Kyphoscoliosis complicating asthma with fixed airway obstruction.

IF 1.6 Q3 RESPIRATORY SYSTEM
Multidisciplinary Respiratory Medicine Pub Date : 2024-01-29 eCollection Date: 2024-02-06 DOI:10.5826/mrm.2024.937
Sarah Bonello, Yanika Farrugia, Theresa Mallia, Nicoletta Maniscalco, Martin Balzan
{"title":"Kyphoscoliosis complicating asthma with fixed airway obstruction.","authors":"Sarah Bonello, Yanika Farrugia, Theresa Mallia, Nicoletta Maniscalco, Martin Balzan","doi":"10.5826/mrm.2024.937","DOIUrl":null,"url":null,"abstract":"<p><strong>Introduction: </strong>Kyphoscoliosis is present in up to 2% of the juvenile population and can have deleterious effects on respiratory mechanics, leading to chronic respiratory failure later on in adult life.</p><p><strong>Case presentation: </strong>Hereby we describe a 53-year-old patient with severe uncontrolled asthma who presented with chronic hypercapnic respiratory failure. During her medical workup, she was noted to have several comorbidities leading to her respiratory failure. The patient had radiological evidence of bronchiectasis with recurrent episodes of infection, and a severe deformity of the spine due to Kyphoscoliosis. Probably the kyphotic component of this deformity had worsened due to a long history of oral steroid use leading to severe osteoporosis and consequent vertebral compression fractures reaching a Cobb angle of 73 degrees. This was probably caused by the patient's non-compliance with inhaler therapy and an excessive reliance on oral steroid use. Her respiratory failure was treated with domiciliary noninvasive positive pressure ventilation and 24-hour oxygen therapy and her symptoms improved.</p><p><strong>Conclusion: </strong>A multidisciplinary approach across different specialities is necessary when managing such a patient with kyphoscoliosis, bronchiectasis, asthma with airflow limitation with respiratory failure.</p>","PeriodicalId":51135,"journal":{"name":"Multidisciplinary Respiratory Medicine","volume":"19 1","pages":"937"},"PeriodicalIF":1.6000,"publicationDate":"2024-01-29","publicationTypes":"Journal Article","fieldsOfStudy":null,"isOpenAccess":false,"openAccessPdf":"https://www.ncbi.nlm.nih.gov/pmc/articles/PMC10865733/pdf/","citationCount":"0","resultStr":null,"platform":"Semanticscholar","paperid":null,"PeriodicalName":"Multidisciplinary Respiratory Medicine","FirstCategoryId":"1085","ListUrlMain":"https://doi.org/10.5826/mrm.2024.937","RegionNum":0,"RegionCategory":null,"ArticlePicture":[],"TitleCN":null,"AbstractTextCN":null,"PMCID":null,"EPubDate":"2024/2/6 0:00:00","PubModel":"eCollection","JCR":"Q3","JCRName":"RESPIRATORY SYSTEM","Score":null,"Total":0}
引用次数: 0

Abstract

Introduction: Kyphoscoliosis is present in up to 2% of the juvenile population and can have deleterious effects on respiratory mechanics, leading to chronic respiratory failure later on in adult life.

