Biphenotypic lung carcinoma with coexpression of TTF-1 and ΔNP63/P40 within most of the same individual cells: a further case confirming poor prognosis and a review of literature.

IF 2.9 Q1 PATHOLOGY
PATHOLOGICA Pub Date : 2024-02-01 DOI:10.32074/1591-951X-957
Alessandro Marando, Moreno Zagni, Mariachiara Negrelli, Emanuele Valtorta, Calogero Lauricella, Valentina Motta, Silvio Veronese, Giulio Cerea, Laura Giuseppina Giannetta, Gabriele Ciarlo, Diego Signorelli, Elio Gregory Pizzutilo, Emanuela Bonoldi, Giuseppe Pelosi
{"title":"Biphenotypic lung carcinoma with coexpression of TTF-1 and ΔNP63/P40 within most of the same individual cells: a further case confirming poor prognosis and a review of literature.","authors":"Alessandro Marando, Moreno Zagni, Mariachiara Negrelli, Emanuele Valtorta, Calogero Lauricella, Valentina Motta, Silvio Veronese, Giulio Cerea, Laura Giuseppina Giannetta, Gabriele Ciarlo, Diego Signorelli, Elio Gregory Pizzutilo, Emanuela Bonoldi, Giuseppe Pelosi","doi":"10.32074/1591-951X-957","DOIUrl":null,"url":null,"abstract":"<p><p>The WHO Classification of Tumors, Thoracic Tumors, 5th edition, has outlined the use of TTF-1 and ΔNP63/P40 to discriminate between adenocarcinoma and squamous cell carcinoma. In 2015, the first description of a rare non-small cell lung carcinoma featuring co-expression of glandular and squamous differentiation within most of the same individual tumor cells was reported on, with ultrastructural and molecular demonstration of such a biphenotypic differentiation. We herein describe an additional case of this rare tumor entity, which is confirmed to be an aggressive neoplasm despite potential targets of therapy.</p>","PeriodicalId":45893,"journal":{"name":"PATHOLOGICA","volume":"116 1","pages":"13-21"},"PeriodicalIF":2.9000,"publicationDate":"2024-02-01","publicationTypes":"Journal Article","fieldsOfStudy":null,"isOpenAccess":false,"openAccessPdf":"https://www.ncbi.nlm.nih.gov/pmc/articles/PMC10938280/pdf/","citationCount":"0","resultStr":null,"platform":"Semanticscholar","paperid":null,"PeriodicalName":"PATHOLOGICA","FirstCategoryId":"1085","ListUrlMain":"https://doi.org/10.32074/1591-951X-957","RegionNum":0,"RegionCategory":null,"ArticlePicture":[],"TitleCN":null,"AbstractTextCN":null,"PMCID":null,"EPubDate":"","PubModel":"","JCR":"Q1","JCRName":"PATHOLOGY","Score":null,"Total":0}
引用次数: 0

Abstract

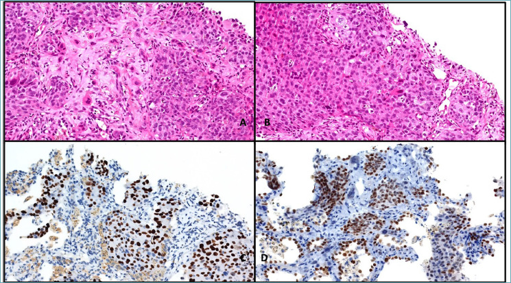
The WHO Classification of Tumors, Thoracic Tumors, 5th edition, has outlined the use of TTF-1 and ΔNP63/P40 to discriminate between adenocarcinoma and squamous cell carcinoma. In 2015, the first description of a rare non-small cell lung carcinoma featuring co-expression of glandular and squamous differentiation within most of the same individual tumor cells was reported on, with ultrastructural and molecular demonstration of such a biphenotypic differentiation. We herein describe an additional case of this rare tumor entity, which is confirmed to be an aggressive neoplasm despite potential targets of therapy.

Abstract Image

Abstract Image

在大多数相同的单个细胞中TTF-1和ΔNP63/P40共表达的双型肺癌:又一例证实预后不良的病例及文献综述。
世界卫生组织肿瘤分类--胸部肿瘤》第五版概述了使用TTF-1和ΔNP63/P40来区分腺癌和鳞癌。2015 年,首次报道了一种罕见的非小细胞肺癌,其特点是在大多数相同的单个肿瘤细胞中同时表达腺分化和鳞分化,并在超微结构和分子上证明了这种双型分化。我们在此描述了这一罕见肿瘤实体的另一个病例,该病例被证实是一种侵袭性肿瘤,尽管有潜在的治疗目标。
本文章由计算机程序翻译,如有差异,请以英文原文为准。
求助全文
约1分钟内获得全文 求助全文
来源期刊
PATHOLOGICA
PATHOLOGICA PATHOLOGY-
CiteScore
5.90
自引率
5.70%
发文量
108
×
引用
GB/T 7714-2015
复制
MLA
复制
APA
复制
导出至
BibTeX EndNote RefMan NoteFirst NoteExpress
×
提示
您的信息不完整,为了账户安全,请先补充。
现在去补充
×
提示
您因"违规操作"
具体请查看互助需知
我知道了
×
提示
确定
请完成安全验证×
copy
已复制链接
快去分享给好友吧!
我知道了
右上角分享
点击右上角分享
0
联系我们:info@booksci.cn Book学术提供免费学术资源搜索服务,方便国内外学者检索中英文文献。致力于提供最便捷和优质的服务体验。 Copyright © 2023 布克学术 All rights reserved.
京ICP备2023020795号-1
ghs 京公网安备 11010802042870号
Book学术文献互助
Book学术文献互助群
群 号:604180095
Book学术官方微信