Cutaneous metastasis in hypopharyngeal carcinoma: a case report.

IF 0.9 4区 医学 Q4 MEDICINE, RESEARCH & EXPERIMENTAL
Asian Biomedicine Pub Date : 2024-03-20 eCollection Date: 2024-02-01 DOI:10.2478/abm-2024-0006
Rafia Shahzad, Tooba Anjum, Abu Baker Shahid
{"title":"Cutaneous metastasis in hypopharyngeal carcinoma: a case report.","authors":"Rafia Shahzad, Tooba Anjum, Abu Baker Shahid","doi":"10.2478/abm-2024-0006","DOIUrl":null,"url":null,"abstract":"<p><strong>Background: </strong>Occurrence of cutaneous metastasis in hypopharyngeal carcinoma is an extremely rare event reported in the literature, with an incidence of only 0.8%-1.3%. Early diagnosis of cutaneous metastasis would have a positive impact on treatment response and disease prognosis with diagnosis mainly dependent on physical examination and radiological imaging (ultrasonography, computed tomography scan or PET-CT). Palliative care is, however, the mainstay of treatment for cutaneous metastasis.</p><p><strong>Case presentation: </strong>We report a middle-aged female patient, with known case of hypopharyngeal squamous cell carcinoma, who initially showed partial response to chemoradiotherapy but developed cutaneous nodules in the region of the right axilla and bilateral lateral chest wall posterior to the posterior axillary fold. Excision biopsy of one of these nodules showed metastatic squamous cell carcinoma. The patient was again referred to the Oncology Department of INMOL Hospital and her chemotherapy was planned for cutaneous metastasis.</p><p><strong>Conclusion: </strong>Being uncommon, the occurrence of cutaneous lesions in a patient with hypopharyngeal carcinoma should prompt detailed evaluation to rule out metastasis. Early detection will help in improving disease prognosis and median survival.</p>","PeriodicalId":8501,"journal":{"name":"Asian Biomedicine","volume":"18 1","pages":"30-34"},"PeriodicalIF":0.9000,"publicationDate":"2024-03-20","publicationTypes":"Journal Article","fieldsOfStudy":null,"isOpenAccess":false,"openAccessPdf":"https://www.ncbi.nlm.nih.gov/pmc/articles/PMC10953843/pdf/","citationCount":"0","resultStr":null,"platform":"Semanticscholar","paperid":null,"PeriodicalName":"Asian Biomedicine","FirstCategoryId":"3","ListUrlMain":"https://doi.org/10.2478/abm-2024-0006","RegionNum":4,"RegionCategory":"医学","ArticlePicture":[],"TitleCN":null,"AbstractTextCN":null,"PMCID":null,"EPubDate":"2024/2/1 0:00:00","PubModel":"eCollection","JCR":"Q4","JCRName":"MEDICINE, RESEARCH & EXPERIMENTAL","Score":null,"Total":0}
引用次数: 0

Abstract

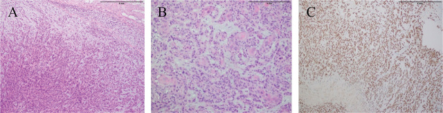
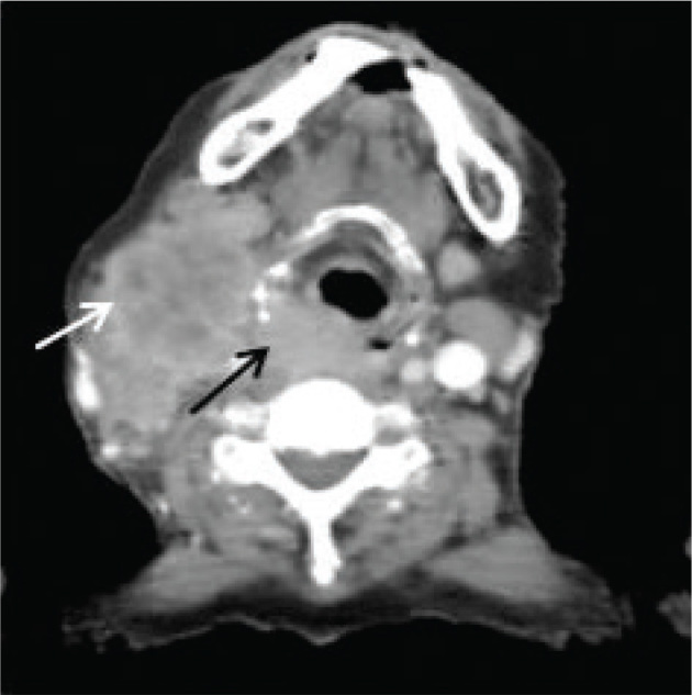
Background: Occurrence of cutaneous metastasis in hypopharyngeal carcinoma is an extremely rare event reported in the literature, with an incidence of only 0.8%-1.3%. Early diagnosis of cutaneous metastasis would have a positive impact on treatment response and disease prognosis with diagnosis mainly dependent on physical examination and radiological imaging (ultrasonography, computed tomography scan or PET-CT). Palliative care is, however, the mainstay of treatment for cutaneous metastasis.