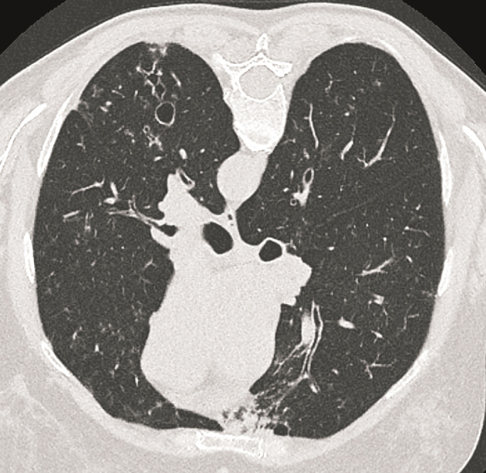
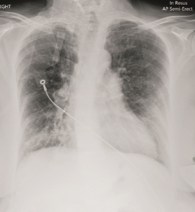
Case presentation: Hereby we describe a 53-year-old patient with severe uncontrolled asthma who presented with chronic hypercapnic respiratory failure. During her medical workup, she was noted to have several comorbidities leading to her respiratory failure. The patient had radiological evidence of bronchiectasis with recurrent episodes of infection, and a severe deformity of the spine due to Kyphoscoliosis. Probably the kyphotic component of this deformity had worsened due to a long history of oral steroid use leading to severe osteoporosis and consequent vertebral compression fractures reaching a Cobb angle of 73 degrees. This was probably caused by the patient's non-compliance with inhaler therapy and an excessive reliance on oral steroid use. Her respiratory failure was treated with domiciliary noninvasive positive pressure ventilation and 24-hour oxygen therapy and her symptoms improved.

Conclusion: A multidisciplinary approach across different specialities is necessary when managing such a patient with kyphoscoliosis, bronchiectasis, asthma with airflow limitation with respiratory failure.

Abstract Image

Abstract Image

Abstract Image

伴有固定气道阻塞的哮喘并发脊柱后凸。
导言:多达 2% 的青少年存在脊柱后凸,会对呼吸力学产生有害影响,导致成年后出现慢性呼吸衰竭:我们在此描述一名 53 岁的患者,她患有严重的哮喘,且病情未得到控制,并出现慢性高碳酸血症呼吸衰竭。在体检过程中,我们发现她患有多种导致呼吸衰竭的并发症。该患者有支气管扩张的放射学证据,并伴有反复感染,脊柱因脊柱后凸而严重变形。可能是由于长期口服类固醇导致严重骨质疏松,进而造成椎体压缩性骨折,导致脊柱畸形加重,Cobb 角达到 73 度。这可能是由于患者不遵从吸入器治疗和过度依赖口服类固醇造成的。她的呼吸衰竭得到了家用无创正压通气和 24 小时氧疗的治疗,症状也得到了改善:在治疗这类患有脊柱侧弯、支气管扩张、气流受限并伴有呼吸衰竭的哮喘患者时,有必要采用跨学科的方法。
本文章由计算机程序翻译,如有差异,请以英文原文为准。
求助全文
约1分钟内获得全文 求助全文
来源期刊
CiteScore
4.40
自引率
0.00%
发文量
23
审稿时长
>12 weeks
期刊介绍: Multidisciplinary Respiratory Medicine is the official journal of the Italian Respiratory Society - Società Italiana di Pneumologia (IRS/SIP). The journal publishes on all aspects of respiratory medicine and related fields, with a particular focus on interdisciplinary and translational research. The interdisciplinary nature of the journal provides a unique opportunity for researchers, clinicians and healthcare professionals across specialties to collaborate and exchange information. The journal provides a high visibility platform for the publication and dissemination of top quality original scientific articles, reviews and important position papers documenting clinical and experimental advances.
×
引用
GB/T 7714-2015
复制
MLA
复制
APA
复制
导出至
BibTeX EndNote RefMan NoteFirst NoteExpress
×
提示
您的信息不完整,为了账户安全,请先补充。
现在去补充
×
提示
您因"违规操作"
具体请查看互助需知
我知道了
×
提示
确定
请完成安全验证×
copy
已复制链接
快去分享给好友吧!
我知道了
右上角分享
点击右上角分享
0
联系我们:info@booksci.cn Book学术提供免费学术资源搜索服务,方便国内外学者检索中英文文献。致力于提供最便捷和优质的服务体验。 Copyright © 2023 布克学术 All rights reserved.
京ICP备2023020795号-1
ghs 京公网安备 11010802042870号
Book学术文献互助
Book学术文献互助群
群 号:604180095
Book学术官方微信