Septic Arthritis of the Acromioclavicular Joint: A Case Report.

Journal of education & teaching in emergency medicine Pub Date : 2024-01-31 eCollection Date: 2024-01-01 DOI:10.21980/J8VP9N
Serena Tally, Michael Head, Kerri Kraft
{"title":"Septic Arthritis of the Acromioclavicular Joint: A Case Report.","authors":"Serena Tally, Michael Head, Kerri Kraft","doi":"10.21980/J8VP9N","DOIUrl":null,"url":null,"abstract":"<p><p>Septic arthritis of native joints is uncommon, but the condition can be threatening to life and limb if left untreated.1 Septic arthritis of the acromioclavicular (AC) joint of the shoulder is particularly rare and has only appeared sparsely in medical literature, mainly through individual case reports. Early recognition and treatment of the condition is vital, but diagnosis of septic AC arthritis can be difficult due to its presentation with vague symptoms and nonspecific laboratory findings. This case report describes the care of a patient with poorly managed diabetes who presented to the emergency department with one month of pain and swelling of the left shoulder and two weeks of pain and swelling in the right ankle. Imaging revealed fluid in the AC joint, and laboratory evaluation showed an elevation in inflammatory markers, including leukocyte count, C-reactive protein (CRP), and erythrocyte sedimentation rate (ESR). The patient's hospital course was complicated by methicillin-sensitive Staphylococcus Aureus bacteremia without evidence of sepsis. The patient underwent open debridement and washout of both the ankle and AC joint without complication. After recovery, the patient was discharged to a rehabilitative center with IV antibiotics and weekly follow up care with infectious disease specialists. This case illustrates the importance of early diagnosis and treatment of septic arthritis, even in less common joint spaces, to prevent progression of this dangerous disease.</p><p><strong>Topics: </strong>Septic arthritis, acromioclavicular joint, diabetes, bacteremia.</p>","PeriodicalId":73721,"journal":{"name":"Journal of education & teaching in emergency medicine","volume":"9 1","pages":"V9-V14"},"PeriodicalIF":0.0000,"publicationDate":"2024-01-31","publicationTypes":"Journal Article","fieldsOfStudy":null,"isOpenAccess":false,"openAccessPdf":"https://www.ncbi.nlm.nih.gov/pmc/articles/PMC10854883/pdf/","citationCount":"0","resultStr":null,"platform":"Semanticscholar","paperid":null,"PeriodicalName":"Journal of education & teaching in emergency medicine","FirstCategoryId":"1085","ListUrlMain":"https://doi.org/10.21980/J8VP9N","RegionNum":0,"RegionCategory":null,"ArticlePicture":[],"TitleCN":null,"AbstractTextCN":null,"PMCID":null,"EPubDate":"2024/1/1 0:00:00","PubModel":"eCollection","JCR":"","JCRName":"","Score":null,"Total":0}
引用次数: 0

