Testicular metastasis of prostate adenocarcinoma: the other side of orchiepididymitis.

IF 2.9 Q1 PATHOLOGY
PATHOLOGICA Pub Date : 2024-02-01 DOI:10.32074/1591-951X-940
Gianluca Di Rienzo, Alessandro Tafuni, Umberto Maestroni, Livia Ruffini, Enrico Maria Silini, Donatello Gasparro, Francesco Paolo Pilato, Letizia Gnetti
{"title":"Testicular metastasis of prostate adenocarcinoma: the other side of orchiepididymitis.","authors":"Gianluca Di Rienzo, Alessandro Tafuni, Umberto Maestroni, Livia Ruffini, Enrico Maria Silini, Donatello Gasparro, Francesco Paolo Pilato, Letizia Gnetti","doi":"10.32074/1591-951X-940","DOIUrl":null,"url":null,"abstract":"<p><strong>Background: </strong>Metastatic prostate adenocarcinoma is a rare event and there are few references to this topic. We report an unusual case of prostate cancer metastasis and review of contemporary literature. Moreover, we discuss the pathogenesis and the clinical aspects of this event.</p><p><strong>Case presentation: </strong>A 70-year-old patient was admitted to the hospital for right scrotal pain. The ultrasound examination described an increase in testicular size, suggesting the possibility of orchiepididymitis. Past medical history reported a previous prostate adenocarcinoma. Inflammatory blood tests were normal. Importantly, PSA was 3.3 ng/ml. PET scan positivity in the scrotum raised suspicion of a relapse. Therefore, he underwent right orchiectomy.</p><p><strong>Conclusion: </strong>Although metastatic prostate adenocarcinoma is rare, a correct diagnosis is of paramount importance because the therapy changes accordingly. Patients who complain of scrotal pain need to be examined accurately. Although the most common cause behind this symptom is infectious, the patient's past medical history should be reviewed to exclude previous malignancies.</p>","PeriodicalId":45893,"journal":{"name":"PATHOLOGICA","volume":"116 1","pages":"69-74"},"PeriodicalIF":2.9000,"publicationDate":"2024-02-01","publicationTypes":"Journal Article","fieldsOfStudy":null,"isOpenAccess":false,"openAccessPdf":"https://www.ncbi.nlm.nih.gov/pmc/articles/PMC10938275/pdf/","citationCount":"0","resultStr":null,"platform":"Semanticscholar","paperid":null,"PeriodicalName":"PATHOLOGICA","FirstCategoryId":"1085","ListUrlMain":"https://doi.org/10.32074/1591-951X-940","RegionNum":0,"RegionCategory":null,"ArticlePicture":[],"TitleCN":null,"AbstractTextCN":null,"PMCID":null,"EPubDate":"","PubModel":"","JCR":"Q1","JCRName":"PATHOLOGY","Score":null,"Total":0}
引用次数: 0

Abstract

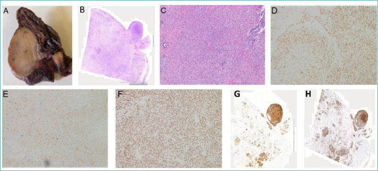
Background: Metastatic prostate adenocarcinoma is a rare event and there are few references to this topic. We report an unusual case of prostate cancer metastasis and review of contemporary literature. Moreover, we discuss the pathogenesis and the clinical aspects of this event.

Case presentation: A 70-year-old patient was admitted to the hospital for right scrotal pain. The ultrasound examination described an increase in testicular size, suggesting the possibility of orchiepididymitis. Past medical history reported a previous prostate adenocarcinoma. Inflammatory blood tests were normal. Importantly, PSA was 3.3 ng/ml. PET scan positivity in the scrotum raised suspicion of a relapse. Therefore, he underwent right orchiectomy.

Conclusion: Although metastatic prostate adenocarcinoma is rare, a correct diagnosis is of paramount importance because the therapy changes accordingly. Patients who complain of scrotal pain need to be examined accurately. Although the most common cause behind this symptom is infectious, the patient's past medical history should be reviewed to exclude previous malignancies.

Abstract Image

Abstract Image

前列腺癌的睾丸转移:睾丸附睾炎的另一面。
背景:转移性前列腺腺癌是一种罕见病,有关这一主题的参考文献很少。我们报告了一例不寻常的前列腺癌转移病例,并对当代文献进行了回顾。此外,我们还讨论了该病例的发病机制和临床表现:一名 70 岁的患者因右阴囊疼痛入院。超声波检查显示睾丸增大,提示可能患有睾丸炎。既往病史显示曾患有前列腺腺癌。炎症血液化验结果正常。重要的是,PSA 为 3.3 纳克/毫升。阴囊正电子发射计算机断层扫描(PET)呈阳性,让人怀疑是复发。因此,他接受了右侧睾丸切除术:结论:虽然转移性前列腺腺癌很少见,但正确诊断至关重要,因为治疗方法也会随之改变。对主诉阴囊疼痛的患者需要进行准确检查。虽然这种症状最常见的原因是感染,但也应回顾患者的既往病史,以排除恶性肿瘤。
本文章由计算机程序翻译,如有差异,请以英文原文为准。
求助全文
约1分钟内获得全文 求助全文
来源期刊
PATHOLOGICA
PATHOLOGICA PATHOLOGY-
CiteScore
5.90
自引率
5.70%
发文量
108
×
引用
GB/T 7714-2015
复制
MLA
复制
APA
复制
导出至
BibTeX EndNote RefMan NoteFirst NoteExpress
×
提示
您的信息不完整,为了账户安全,请先补充。
现在去补充
×
提示
您因"违规操作"
具体请查看互助需知
我知道了
×
提示
确定
请完成安全验证×
copy
已复制链接
快去分享给好友吧!
我知道了
右上角分享
点击右上角分享
0
联系我们:info@booksci.cn Book学术提供免费学术资源搜索服务,方便国内外学者检索中英文文献。致力于提供最便捷和优质的服务体验。 Copyright © 2023 布克学术 All rights reserved.
京ICP备2023020795号-1
ghs 京公网安备 11010802042870号
Book学术文献互助
Book学术文献互助群
群 号:604180095
Book学术官方微信