Replacement of Ascending Aortic Aneurysm with Anomalous Origin of the Right Coronary Artery: Multidisciplinary Imaging for the Diagnosis.

IF 1 Q4 CARDIAC & CARDIOVASCULAR SYSTEMS
Journal of Cardiovascular Echography Pub Date : 2023-10-01 Epub Date: 2024-02-26 DOI:10.4103/jcecho.jcecho_37_23
Fabrizio Ceresa, Antonio Micari, Liborio Francesco Mammana, Umberto Maisano, Alessandro Di Carlo, Alfredo Luongo, Francesco Patanè
{"title":"Replacement of Ascending Aortic Aneurysm with Anomalous Origin of the Right Coronary Artery: Multidisciplinary Imaging for the Diagnosis.","authors":"Fabrizio Ceresa, Antonio Micari, Liborio Francesco Mammana, Umberto Maisano, Alessandro Di Carlo, Alfredo Luongo, Francesco Patanè","doi":"10.4103/jcecho.jcecho_37_23","DOIUrl":null,"url":null,"abstract":"<p><p>This case report presents a rare scenario involving a congenital anomaly of the right coronary artery's (RCA) origin in association with an ascending aortic aneurysm. While both anomalies are individually recognized in the literature, their coexistence and potential interplay remain understudied. The aim of this report is to emphasize the challenges and implications associated with such a combination. A 78-year-old male patient with an enlarged ascending aortic aneurysm necessitating surgical intervention was found to have an anomalous origin of the RCA during preoperative coronary angiography, confirmed by computed tomography scan. Transesophageal echocardiography further elucidated the coronary abnormality. Intraoperatively, successful aortic replacement was performed, and careful repositioning of the anomalous right coronary ostium was achieved. This case raises important considerations regarding the potential complications arising from coronary anomalies and their impact on the surgical management of ascending aortic aneurysms. The rarity of this combination limits our understanding of their association, making a multidisciplinary approach crucial for optimal patient care. Further research and comprehensive evaluation of similar cases are necessary to better understand the relationship between coronary anomalies and ascending aortic aneurysms. Such investigations will help in improving treatment strategies and outcomes for patients with these complex conditions.</p>","PeriodicalId":15191,"journal":{"name":"Journal of Cardiovascular Echography","volume":"33 4","pages":"192-194"},"PeriodicalIF":1.0000,"publicationDate":"2023-10-01","publicationTypes":"Journal Article","fieldsOfStudy":null,"isOpenAccess":false,"openAccessPdf":"https://www.ncbi.nlm.nih.gov/pmc/articles/PMC10936709/pdf/","citationCount":"0","resultStr":null,"platform":"Semanticscholar","paperid":null,"PeriodicalName":"Journal of Cardiovascular Echography","FirstCategoryId":"1085","ListUrlMain":"https://doi.org/10.4103/jcecho.jcecho_37_23","RegionNum":0,"RegionCategory":null,"ArticlePicture":[],"TitleCN":null,"AbstractTextCN":null,"PMCID":null,"EPubDate":"2024/2/26 0:00:00","PubModel":"Epub","JCR":"Q4","JCRName":"CARDIAC & CARDIOVASCULAR SYSTEMS","Score":null,"Total":0}
引用次数: 0

Abstract

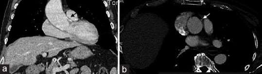
This case report presents a rare scenario involving a congenital anomaly of the right coronary artery's (RCA) origin in association with an ascending aortic aneurysm. While both anomalies are individually recognized in the literature, their coexistence and potential interplay remain understudied. The aim of this report is to emphasize the challenges and implications associated with such a combination. A 78-year-old male patient with an enlarged ascending aortic aneurysm necessitating surgical intervention was found to have an anomalous origin of the RCA during preoperative coronary angiography, confirmed by computed tomography scan. Transesophageal echocardiography further elucidated the coronary abnormality. Intraoperatively, successful aortic replacement was performed, and careful repositioning of the anomalous right coronary ostium was achieved. This case raises important considerations regarding the potential complications arising from coronary anomalies and their impact on the surgical management of ascending aortic aneurysms. The rarity of this combination limits our understanding of their association, making a multidisciplinary approach crucial for optimal patient care. Further research and comprehensive evaluation of similar cases are necessary to better understand the relationship between coronary anomalies and ascending aortic aneurysms. Such investigations will help in improving treatment strategies and outcomes for patients with these complex conditions.

Abstract Image

Abstract Image

Abstract Image

右冠状动脉起源异常的升主动脉瘤置换术:多学科成像诊断。
本病例报告介绍了一种罕见的情况,即右冠状动脉(RCA)起源的先天性异常与升主动脉瘤同时存在。虽然这两种畸形在文献中都已得到确认,但它们的共存和潜在的相互作用仍未得到充分研究。本报告旨在强调这种合并症所带来的挑战和影响。一名 78 岁的男性患者因升主动脉瘤增大而需要手术治疗,在术前冠状动脉造影检查中发现其 RCA 起源异常,并经计算机断层扫描证实。经食道超声心动图进一步证实了冠状动脉的异常。术中成功实施了主动脉置换术,并对异常的右冠状动脉骨膜进行了仔细的重新定位。该病例提出了冠状动脉异常引起的潜在并发症及其对升主动脉瘤手术治疗的影响等重要问题。这种并发症的罕见性限制了我们对其关联性的了解,因此多学科方法对患者的最佳治疗至关重要。为了更好地了解冠状动脉异常和主动脉升主动脉瘤之间的关系,有必要对类似病例进行进一步研究和综合评估。这些研究将有助于改善这些复杂病症患者的治疗策略和疗效。
本文章由计算机程序翻译,如有差异,请以英文原文为准。
求助全文
约1分钟内获得全文 求助全文
来源期刊
Journal of Cardiovascular Echography
Journal of Cardiovascular Echography CARDIAC & CARDIOVASCULAR SYSTEMS-
CiteScore
1.40
自引率
12.50%
发文量
27
×
引用
GB/T 7714-2015
复制
MLA
复制
APA
复制
导出至
BibTeX EndNote RefMan NoteFirst NoteExpress
×
提示
您的信息不完整,为了账户安全,请先补充。
现在去补充
×
提示
您因"违规操作"
具体请查看互助需知
我知道了
×
提示
确定
请完成安全验证×
copy
已复制链接
快去分享给好友吧!
我知道了
右上角分享
点击右上角分享
0
联系我们:info@booksci.cn Book学术提供免费学术资源搜索服务,方便国内外学者检索中英文文献。致力于提供最便捷和优质的服务体验。 Copyright © 2023 布克学术 All rights reserved.
京ICP备2023020795号-1
ghs 京公网安备 11010802042870号
Book学术文献互助
Book学术文献互助群
群 号:604180095
Book学术官方微信