绍了一例不寻常的病例,一名29岁的男性患者因反复出现睾丸疼痛和血精症而到急诊科就诊,被发现患有萎缩性右肾,异位输尿管植入囊性精囊。这些发现与此前文献中仅描述过四次的一种罕见的 Zinner 综合征亚变异型一致。我们为他实施了机器人辅助腹腔镜异位肾切除术,并保留了精囊。据我们所知,这是第一份描述在这种情况下安全有效地使用机器人手术切除受影响解剖结构,同时保留患者精囊的报告。
本文章由计算机程序翻译,如有差异,请以英文原文为准。
求助全文
约1分钟内获得全文 求助全文
来源期刊
自引率
0.00%
发文量
28
审稿时长
13 weeks
×
引用
GB/T 7714-2015
复制
MLA
复制
APA
复制
导出至
BibTeX EndNote RefMan NoteFirst NoteExpress
×
提示
您的信息不完整,为了账户安全,请先补充。
现在去补充
×
提示
您因"违规操作"
具体请查看互助需知
我知道了
×
提示
确定
请完成安全验证×
copy
已复制链接
快去分享给好友吧!
我知道了
右上角分享
点击右上角分享
0
联系我们:info@booksci.cn Book学术提供免费学术资源搜索服务,方便国内外学者检索中英文文献。致力于提供最便捷和优质的服务体验。 Copyright © 2023 布克学术 All rights reserved.
京ICP备2023020795号-1
ghs 京公网安备 11010802042870号
Book学术文献互助
Book学术文献互助群
群 号:604180095
Book学术官方微信