Abstract

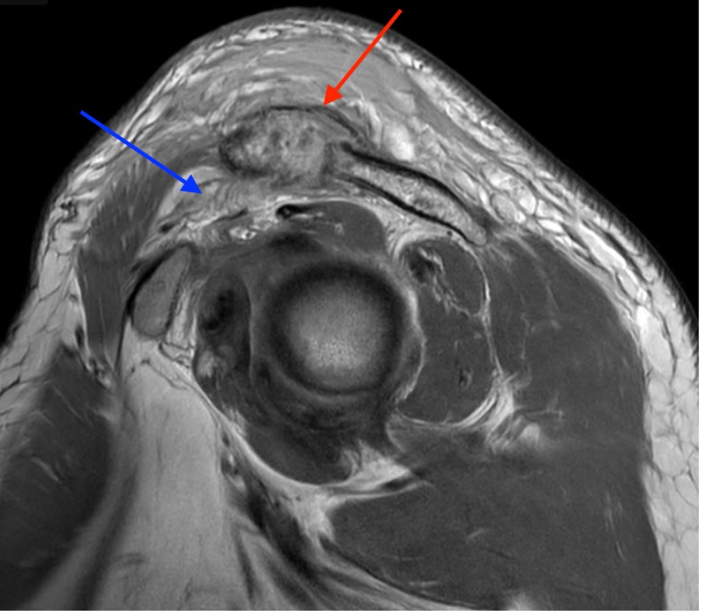
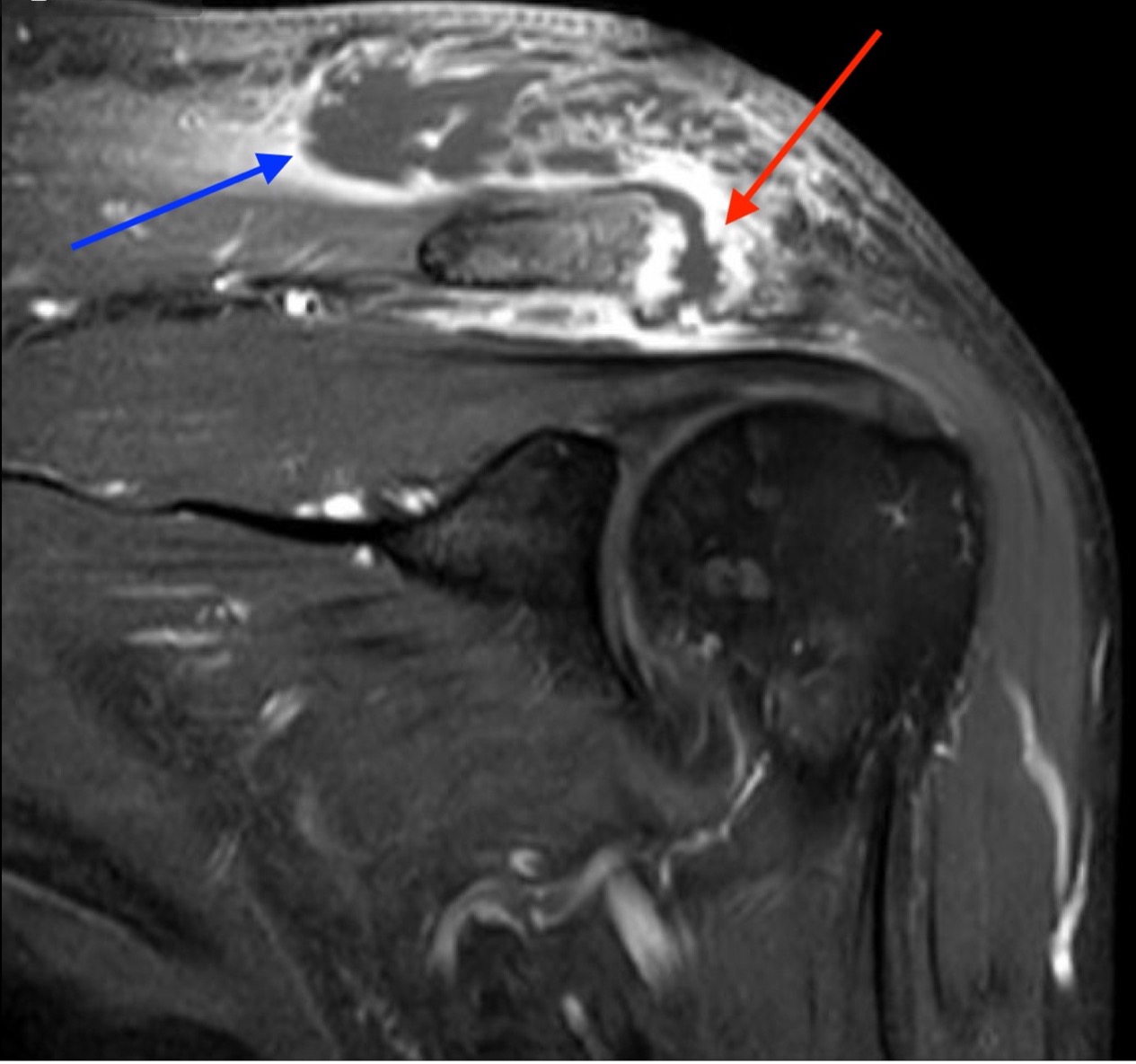
Septic arthritis of native joints is uncommon, but the condition can be threatening to life and limb if left untreated.1 Septic arthritis of the acromioclavicular (AC) joint of the shoulder is particularly rare and has only appeared sparsely in medical literature, mainly through individual case reports. Early recognition and treatment of the condition is vital, but diagnosis of septic AC arthritis can be difficult due to its presentation with vague symptoms and nonspecific laboratory findings. This case report describes the care of a patient with poorly managed diabetes who presented to the emergency department with one month of pain and swelling of the left shoulder and two weeks of pain and swelling in the right ankle. Imaging revealed fluid in the AC joint, and laboratory evaluation showed an elevation in inflammatory markers, including leukocyte count, C-reactive protein (CRP), and erythrocyte sedimentation rate (ESR). The patient's hospital course was complicated by methicillin-sensitive Staphylococcus Aureus bacteremia without evidence of sepsis. The patient underwent open debridement and washout of both the ankle and AC joint without complication. After recovery, the patient was discharged to a rehabilitative center with IV antibiotics and weekly follow up care with infectious disease specialists. This case illustrates the importance of early diagnosis and treatment of septic arthritis, even in less common joint spaces, to prevent progression of this dangerous disease.

