Stalactites in the Right Ventricle.

IF 1 Q4 CARDIAC & CARDIOVASCULAR SYSTEMS
Journal of Cardiovascular Echography Pub Date : 2023-10-01 Epub Date: 2024-02-26 DOI:10.4103/jcecho.jcecho_46_23
Eugenio Genovesi, Mario Di Marino, Massimo Di Marco, Sabina Gallina, Kristian Galanti, Leonardo Paloscia
{"title":"Stalactites in the Right Ventricle.","authors":"Eugenio Genovesi, Mario Di Marino, Massimo Di Marco, Sabina Gallina, Kristian Galanti, Leonardo Paloscia","doi":"10.4103/jcecho.jcecho_46_23","DOIUrl":null,"url":null,"abstract":"<p><p>Heart metastatic tumors are more frequent than primary heart tumors. Cardiac metastasis is a rare phenomenon, occurring mainly by direct spread, especially from lung cancer. Cardiac metastases may be asymptomatic or cause arrhythmias, nonspecific electrocardiographic alterations, or mimic a myocardial infarction. In this case report, we illustrate a rare case of pulmonary adenocarcinoma, which through the bloodstream developed a stalactite-shaped metastasis within the right ventricle of conspicuous size (20 mm × 34 mm × 12 mm). In addition, the tumor compressed the right pulmonary trunk, causing pulmonary hypertension. It is essential to characterize metastasis with multimodality imaging. Such lesions within the right cavities can cause massive pulmonary embolism, as in our case, leading to the patient's death, thrombolytic therapy not being effective.</p>","PeriodicalId":15191,"journal":{"name":"Journal of Cardiovascular Echography","volume":"33 4","pages":"199-201"},"PeriodicalIF":1.0000,"publicationDate":"2023-10-01","publicationTypes":"Journal Article","fieldsOfStudy":null,"isOpenAccess":false,"openAccessPdf":"https://www.ncbi.nlm.nih.gov/pmc/articles/PMC10936708/pdf/","citationCount":"0","resultStr":null,"platform":"Semanticscholar","paperid":null,"PeriodicalName":"Journal of Cardiovascular Echography","FirstCategoryId":"1085","ListUrlMain":"https://doi.org/10.4103/jcecho.jcecho_46_23","RegionNum":0,"RegionCategory":null,"ArticlePicture":[],"TitleCN":null,"AbstractTextCN":null,"PMCID":null,"EPubDate":"2024/2/26 0:00:00","PubModel":"Epub","JCR":"Q4","JCRName":"CARDIAC & CARDIOVASCULAR SYSTEMS","Score":null,"Total":0}
引用次数: 0

Abstract

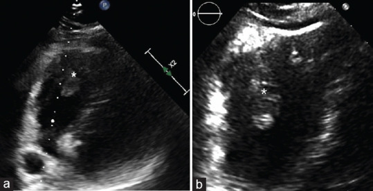
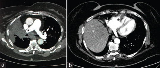
Heart metastatic tumors are more frequent than primary heart tumors. Cardiac metastasis is a rare phenomenon, occurring mainly by direct spread, especially from lung cancer. Cardiac metastases may be asymptomatic or cause arrhythmias, nonspecific electrocardiographic alterations, or mimic a myocardial infarction. In this case report, we illustrate a rare case of pulmonary adenocarcinoma, which through the bloodstream developed a stalactite-shaped metastasis within the right ventricle of conspicuous size (20 mm × 34 mm × 12 mm). In addition, the tumor compressed the right pulmonary trunk, causing pulmonary hypertension. It is essential to characterize metastasis with multimodality imaging. Such lesions within the right cavities can cause massive pulmonary embolism, as in our case, leading to the patient's death, thrombolytic therapy not being effective.

Abstract Image

Abstract Image

Abstract Image

右心室钟乳石
心脏转移性肿瘤比原发性心脏肿瘤更为常见。心脏转移瘤是一种罕见的现象,主要通过直接扩散发生,尤其是肺癌。心脏转移瘤可能没有症状,也可能导致心律失常、非特异性心电图改变或模仿心肌梗死。在本病例报告中,我们展示了一例罕见的肺腺癌病例,该肿瘤通过血液在右心室内形成了一个明显大小(20 毫米 × 34 毫米 × 12 毫米)的钟乳石状转移瘤。此外,肿瘤还压迫了右肺主干,导致肺动脉高压。通过多模态成像确定转移瘤的特征至关重要。右腔内的此类病变可导致大面积肺栓塞,就像我们的病例一样,导致患者因溶栓治疗无效而死亡。
本文章由计算机程序翻译,如有差异,请以英文原文为准。
求助全文
约1分钟内获得全文 求助全文
来源期刊
Journal of Cardiovascular Echography
Journal of Cardiovascular Echography CARDIAC & CARDIOVASCULAR SYSTEMS-
CiteScore
1.40
自引率
12.50%
发文量
27
×
引用
GB/T 7714-2015
复制
MLA
复制
APA
复制
导出至
BibTeX EndNote RefMan NoteFirst NoteExpress
×
提示
您的信息不完整,为了账户安全,请先补充。
现在去补充
×
提示
您因"违规操作"
具体请查看互助需知
我知道了
×
提示
确定
请完成安全验证×
copy
已复制链接
快去分享给好友吧!
我知道了
右上角分享
点击右上角分享
0
联系我们:info@booksci.cn Book学术提供免费学术资源搜索服务,方便国内外学者检索中英文文献。致力于提供最便捷和优质的服务体验。 Copyright © 2023 布克学术 All rights reserved.
京ICP备2023020795号-1
ghs 京公网安备 11010802042870号
Book学术文献互助
Book学术文献互助群
群 号:604180095
Book学术官方微信