Delayed treatment of traumatic eyeball dislocation into the maxillary sinus and treatment algorithm: a case report and literature review.

Q2 Medicine
Archives of Craniofacial Surgery Pub Date : 2024-02-01 Epub Date: 2024-02-20 DOI:10.7181/acfs.2023.00535
Hoon kIm, Keun Hyung Kim, In Chang Koh, Ga Hyun Lee, Soo Yeon Lim
{"title":"Delayed treatment of traumatic eyeball dislocation into the maxillary sinus and treatment algorithm: a case report and literature review.","authors":"Hoon kIm, Keun Hyung Kim, In Chang Koh, Ga Hyun Lee, Soo Yeon Lim","doi":"10.7181/acfs.2023.00535","DOIUrl":null,"url":null,"abstract":"<p><p>Orbital floor fractures are commonly encountered, but the dislocation of the eyeball into the maxillary sinus is relatively rare. When it does occur, globe dislocation can have serious consequences, including vision loss, enucleation, and orbito-ocular deformity. Immediate surgical intervention is typically attempted when possible. However, severe comorbidities and poor general health can delay necessary surgery. In this report, we present the surgical outcomes of a 70-year-old woman who received delayed treatment for traumatic eyeball dislocation into the maxillary sinus due to a subarachnoid hemorrhage and hemopneumothorax. Additionally, we propose a treatment algorithm based on our clinical experience and a review of the literature.</p>","PeriodicalId":52238,"journal":{"name":"Archives of Craniofacial Surgery","volume":"25 1","pages":"31-37"},"PeriodicalIF":0.0000,"publicationDate":"2024-02-01","publicationTypes":"Journal Article","fieldsOfStudy":null,"isOpenAccess":false,"openAccessPdf":"https://www.ncbi.nlm.nih.gov/pmc/articles/PMC10924793/pdf/","citationCount":"0","resultStr":null,"platform":"Semanticscholar","paperid":null,"PeriodicalName":"Archives of Craniofacial Surgery","FirstCategoryId":"1085","ListUrlMain":"https://doi.org/10.7181/acfs.2023.00535","RegionNum":0,"RegionCategory":null,"ArticlePicture":[],"TitleCN":null,"AbstractTextCN":null,"PMCID":null,"EPubDate":"2024/2/20 0:00:00","PubModel":"Epub","JCR":"Q2","JCRName":"Medicine","Score":null,"Total":0}
引用次数: 0

Abstract

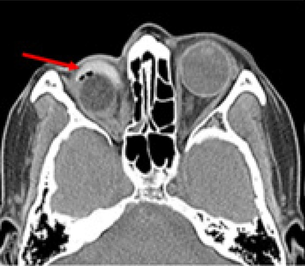
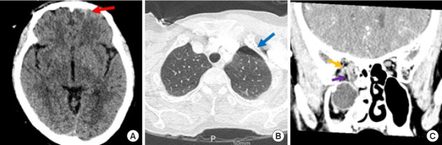
Orbital floor fractures are commonly encountered, but the dislocation of the eyeball into the maxillary sinus is relatively rare. When it does occur, globe dislocation can have serious consequences, including vision loss, enucleation, and orbito-ocular deformity. Immediate surgical intervention is typically attempted when possible. However, severe comorbidities and poor general health can delay necessary surgery. In this report, we present the surgical outcomes of a 70-year-old woman who received delayed treatment for traumatic eyeball dislocation into the maxillary sinus due to a subarachnoid hemorrhage and hemopneumothorax. Additionally, we propose a treatment algorithm based on our clinical experience and a review of the literature.

Abstract Image

Abstract Image

Abstract Image

外伤性眼球脱位进入上颌窦的延迟治疗和治疗算法:病例报告和文献综述。
眼眶底骨折很常见,但眼球脱位进入上颌窦的情况相对罕见。一旦发生眼球脱位,可能会造成严重后果,包括视力丧失、眼球摘除和眼眶畸形。在可能的情况下,通常会立即进行手术治疗。然而,严重的合并症和全身健康状况不佳可能会延误必要的手术。在本报告中,我们介绍了一名因蛛网膜下腔出血和血气胸导致外伤性眼球脱位进入上颌窦而延误治疗的 70 岁女性的手术结果。此外,我们还根据临床经验和文献综述提出了一种治疗算法。
本文章由计算机程序翻译,如有差异,请以英文原文为准。
求助全文
约1分钟内获得全文 求助全文
来源期刊
Archives of Craniofacial Surgery
Archives of Craniofacial Surgery Medicine-Otorhinolaryngology
CiteScore
2.90
自引率
0.00%
发文量
44
×
引用
GB/T 7714-2015
复制
MLA
复制
APA
复制
导出至
BibTeX EndNote RefMan NoteFirst NoteExpress
×
提示
您的信息不完整,为了账户安全,请先补充。
现在去补充
×
提示
您因"违规操作"
具体请查看互助需知
我知道了
×
提示
确定
请完成安全验证×
copy
已复制链接
快去分享给好友吧!
我知道了
右上角分享
点击右上角分享
0
联系我们:info@booksci.cn Book学术提供免费学术资源搜索服务,方便国内外学者检索中英文文献。致力于提供最便捷和优质的服务体验。 Copyright © 2023 布克学术 All rights reserved.
京ICP备2023020795号-1
ghs 京公网安备 11010802042870号
Book学术文献互助
Book学术文献互助群
群 号:604180095
Book学术官方微信