"Compression Necrosis" - A Cause of Concern for Early Implant Failure? Case Report and Review of Literature.

IF 1.8 Q3 DENTISTRY, ORAL SURGERY & MEDICINE
Clinical, Cosmetic and Investigational Dentistry Pub Date : 2024-03-07 eCollection Date: 2024-01-01 DOI:10.2147/CCIDE.S453798
Roshni Ramesh, Anoop Sasi, Shahana C Mohamed, Sonia P Joseph
{"title":"\"Compression Necrosis\" - A Cause of Concern for Early Implant Failure? Case Report and Review of Literature.","authors":"Roshni Ramesh, Anoop Sasi, Shahana C Mohamed, Sonia P Joseph","doi":"10.2147/CCIDE.S453798","DOIUrl":null,"url":null,"abstract":"<p><strong>Purpose: </strong>Compression necrosis refers to bone tissue damage that can occur when excessive pressure or force is applied to surrounding bone during implant placement. This pressure can compromise blood supply to the bone, leading to necrosis. Compression necrosis is a concern, because it can affect the stability and long-term success of dental implant.</p><p><strong>Patients and methods: </strong>This case report highlights a case of early bone loss and implant failure possibly due to compression necrosis. Clinical data, photographs, radiographs, blood examination report and histology were presented to document the early failure of an implant placed in the mandibular left posterior region of a 33-year-old female patient.</p><p><strong>Results: </strong>Radiograph taken six weeks after implant placement showed severe angular defect. Therefore, the implant was surgically removed. Histological examination of the area showed bony trabeculae with an absence of osteoblastic riming, suggestive of necrotic bone.</p><p><strong>Conclusion: </strong>Using excessive torque values when placing implants in dense bones can increase the risk of implant failure due to bone over compression. Dental professionals must follow the manufacturer's instructions and employ quality surgical techniques during implant placement into dense cortical bone to minimise risks.</p>","PeriodicalId":10445,"journal":{"name":"Clinical, Cosmetic and Investigational Dentistry","volume":"16 ","pages":"43-52"},"PeriodicalIF":1.8000,"publicationDate":"2024-03-07","publicationTypes":"Journal Article","fieldsOfStudy":null,"isOpenAccess":false,"openAccessPdf":"https://www.ncbi.nlm.nih.gov/pmc/articles/PMC10926919/pdf/","citationCount":"0","resultStr":null,"platform":"Semanticscholar","paperid":null,"PeriodicalName":"Clinical, Cosmetic and Investigational Dentistry","FirstCategoryId":"1085","ListUrlMain":"https://doi.org/10.2147/CCIDE.S453798","RegionNum":0,"RegionCategory":null,"ArticlePicture":[],"TitleCN":null,"AbstractTextCN":null,"PMCID":null,"EPubDate":"2024/1/1 0:00:00","PubModel":"eCollection","JCR":"Q3","JCRName":"DENTISTRY, ORAL SURGERY & MEDICINE","Score":null,"Total":0}
引用次数: 0

Abstract

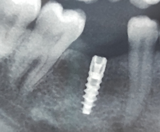
Purpose: Compression necrosis refers to bone tissue damage that can occur when excessive pressure or force is applied to surrounding bone during implant placement. This pressure can compromise blood supply to the bone, leading to necrosis. Compression necrosis is a concern, because it can affect the stability and long-term success of dental implant.

Patients and methods: This case report highlights a case of early bone loss and implant failure possibly due to compression necrosis. Clinical data, photographs, radiographs, blood examination report and histology were presented to document the early failure of an implant placed in the mandibular left posterior region of a 33-year-old female patient.

Results: Radiograph taken six weeks after implant placement showed severe angular defect. Therefore, the implant was surgically removed. Histological examination of the area showed bony trabeculae with an absence of osteoblastic riming, suggestive of necrotic bone.

Conclusion: Using excessive torque values when placing implants in dense bones can increase the risk of implant failure due to bone over compression. Dental professionals must follow the manufacturer's instructions and employ quality surgical techniques during implant placement into dense cortical bone to minimise risks.

Abstract Image

Abstract Image

Abstract Image

"压迫坏死"--种植体早期失败的原因之一?病例报告和文献综述。
目的:压迫性坏死是指在植入种植体时,如果周围的骨受到过大的压力或力量,就会造成骨组织损伤。这种压力会损害骨的血液供应,从而导致坏死。压迫性坏死是一个令人担忧的问题,因为它会影响种植牙的稳定性和长期成功:本病例报告重点介绍了一例可能因压迫性坏死导致的早期骨质流失和种植失败的病例。通过临床数据、照片、X 光片、血液检查报告和组织学检查,记录了一名 33 岁女性患者下颌左后区种植体的早期失败:结果:种植体植入六周后拍摄的 X 光片显示存在严重的角度缺损。因此,通过手术取出了种植体。该区域的组织学检查显示有骨小梁,但无成骨细胞边缘,提示为坏死骨:结论:在致密骨中植入种植体时使用过大的扭矩值会增加因骨过度压缩而导致种植体失败的风险。牙科专业人员在将种植体植入致密皮质骨时,必须遵循制造商的说明,并采用优质的外科技术,以最大限度地降低风险。
本文章由计算机程序翻译,如有差异,请以英文原文为准。
求助全文
约1分钟内获得全文 求助全文
来源期刊
CiteScore
3.90
自引率
5.60%
发文量
43
审稿时长
16 weeks
×
引用
GB/T 7714-2015
复制
MLA
复制
APA
复制
导出至
BibTeX EndNote RefMan NoteFirst NoteExpress
×
提示
您的信息不完整,为了账户安全,请先补充。
现在去补充
×
提示
您因"违规操作"
具体请查看互助需知
我知道了
×
提示
确定
请完成安全验证×
copy
已复制链接
快去分享给好友吧!
我知道了
右上角分享
点击右上角分享
0
联系我们:info@booksci.cn Book学术提供免费学术资源搜索服务,方便国内外学者检索中英文文献。致力于提供最便捷和优质的服务体验。 Copyright © 2023 布克学术 All rights reserved.
京ICP备2023020795号-1
ghs 京公网安备 11010802042870号
Book学术文献互助
Book学术文献互助群
群 号:604180095
Book学术官方微信