Inoperable Renal Malignant Glomus Tumor, the answers for all the "W's"?

IF 1.9 Q3 ONCOLOGY
Journal of Kidney Cancer and VHL Pub Date : 2024-03-01 eCollection Date: 2024-01-01 DOI:10.15586/jkcvhl.v11i1.298
Pushkala Surianarayanan, Arun Ramdas Menon, Shriley Sundersingh, Anand Raja
{"title":"Inoperable Renal Malignant Glomus Tumor, the answers for all the \"W's\"?","authors":"Pushkala Surianarayanan, Arun Ramdas Menon, Shriley Sundersingh, Anand Raja","doi":"10.15586/jkcvhl.v11i1.298","DOIUrl":null,"url":null,"abstract":"<p><p>Glomus tumor, arising from glomus bodies (specialized neurovascular structures involved in thermoregulation), commonly occurs in extremities and rarely in viscera. The spectrum of glomus tumors range from benign tumors to tumors with uncertain malignant potential to tumors of the malignant subtype. A vast majority of visceral glomus tumors are benign. Most common visceral tumors arise in the gastrointestinal tract. Glomus tumors of the kidney are a rare entity of which malignant glomus tumors are exceedingly rare. The index patients in the existing case reports were middle-aged males. We report our experience with malignant glomus tumor of the left kidney in a 60-year-old female, with computed tomography (CT) showing involvement of renal vein and inferior vena cava (IVC). Percutaneous biopsy was performed as imaging did not conform to the appearance of a conventional renal tumor and was reported as malignant glomus tumor after immunohistochemistry. After informed decision, the patient and family elected to proceed with surgery. However, intraoperatively, the left renal mass was found to infiltrate the pancreas, duodenum, aorta, and root of the colonic mesentery due to which surgery was aborted. Biopsy obtained intraoperatively again confirmed diagnosis of left renal malignant glomus tumor. She had an uneventful postoperative recovery. Options of treatment were reviewed by a multidisciplinary board. In light of no proven benefit for systemic therapy, she was referred for supportive care. She was under follow-up and she expired after 7 months due to progressive disease. Our literature review focuses on the clinicopathologic features and the current standard of management of malignant renal glomus tumors.</p>","PeriodicalId":44291,"journal":{"name":"Journal of Kidney Cancer and VHL","volume":"11 1","pages":"33-40"},"PeriodicalIF":1.9000,"publicationDate":"2024-03-01","publicationTypes":"Journal Article","fieldsOfStudy":null,"isOpenAccess":false,"openAccessPdf":"https://www.ncbi.nlm.nih.gov/pmc/articles/PMC10915652/pdf/","citationCount":"0","resultStr":null,"platform":"Semanticscholar","paperid":null,"PeriodicalName":"Journal of Kidney Cancer and VHL","FirstCategoryId":"1085","ListUrlMain":"https://doi.org/10.15586/jkcvhl.v11i1.298","RegionNum":0,"RegionCategory":null,"ArticlePicture":[],"TitleCN":null,"AbstractTextCN":null,"PMCID":null,"EPubDate":"2024/1/1 0:00:00","PubModel":"eCollection","JCR":"Q3","JCRName":"ONCOLOGY","Score":null,"Total":0}
引用次数: 0

