Insights From the Histopathologic Analysis of Acquired and Genetic Thoracic Aortic Aneurysms and Dissections.

IF 0.9 4区 医学
L Maximilian Buja, Bihong Zhao, Humaira Sadaf, Michelle McDonald, Ana M Segura, Li Li, Alana Cecchi, Siddharth K Prakash, Rana O Afifi, Charles C Miller, Anthony L Estrera, Dianna M Milewicz
{"title":"Insights From the Histopathologic Analysis of Acquired and Genetic Thoracic Aortic Aneurysms and Dissections.","authors":"L Maximilian Buja, Bihong Zhao, Humaira Sadaf, Michelle McDonald, Ana M Segura, Li Li, Alana Cecchi, Siddharth K Prakash, Rana O Afifi, Charles C Miller, Anthony L Estrera, Dianna M Milewicz","doi":"10.14503/THIJ-23-8253","DOIUrl":null,"url":null,"abstract":"<p><strong>Objective: </strong>The purpose of this study was to apply contemporary consensus criteria developed by the Society for Cardiovascular Pathology and the Association for European Cardiovascular Pathology to the evaluation of aortic pathology, with the expectation that the additional pathologic information may enhance the understanding and management of aortic diseases.</p><p><strong>Methods: </strong>A scoring system was applied to ascending aortic specimens from 42 patients with heritable thoracic aortic disease and known genetic variations and from 86 patients from a single year, including patients with known genetic variations (n = 12) and patients with sporadic disease (n = 74).</p><p><strong>Results: </strong>The various types of lesions of medial degeneration and the overall severity of medial degeneration overlapped considerably between those patients with heritable disease and those with sporadic disease; however, patients with heritable thoracic aortic disease had significantly more overall medial degeneration (P = .004) and higher levels of elastic fiber fragmentation (P = .03) and mucoid extracellular matrix accumulation (P = .04) than patients with sporadic thoracic aortic disease. Heritable thoracic aortic disease with known genetic variation was more prevalent in women than in men (27.2% vs 9.8%; P = .04), and women had more severe medial degeneration than men (P = .04). Medial degeneration scores were significantly lower for patients with bicuspid aortic valves than for patients with tricuspid aortic valves (P = .03).</p><p><strong>Conclusion: </strong>The study's findings indicate considerable overlap in the pattern, extent, and severity of medial degeneration between sporadic and hereditary types of thoracic aortic disease. This finding suggests that histopathologic medial degeneration represents the final common outcome of diverse pathogenetic factors and mechanisms.</p>","PeriodicalId":48680,"journal":{"name":"Texas Heart Institute Journal","volume":"51 1","pages":""},"PeriodicalIF":0.9000,"publicationDate":"2024-02-12","publicationTypes":"Journal Article","fieldsOfStudy":null,"isOpenAccess":false,"openAccessPdf":"https://www.ncbi.nlm.nih.gov/pmc/articles/PMC11075520/pdf/","citationCount":"0","resultStr":null,"platform":"Semanticscholar","paperid":null,"PeriodicalName":"Texas Heart Institute Journal","FirstCategoryId":"3","ListUrlMain":"https://doi.org/10.14503/THIJ-23-8253","RegionNum":4,"RegionCategory":"医学","ArticlePicture":[],"TitleCN":null,"AbstractTextCN":null,"PMCID":null,"EPubDate":"","PubModel":"","JCR":"","JCRName":"","Score":null,"Total":0}
引用次数: 0

Abstract

Objective: The purpose of this study was to apply contemporary consensus criteria developed by the Society for Cardiovascular Pathology and the Association for European Cardiovascular Pathology to the evaluation of aortic pathology, with the expectation that the additional pathologic information may enhance the understanding and management of aortic diseases.

Methods: A scoring system was applied to ascending aortic specimens from 42 patients with heritable thoracic aortic disease and known genetic variations and from 86 patients from a single year, including patients with known genetic variations (n = 12) and patients with sporadic disease (n = 74).

