P4HA2 involved in SLUG-associated EMT predicts poor prognosis of patients with KRAS-positive colorectal cancer.

IF 1.1 4区 医学 Q3 PATHOLOGY
Medical Molecular Morphology Pub Date : 2024-09-01 Epub Date: 2024-03-24 DOI:10.1007/s00795-024-00385-0
Heba El-Deek Mohammed El-Deek, Maha Salah El-Naggar, Aiat Morsy Mohamed Morsy, Mayada Fawzy Sedik, Heba Ahmed Osman, Asmaa M Ahmed
{"title":"P4HA2 involved in SLUG-associated EMT predicts poor prognosis of patients with KRAS-positive colorectal cancer.","authors":"Heba El-Deek Mohammed El-Deek, Maha Salah El-Naggar, Aiat Morsy Mohamed Morsy, Mayada Fawzy Sedik, Heba Ahmed Osman, Asmaa M Ahmed","doi":"10.1007/s00795-024-00385-0","DOIUrl":null,"url":null,"abstract":"<p><p>This study aimed to examine the immunohistochemical expression of epithelial-mesenchymal transition biomarkers: P4HA2 and SLUG in colorectal carcinoma (CRC) specimens, then to assess their relation to clinicopathological features including KRAS mutations and patients' survival, and finally to study the correlation between them in CRC. The result of this study showed that SLUG and P4HA2 were significantly higher in association with adverse prognostic factors: presence of lympho-vascular invasion, perineural invasion, higher tumor budding, tumor stage, presence of lymph node metastasis, and presence of distant metastasis. CRC specimens with KRAS mutation were associated with significant higher SLUG and P4HA2 expression. High expression of both SLUG and P4HA2 was significantly unfavorable prognostic indicator as regards overall survival (OS) and disease-free survival (DFS). In KRAS mutated cases, high P4HA2 expression was the only significant poor prognostic indicator as regarding DFS. In conclusions, our data highlight that both SLUG and P4HA2 expression may serve as potentially important poor prognostic biomarkers in CRC and targeting these molecules may be providing a novel therapeutic strategy. In KRAS mutation group, high P4HA2 expression is the only independent prognostic factor for tumor recurrence, so it can be suggested to be a novel target for therapy.</p>","PeriodicalId":18338,"journal":{"name":"Medical Molecular Morphology","volume":" ","pages":"167-176"},"PeriodicalIF":1.1000,"publicationDate":"2024-09-01","publicationTypes":"Journal Article","fieldsOfStudy":null,"isOpenAccess":false,"openAccessPdf":"https://www.ncbi.nlm.nih.gov/pmc/articles/PMC11343967/pdf/","citationCount":"0","resultStr":null,"platform":"Semanticscholar","paperid":null,"PeriodicalName":"Medical Molecular Morphology","FirstCategoryId":"3","ListUrlMain":"https://doi.org/10.1007/s00795-024-00385-0","RegionNum":4,"RegionCategory":"医学","ArticlePicture":[],"TitleCN":null,"AbstractTextCN":null,"PMCID":null,"EPubDate":"2024/3/24 0:00:00","PubModel":"Epub","JCR":"Q3","JCRName":"PATHOLOGY","Score":null,"Total":0}
引用次数: 0

Abstract

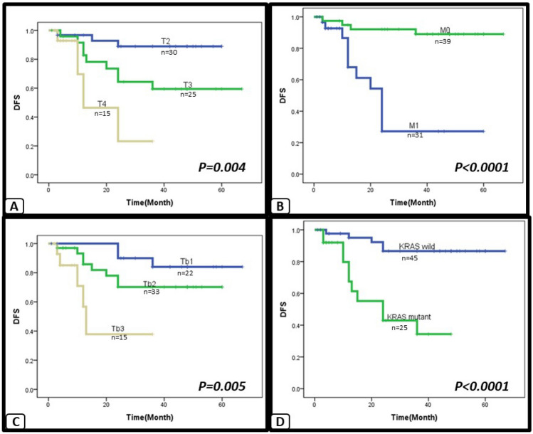
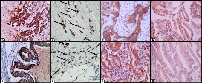
This study aimed to examine the immunohistochemical expression of epithelial-mesenchymal transition biomarkers: P4HA2 and SLUG in colorectal carcinoma (CRC) specimens, then to assess their relation to clinicopathological features including KRAS mutations and patients' survival, and finally to study the correlation between them in CRC. The result of this study showed that SLUG and P4HA2 were significantly higher in association with adverse prognostic factors: presence of lympho-vascular invasion, perineural invasion, higher tumor budding, tumor stage, presence of lymph node metastasis, and presence of distant metastasis. CRC specimens with KRAS mutation were associated with significant higher SLUG and P4HA2 expression. High expression of both SLUG and P4HA2 was significantly unfavorable prognostic indicator as regards overall survival (OS) and disease-free survival (DFS). In KRAS mutated cases, high P4HA2 expression was the only significant poor prognostic indicator as regarding DFS. In conclusions, our data highlight that both SLUG and P4HA2 expression may serve as potentially important poor prognostic biomarkers in CRC and targeting these molecules may be providing a novel therapeutic strategy. In KRAS mutation group, high P4HA2 expression is the only independent prognostic factor for tumor recurrence, so it can be suggested to be a novel target for therapy.

