Indolent T Cell Lymphoproliferation of the Gastrointestinal Tract: An Evolving Disease Entity.

IF 1.2 Q4 HEMATOLOGY
Luke Wang, Elaine Koh, Beena Kumar, Michael S Y Low
{"title":"Indolent T Cell Lymphoproliferation of the Gastrointestinal Tract: An Evolving Disease Entity.","authors":"Luke Wang, Elaine Koh, Beena Kumar, Michael S Y Low","doi":"10.3390/hematolrep16020018","DOIUrl":null,"url":null,"abstract":"<p><p><b>Background:</b> Indolent T cell lymphoproliferation of the gastrointestinal tract is a novel entity recently added to the 2016 WHO classification of lymphoid neoplasms. Classically, these patients demonstrate an immunophenotype consistent with T cell proliferation and can be either CD4-positive or CD8-positive but with a low Ki67 index, highlighting the indolent nature of this disease compared to its more aggressive T cell lymphoma counterparts such as enteropathy-associated T cell lymphoma and monomorphic epitheliotropic intestinal T cell lymphoma. <b>Methods:</b> Here, we describe one rare case of such a neoplasm under our care, initially presenting with non-specific signs and symptoms and requiring extensive investigations to diagnose. Available cases in the literature reflect a wide variety of ages and ethnicities affected, and any part of the gastrointestinal sites can be affected, which makes diagnosis difficult and prolonged; however, progression beyond lymph nodes is rare, and prognosis is otherwise favourable, particularly if CD8-positive. The optimal management of these patients remains yet to be defined, given the paucity of available cases currently. The current evidence suggests the utility of steroids, cyclosporine, radiotherapy, and a potential role for JAK inhibitors. <b>Conclusions:</b> Our case showed an excellent response to the initial course of steroids, with a subsequent successful transition to cyclosporine, keeping symptoms at bay with ongoing stable disease.</p>","PeriodicalId":12829,"journal":{"name":"Hematology Reports","volume":"16 2","pages":"179-184"},"PeriodicalIF":1.2000,"publicationDate":"2024-03-22","publicationTypes":"Journal Article","fieldsOfStudy":null,"isOpenAccess":false,"openAccessPdf":"https://www.ncbi.nlm.nih.gov/pmc/articles/PMC10961811/pdf/","citationCount":"0","resultStr":null,"platform":"Semanticscholar","paperid":null,"PeriodicalName":"Hematology Reports","FirstCategoryId":"1085","ListUrlMain":"https://doi.org/10.3390/hematolrep16020018","RegionNum":0,"RegionCategory":null,"ArticlePicture":[],"TitleCN":null,"AbstractTextCN":null,"PMCID":null,"EPubDate":"","PubModel":"","JCR":"Q4","JCRName":"HEMATOLOGY","Score":null,"Total":0}
引用次数: 0

Abstract

Background: Indolent T cell lymphoproliferation of the gastrointestinal tract is a novel entity recently added to the 2016 WHO classification of lymphoid neoplasms. Classically, these patients demonstrate an immunophenotype consistent with T cell proliferation and can be either CD4-positive or CD8-positive but with a low Ki67 index, highlighting the indolent nature of this disease compared to its more aggressive T cell lymphoma counterparts such as enteropathy-associated T cell lymphoma and monomorphic epitheliotropic intestinal T cell lymphoma. Methods: Here, we describe one rare case of such a neoplasm under our care, initially presenting with non-specific signs and symptoms and requiring extensive investigations to diagnose. Available cases in the literature reflect a wide variety of ages and ethnicities affected, and any part of the gastrointestinal sites can be affected, which makes diagnosis difficult and prolonged; however, progression beyond lymph nodes is rare, and prognosis is otherwise favourable, particularly if CD8-positive. The optimal management of these patients remains yet to be defined, given the paucity of available cases currently. The current evidence suggests the utility of steroids, cyclosporine, radiotherapy, and a potential role for JAK inhibitors. Conclusions: Our case showed an excellent response to the initial course of steroids, with a subsequent successful transition to cyclosporine, keeping symptoms at bay with ongoing stable disease.

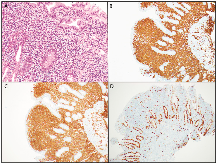
Abstract Image

胃肠道的懒惰 T 细胞淋巴细胞增生:一种不断演变的疾病实体。
背景:胃肠道惰性T细胞淋巴细胞增生是最近被列入2016年世界卫生组织淋巴肿瘤分类的一个新实体。通常,这些患者表现出与 T 细胞增生一致的免疫表型,可为 CD4 阳性或 CD8 阳性,但 Ki67 指数较低,与更具侵袭性的 T 细胞淋巴瘤(如肠病相关 T 细胞淋巴瘤和单形上皮细胞性肠 T 细胞淋巴瘤)相比,这种疾病的性质更为缓和。方法:我们在此描述了一例罕见的此类肿瘤病例,该病例最初表现为非特异性症状和体征,需要进行大量检查才能确诊。现有文献中的病例反映出患者的年龄和种族差异很大,胃肠道的任何部位都可能受累,这给诊断带来了困难并延长了诊断时间;不过,淋巴结以外的进展很少见,预后良好,尤其是在 CD8 阳性的情况下。鉴于目前可用病例较少,这些患者的最佳治疗方法仍有待确定。目前的证据表明,类固醇、环孢素、放疗是有用的,JAK 抑制剂也可能发挥作用。结论:我们的病例对类固醇的初始疗程反应良好,随后成功过渡到环孢素,症状得到控制,病情持续稳定。
本文章由计算机程序翻译,如有差异,请以英文原文为准。
求助全文
约1分钟内获得全文 求助全文
来源期刊
Hematology Reports
Hematology Reports HEMATOLOGY-
CiteScore
0.90
自引率
0.00%
发文量
47
审稿时长
10 weeks
×
引用
GB/T 7714-2015
复制
MLA
复制
APA
复制
导出至
BibTeX EndNote RefMan NoteFirst NoteExpress
×
提示
您的信息不完整,为了账户安全,请先补充。
现在去补充
×
提示
您因"违规操作"
具体请查看互助需知
我知道了
×
提示
确定
请完成安全验证×
copy
已复制链接
快去分享给好友吧!
我知道了
右上角分享
点击右上角分享
0
联系我们:info@booksci.cn Book学术提供免费学术资源搜索服务,方便国内外学者检索中英文文献。致力于提供最便捷和优质的服务体验。 Copyright © 2023 布克学术 All rights reserved.
京ICP备2023020795号-1
ghs 京公网安备 11010802042870号
Book学术文献互助
Book学术文献互助群
群 号:604180095
Book学术官方微信