Cerebral Necrotizing Encephalopathy in a 7-year-old Child after being Infected with COVID-19, A Case Report.

IF 0.9 Q4 CLINICAL NEUROLOGY
Iranian Journal of Child Neurology Pub Date : 2024-01-01 Epub Date: 2024-01-18 DOI:10.22037/ijcn.v18i1.39927
Zahra Movahedi, Mohsen Mollamohammadi, Masoud Hassanvand Amouzadeh, Batool Shakeri
{"title":"Cerebral Necrotizing Encephalopathy in a 7-year-old Child after being Infected with COVID-19, A Case Report.","authors":"Zahra Movahedi, Mohsen Mollamohammadi, Masoud Hassanvand Amouzadeh, Batool Shakeri","doi":"10.22037/ijcn.v18i1.39927","DOIUrl":null,"url":null,"abstract":"<p><p>New daily data on the COVID-19 pandemic are circulating globally. This disease usually appears with respiratory symptoms such as cough, shortness of breath, and fever. The neurological complications of the disease are somewhat known in adults but rarely reported in children. Acute necrotizing encephalopathy of childhood (ANEC) is one of the brain complications associated‌ with Coronavirus disease that usually has a poor prognosis in children. In this case, we report a rare case of a 7-year-old boy who was referred to the hospital with symptoms of convulsions after contracting COVID-19 and developed cerebral necrotizing encephalopathy caused by COVID-19 infection. Although ANEC is a rare disease, clinical examination and MRI and CT scan findings play an essentialrole in diagnosing and treating the disease.‌.</p>","PeriodicalId":14537,"journal":{"name":"Iranian Journal of Child Neurology","volume":"18 1","pages":"139-144"},"PeriodicalIF":0.9000,"publicationDate":"2024-01-01","publicationTypes":"Journal Article","fieldsOfStudy":null,"isOpenAccess":false,"openAccessPdf":"https://www.ncbi.nlm.nih.gov/pmc/articles/PMC10874513/pdf/","citationCount":"0","resultStr":null,"platform":"Semanticscholar","paperid":null,"PeriodicalName":"Iranian Journal of Child Neurology","FirstCategoryId":"1085","ListUrlMain":"https://doi.org/10.22037/ijcn.v18i1.39927","RegionNum":0,"RegionCategory":null,"ArticlePicture":[],"TitleCN":null,"AbstractTextCN":null,"PMCID":null,"EPubDate":"2024/1/18 0:00:00","PubModel":"Epub","JCR":"Q4","JCRName":"CLINICAL NEUROLOGY","Score":null,"Total":0}
引用次数: 0

Abstract

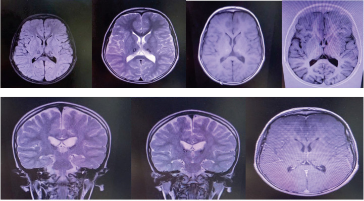
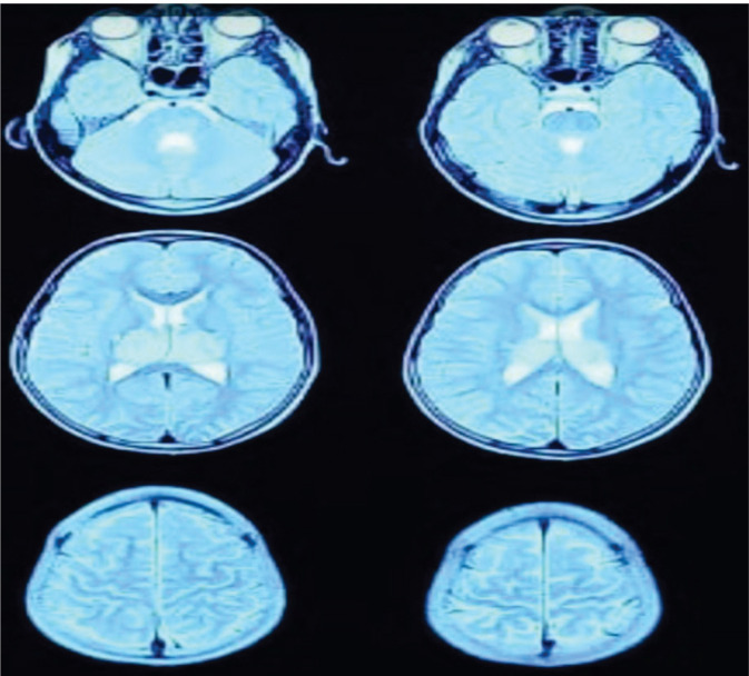
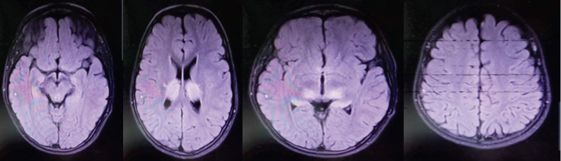
New daily data on the COVID-19 pandemic are circulating globally. This disease usually appears with respiratory symptoms such as cough, shortness of breath, and fever. The neurological complications of the disease are somewhat known in adults but rarely reported in children. Acute necrotizing encephalopathy of childhood (ANEC) is one of the brain complications associated‌ with Coronavirus disease that usually has a poor prognosis in children. In this case, we report a rare case of a 7-year-old boy who was referred to the hospital with symptoms of convulsions after contracting COVID-19 and developed cerebral necrotizing encephalopathy caused by COVID-19 infection. Although ANEC is a rare disease, clinical examination and MRI and CT scan findings play an essentialrole in diagnosing and treating the disease.‌.

Abstract Image

Abstract Image

Abstract Image

病例报告:一名 7 岁儿童感染 COVID-19 后出现脑坏死性脑病。
每天都有关于 COVID-19 大流行的新数据在全球流传。这种疾病通常伴有呼吸道症状,如咳嗽、呼吸急促和发烧。这种疾病的神经系统并发症在成人中较为常见,但在儿童中却鲜有报道。儿童急性坏死性脑病(ANEC)是与冠状病毒病相关的脑部并发症之一,通常在儿童中预后较差。在本病例中,我们报告了一例罕见病例,一名7岁男孩因感染COVID-19后出现抽搐症状而转诊至医院,并因感染COVID-19而引发脑坏死性脑病。虽然ANEC是一种罕见疾病,但临床检查和核磁共振成像及CT扫描结果在诊断和治疗该疾病中起着至关重要的作用。
本文章由计算机程序翻译,如有差异,请以英文原文为准。
求助全文
约1分钟内获得全文 求助全文
来源期刊
CiteScore
1.40
自引率
0.00%
发文量
35
×
引用
GB/T 7714-2015
复制
MLA
复制
APA
复制
导出至
BibTeX EndNote RefMan NoteFirst NoteExpress
×
提示
您的信息不完整,为了账户安全,请先补充。
现在去补充
×
提示
您因"违规操作"
具体请查看互助需知
我知道了
×
提示
确定
请完成安全验证×
copy
已复制链接
快去分享给好友吧!
我知道了
右上角分享
点击右上角分享
0
联系我们:info@booksci.cn Book学术提供免费学术资源搜索服务,方便国内外学者检索中英文文献。致力于提供最便捷和优质的服务体验。 Copyright © 2023 布克学术 All rights reserved.
京ICP备2023020795号-1
ghs 京公网安备 11010802042870号
Book学术文献互助
Book学术文献互助群
群 号:604180095
Book学术官方微信