Abstract Image

Abstract Image

Abstract Image

参与 SLUG 相关 EMT 的 P4HA2 预测了 KRAS 阳性结直肠癌患者的不良预后。
本研究旨在检测上皮-间质转化生物标志物P4HA2和SLUG在结直肠癌(CRC)标本中的免疫组化表达:P4HA2和SLUG在结直肠癌(CRC)标本中的免疫组化表达,然后评估它们与临床病理特征(包括KRAS突变)和患者生存期的关系,最后研究它们在CRC中的相关性。研究结果表明,SLUG和P4HA2与不良预后因素(淋巴管侵犯、神经周围侵犯、肿瘤萌芽程度较高、肿瘤分期、淋巴结转移和远处转移)的相关性明显较高。有 KRAS 突变的 CRC 标本与 SLUG 和 P4HA2 的高表达有关。就总生存期(OS)和无病生存期(DFS)而言,SLUG和P4HA2的高表达是明显不利的预后指标。在KRAS突变的病例中,P4HA2的高表达是唯一显著影响无病生存期的不良预后指标。总之,我们的数据强调,SLUG 和 P4HA2 的表达可能是 CRC 潜在的重要不良预后生物标志物,针对这些分子可能提供一种新的治疗策略。在KRAS突变组中,P4HA2的高表达是肿瘤复发的唯一独立预后因素,因此可将其作为新的治疗靶点。
本文章由计算机程序翻译,如有差异,请以英文原文为准。
求助全文
约1分钟内获得全文 求助全文
来源期刊
Medical Molecular Morphology
Medical Molecular Morphology 医学-病理学
CiteScore
2.90
自引率
5.60%
发文量
30
审稿时长
>12 weeks
期刊介绍: Medical Molecular Morphology is an international forum for researchers in both basic and clinical medicine to present and discuss new research on the structural mechanisms and the processes of health and disease at the molecular level. The structures of molecules, organelles, cells, tissues, and organs determine their normal function. Disease is thus best understood in terms of structural changes in these different levels of biological organization, especially in molecules and molecular interactions as well as the cellular localization of chemical components. Medical Molecular Morphology welcomes articles on basic or clinical research in the fields of cell biology, molecular biology, and medical, veterinary, and dental sciences using techniques for structural research such as electron microscopy, confocal laser scanning microscopy, enzyme histochemistry, immunohistochemistry, radioautography, X-ray microanalysis, and in situ hybridization. Manuscripts submitted for publication must contain a statement to the effect that all human studies have been reviewed by the appropriate ethics committee and have therefore been performed in accordance with the ethical standards laid down in an appropriate version of the 1964 Declaration of Helsinki. It should also be stated clearly in the text that all persons gave their informed consent prior to their inclusion in the study. Details that might disclose the identity of the subjects under study should be omitted.
×
引用
GB/T 7714-2015
复制
MLA
复制
APA
复制
导出至
BibTeX EndNote RefMan NoteFirst NoteExpress
×
提示
您的信息不完整,为了账户安全,请先补充。
现在去补充
×
提示
您因"违规操作"
具体请查看互助需知
我知道了
×
提示
确定
请完成安全验证×
copy
已复制链接
快去分享给好友吧!
我知道了
右上角分享
点击右上角分享
0
联系我们:info@booksci.cn Book学术提供免费学术资源搜索服务,方便国内外学者检索中英文文献。致力于提供最便捷和优质的服务体验。 Copyright © 2023 布克学术 All rights reserved.
京ICP备2023020795号-1
ghs 京公网安备 11010802042870号
Book学术文献互助
Book学术文献互助群
群 号:604180095
Book学术官方微信