Topics: Septic arthritis, acromioclavicular joint, diabetes, bacteremia.

Abstract Image

Abstract Image

Abstract Image

肩锁关节化脓性关节炎:病例报告
1 肩部肩锁关节(AC)化脓性关节炎尤为罕见,在医学文献中也鲜有报道,主要是个别病例报告。早期识别和治疗该病至关重要,但由于化脓性肩锁关节炎的症状模糊,实验室检查结果也不具特异性,因此很难确诊。本病例报告描述了一名糖尿病患者的治疗情况,该患者因左肩部疼痛和肿胀一个月、右脚踝疼痛和肿胀两周而到急诊科就诊。影像学检查显示交流关节有积液,实验室评估显示炎症指标升高,包括白细胞计数、C反应蛋白(CRP)和红细胞沉降率(ESR)。甲氧西林敏感金黄色葡萄球菌菌血症使患者的住院过程变得复杂,但无败血症迹象。患者接受了踝关节和交流关节的开放性清创和冲洗,未出现并发症。康复后,患者出院前往康复中心,静脉滴注抗生素,每周接受传染病专家的随访。这个病例说明了化脓性关节炎早期诊断和治疗的重要性,即使是在不太常见的关节间隙,也要及早诊断和治疗,以防止这种危险疾病恶化:化脓性关节炎、肩锁关节、糖尿病、菌血症。
本文章由计算机程序翻译,如有差异,请以英文原文为准。
求助全文
约1分钟内获得全文 求助全文
来源期刊
自引率
0.00%
发文量
0
审稿时长
10 weeks
×
引用
GB/T 7714-2015
复制
MLA
复制
APA
复制
导出至
BibTeX EndNote RefMan NoteFirst NoteExpress
×
提示
您的信息不完整,为了账户安全,请先补充。
现在去补充
×
提示
您因"违规操作"
具体请查看互助需知
我知道了
×
提示
确定
请完成安全验证×
copy
已复制链接
快去分享给好友吧!
我知道了
右上角分享
点击右上角分享
0
联系我们:info@booksci.cn Book学术提供免费学术资源搜索服务,方便国内外学者检索中英文文献。致力于提供最便捷和优质的服务体验。 Copyright © 2023 布克学术 All rights reserved.
京ICP备2023020795号-1
ghs 京公网安备 11010802042870号
Book学术文献互助
Book学术文献互助群
群 号:604180095
Book学术官方微信