Case presentation: We report a middle-aged female patient, with known case of hypopharyngeal squamous cell carcinoma, who initially showed partial response to chemoradiotherapy but developed cutaneous nodules in the region of the right axilla and bilateral lateral chest wall posterior to the posterior axillary fold. Excision biopsy of one of these nodules showed metastatic squamous cell carcinoma. The patient was again referred to the Oncology Department of INMOL Hospital and her chemotherapy was planned for cutaneous metastasis.

Conclusion: Being uncommon, the occurrence of cutaneous lesions in a patient with hypopharyngeal carcinoma should prompt detailed evaluation to rule out metastasis. Early detection will help in improving disease prognosis and median survival.

Abstract Image

Abstract Image

Abstract Image

下咽癌的皮肤转移:病例报告。
背景:文献报道,下咽癌发生皮肤转移极为罕见,发生率仅为 0.8%-1.3%。皮肤转移的早期诊断将对治疗反应和疾病预后产生积极影响,而诊断主要依赖于体格检查和放射成像(超声波、计算机断层扫描或 PET-CT)。然而,姑息治疗是治疗皮肤转移的主要方法:我们报告了一名已知患有下咽鳞状细胞癌的中年女性患者,她最初对化放疗表现出部分反应,但在右侧腋窝和腋窝后皱襞后方的双侧胸壁区域出现了皮肤结节。其中一个结节的切除活检显示为转移性鳞状细胞癌。患者再次被转诊至 INMOL 医院肿瘤科,并计划进行皮肤转移化疗:下咽癌患者出现皮肤病变并不常见,应及时进行详细评估以排除转移。早期发现有助于改善疾病预后和中位生存期。
本文章由计算机程序翻译,如有差异,请以英文原文为准。
求助全文
约1分钟内获得全文 求助全文
来源期刊
Asian Biomedicine
Asian Biomedicine 医学-医学:研究与实验
CiteScore
1.20
自引率
0.00%
发文量
24
审稿时长
6-12 weeks
期刊介绍: Asian Biomedicine: Research, Reviews and News (ISSN 1905-7415 print; 1875-855X online) is published in one volume (of 6 bimonthly issues) a year since 2007. [...]Asian Biomedicine is an international, general medical and biomedical journal that aims to publish original peer-reviewed contributions dealing with various topics in the biomedical and health sciences from basic experimental to clinical aspects. The work and authorship must be strongly affiliated with a country in Asia, or with specific importance and relevance to the Asian region. The Journal will publish reviews, original experimental studies, observational studies, technical and clinical (case) reports, practice guidelines, historical perspectives of Asian biomedicine, clinicopathological conferences, and commentaries Asian biomedicine is intended for a broad and international audience, primarily those in the health professions including researchers, physician practitioners, basic medical scientists, dentists, educators, administrators, those in the assistive professions, such as nurses, and the many types of allied health professionals in research and health care delivery systems including those in training.
×
引用
GB/T 7714-2015
复制
MLA
复制
APA
复制
导出至
BibTeX EndNote RefMan NoteFirst NoteExpress
×
提示
您的信息不完整,为了账户安全,请先补充。
现在去补充
×
提示
您因"违规操作"
具体请查看互助需知
我知道了
×
提示
确定
请完成安全验证×
copy
已复制链接
快去分享给好友吧!
我知道了
右上角分享
点击右上角分享
0
联系我们:info@booksci.cn Book学术提供免费学术资源搜索服务,方便国内外学者检索中英文文献。致力于提供最便捷和优质的服务体验。 Copyright © 2023 布克学术 All rights reserved.
京ICP备2023020795号-1
ghs 京公网安备 11010802042870号
Book学术文献互助
Book学术文献互助群
群 号:604180095
Book学术官方微信