Abstract

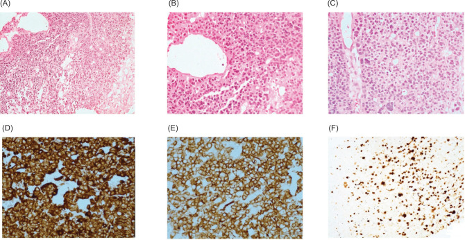
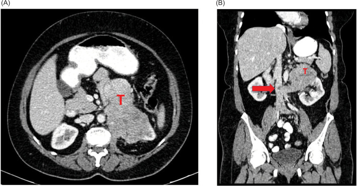
Glomus tumor, arising from glomus bodies (specialized neurovascular structures involved in thermoregulation), commonly occurs in extremities and rarely in viscera. The spectrum of glomus tumors range from benign tumors to tumors with uncertain malignant potential to tumors of the malignant subtype. A vast majority of visceral glomus tumors are benign. Most common visceral tumors arise in the gastrointestinal tract. Glomus tumors of the kidney are a rare entity of which malignant glomus tumors are exceedingly rare. The index patients in the existing case reports were middle-aged males. We report our experience with malignant glomus tumor of the left kidney in a 60-year-old female, with computed tomography (CT) showing involvement of renal vein and inferior vena cava (IVC). Percutaneous biopsy was performed as imaging did not conform to the appearance of a conventional renal tumor and was reported as malignant glomus tumor after immunohistochemistry. After informed decision, the patient and family elected to proceed with surgery. However, intraoperatively, the left renal mass was found to infiltrate the pancreas, duodenum, aorta, and root of the colonic mesentery due to which surgery was aborted. Biopsy obtained intraoperatively again confirmed diagnosis of left renal malignant glomus tumor. She had an uneventful postoperative recovery. Options of treatment were reviewed by a multidisciplinary board. In light of no proven benefit for systemic therapy, she was referred for supportive care. She was under follow-up and she expired after 7 months due to progressive disease. Our literature review focuses on the clinicopathologic features and the current standard of management of malignant renal glomus tumors.

Abstract Image

Abstract Image

Abstract Image

无法手术的肾恶性结节瘤,所有 "W "的答案?
绒毛膜肿瘤产生于绒毛膜体(参与体温调节的特殊神经血管结构),通常发生在四肢,很少发生在内脏。粘液瘤的范围包括良性肿瘤、恶性可能性不确定的肿瘤以及恶性亚型肿瘤。绝大多数内脏腺瘤是良性的。最常见的内脏肿瘤发生在胃肠道。肾脏胶质瘤是一种罕见的肿瘤,其中恶性胶质瘤极为罕见。现有病例报告中的患者均为中年男性。我们报告了一名 60 岁女性左肾恶性胶质瘤的病例,计算机断层扫描(CT)显示该肿瘤累及肾静脉和下腔静脉(IVC)。由于造影显示与传统肾肿瘤的外观不符,因此进行了经皮活检,经免疫组化后报告为恶性腺瘤。经过知情决定,患者和家属选择了手术治疗。然而,术中发现左肾肿块浸润了胰腺、十二指肠、主动脉和结肠系膜根部,因此手术流产。术中活检再次确诊为左肾恶性腺瘤。术后恢复顺利。多学科委员会对治疗方案进行了审查。鉴于无法证实系统治疗的益处,她被转诊接受支持性治疗。她接受了随访,7 个月后因病情进展而去世。我们的文献综述侧重于恶性肾盂肿瘤的临床病理特征和当前的治疗标准。
本文章由计算机程序翻译,如有差异,请以英文原文为准。
求助全文
约1分钟内获得全文 求助全文
来源期刊
自引率
6.20%
发文量
22
审稿时长
4 weeks
×
引用
GB/T 7714-2015
复制
MLA
复制
APA
复制
导出至
BibTeX EndNote RefMan NoteFirst NoteExpress
×
提示
您的信息不完整,为了账户安全,请先补充。
现在去补充
×
提示
您因"违规操作"
具体请查看互助需知
我知道了
×
提示
确定
请完成安全验证×
copy
已复制链接
快去分享给好友吧!
我知道了
右上角分享
点击右上角分享
0
联系我们:info@booksci.cn Book学术提供免费学术资源搜索服务,方便国内外学者检索中英文文献。致力于提供最便捷和优质的服务体验。 Copyright © 2023 布克学术 All rights reserved.
京ICP备2023020795号-1
ghs 京公网安备 11010802042870号
Book学术文献互助
Book学术文献互助群
群 号:604180095
Book学术官方微信