Pleomorphic Adenoma of the Nasal Vestibule: An Atypical Presentation.

Q3 Medicine
Lady Johana Morales, Alejandro Uribe Escobar, Cesar Augusto Garcia
{"title":"Pleomorphic Adenoma of the Nasal Vestibule: An Atypical Presentation.","authors":"Lady Johana Morales, Alejandro Uribe Escobar, Cesar Augusto Garcia","doi":"10.22038/IJORL.2024.58890.3046","DOIUrl":null,"url":null,"abstract":"<p><strong>Introduction: </strong>We introduce the third case reported in the literature of an atypical presentation of pleomorphic adenoma located in the nasal vestibule of a young patient who assisted at our clinic.</p><p><strong>Case report: </strong>A young man with no important medical history consulted due to a painless mass-type slow-growth lesion associated with right nasal obstruction. He underwent surgical management and complete resection of the mass. The pathological study revealed a pleomorphic adenoma, confirmed by immunohistochemistry.</p><p><strong>Conclusion: </strong>This case confirms that pleomorphic adenomas can occur anywhere in the head and neck, even in areas without upper air-digestive tract mucosa.</p>","PeriodicalId":14607,"journal":{"name":"Iranian Journal of Otorhinolaryngology","volume":"36 2","pages":"433-435"},"PeriodicalIF":0.0000,"publicationDate":"2024-03-01","publicationTypes":"Journal Article","fieldsOfStudy":null,"isOpenAccess":false,"openAccessPdf":"https://www.ncbi.nlm.nih.gov/pmc/articles/PMC10925963/pdf/","citationCount":"0","resultStr":null,"platform":"Semanticscholar","paperid":null,"PeriodicalName":"Iranian Journal of Otorhinolaryngology","FirstCategoryId":"1085","ListUrlMain":"https://doi.org/10.22038/IJORL.2024.58890.3046","RegionNum":0,"RegionCategory":null,"ArticlePicture":[],"TitleCN":null,"AbstractTextCN":null,"PMCID":null,"EPubDate":"","PubModel":"","JCR":"Q3","JCRName":"Medicine","Score":null,"Total":0}
引用次数: 0

Abstract

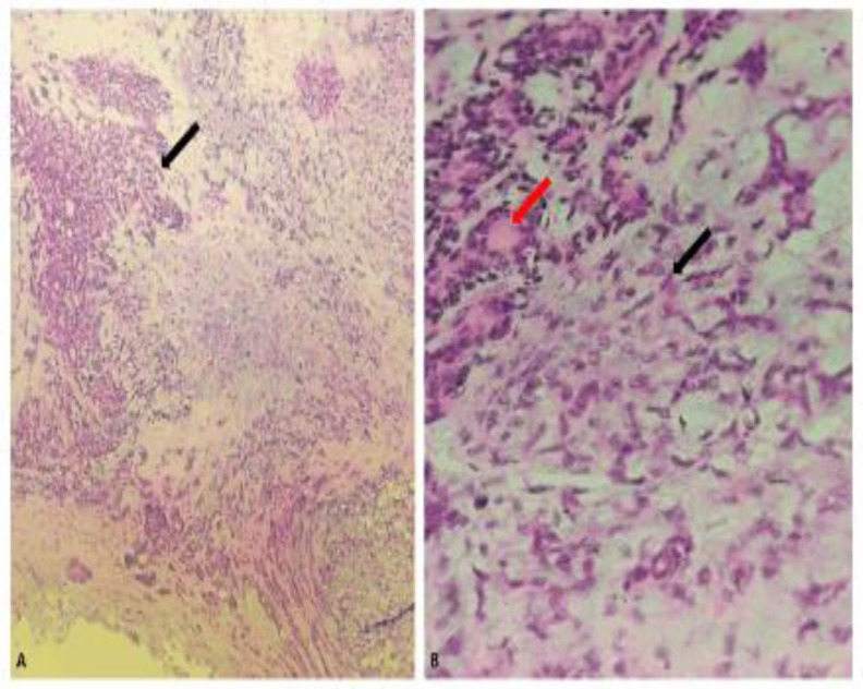
Introduction: We introduce the third case reported in the literature of an atypical presentation of pleomorphic adenoma located in the nasal vestibule of a young patient who assisted at our clinic.

Case report: A young man with no important medical history consulted due to a painless mass-type slow-growth lesion associated with right nasal obstruction. He underwent surgical management and complete resection of the mass. The pathological study revealed a pleomorphic adenoma, confirmed by immunohistochemistry.

Conclusion: This case confirms that pleomorphic adenomas can occur anywhere in the head and neck, even in areas without upper air-digestive tract mucosa.

Abstract Image

Abstract Image

Abstract Image

鼻前庭多形性腺瘤:非典型表现
导言:我们介绍的是文献中报道的第三例位于鼻前庭的多形性腺瘤的非典型表现,患者是一名年轻患者,曾在我院就诊:一名无重要病史的年轻男子因无痛性肿块型缓慢生长病变伴右鼻阻塞就诊。他接受了手术治疗并完全切除了肿块。病理检查显示为多形性腺瘤,并经免疫组化证实:本病例证实,多形性腺瘤可发生在头颈部的任何部位,甚至是没有上消化道粘膜的部位。
本文章由计算机程序翻译,如有差异,请以英文原文为准。
求助全文
约1分钟内获得全文 求助全文
来源期刊
Iranian Journal of Otorhinolaryngology
Iranian Journal of Otorhinolaryngology Medicine-Otorhinolaryngology
CiteScore
1.30
自引率
0.00%
发文量
72
审稿时长
12 weeks
×
引用
GB/T 7714-2015
复制
MLA
复制
APA
复制
导出至
BibTeX EndNote RefMan NoteFirst NoteExpress
×
提示
您的信息不完整,为了账户安全,请先补充。
现在去补充
×
提示
您因"违规操作"
具体请查看互助需知
我知道了
×
提示
确定
请完成安全验证×
copy
已复制链接
快去分享给好友吧!
我知道了
右上角分享
点击右上角分享
0
联系我们:info@booksci.cn Book学术提供免费学术资源搜索服务,方便国内外学者检索中英文文献。致力于提供最便捷和优质的服务体验。 Copyright © 2023 布克学术 All rights reserved.
京ICP备2023020795号-1
ghs 京公网安备 11010802042870号
Book学术文献互助
Book学术文献互助群
群 号:604180095
Book学术官方微信