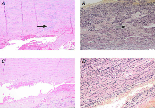
Results: The various types of lesions of medial degeneration and the overall severity of medial degeneration overlapped considerably between those patients with heritable disease and those with sporadic disease; however, patients with heritable thoracic aortic disease had significantly more overall medial degeneration (P = .004) and higher levels of elastic fiber fragmentation (P = .03) and mucoid extracellular matrix accumulation (P = .04) than patients with sporadic thoracic aortic disease. Heritable thoracic aortic disease with known genetic variation was more prevalent in women than in men (27.2% vs 9.8%; P = .04), and women had more severe medial degeneration than men (P = .04). Medial degeneration scores were significantly lower for patients with bicuspid aortic valves than for patients with tricuspid aortic valves (P = .03).

Conclusion: The study's findings indicate considerable overlap in the pattern, extent, and severity of medial degeneration between sporadic and hereditary types of thoracic aortic disease. This finding suggests that histopathologic medial degeneration represents the final common outcome of diverse pathogenetic factors and mechanisms.

Abstract Image

Abstract Image

Abstract Image

后天性和遗传性胸主动脉瘤和夹层的组织病理学分析启示。
研究目的本研究的目的是将心血管病理协会和欧洲心血管病理协会制定的当代共识标准应用于主动脉病理评估,期望额外的病理信息能增强对主动脉疾病的理解和管理:对42名患有遗传性胸主动脉疾病和已知基因变异的患者以及86名来自同一年的患者(包括已知基因变异患者(12人)和散发性疾病患者(74人))的升主动脉标本采用了评分系统:结果:与散发性胸主动脉疾病患者相比,遗传性胸主动脉疾病患者的各种类型的内侧变性病变和内侧变性的总体严重程度有很大的重叠;但是,遗传性胸主动脉疾病患者的总体内侧变性程度明显高于散发性胸主动脉疾病患者(P = .004),弹性纤维断裂程度(P = .03)和黏液状细胞外基质堆积程度(P = .04)也高于散发性胸主动脉疾病患者。具有已知遗传变异的遗传性胸主动脉疾病在女性中的发病率高于男性(27.2% vs 9.8%;P = .04),女性的内侧变性比男性更严重(P = .04)。双尖瓣主动脉瓣患者的内侧退变评分明显低于三尖瓣主动脉瓣患者(P = .03):研究结果表明,散发性和遗传性胸主动脉疾病在内侧变性的模式、范围和严重程度上有相当大的重叠。这一发现表明,组织病理学上的内侧变性代表了不同致病因素和机制的最终共同结果。
本文章由计算机程序翻译,如有差异,请以英文原文为准。
求助全文
约1分钟内获得全文 求助全文
来源期刊
Texas Heart Institute Journal
Texas Heart Institute Journal CARDIAC & CARDIOVASCULAR SYSTEMS-
自引率
11.10%
发文量
131
期刊介绍: For more than 45 years, the Texas Heart Institute Journal has been published by the Texas Heart Institute as part of its medical education program. Our bimonthly peer-reviewed journal enjoys a global audience of physicians, scientists, and healthcare professionals who are contributing to the prevention, diagnosis, and treatment of cardiovascular disease. The Journal was printed under the name of Cardiovascular Diseases from 1974 through 1981 (ISSN 0093-3546). The name was changed to Texas Heart Institute Journal in 1982 and was printed through 2013 (ISSN 0730-2347). In 2014, the Journal moved to online-only publication. It is indexed by Index Medicus/MEDLINE and by other indexing and abstracting services worldwide. Our full archive is available at PubMed Central. The Journal invites authors to submit these article types for review: -Clinical Investigations- Laboratory Investigations- Reviews- Techniques- Coronary Anomalies- History of Medicine- Case Reports/Case Series (Submission Fee: $70.00 USD)- Images in Cardiovascular Medicine (Submission Fee: $35.00 USD)- Guest Editorials- Peabody’s Corner- Letters to the Editor
×
引用
GB/T 7714-2015
复制
MLA
复制
APA
复制
导出至
BibTeX EndNote RefMan NoteFirst NoteExpress
×
提示
您的信息不完整,为了账户安全,请先补充。
现在去补充
×
提示
您因"违规操作"
具体请查看互助需知
我知道了
×
提示
确定
请完成安全验证×
copy
已复制链接
快去分享给好友吧!
我知道了
右上角分享
点击右上角分享
0
联系我们:info@booksci.cn Book学术提供免费学术资源搜索服务,方便国内外学者检索中英文文献。致力于提供最便捷和优质的服务体验。 Copyright © 2023 布克学术 All rights reserved.
京ICP备2023020795号-1
ghs 京公网安备 11010802042870号
Book学术文献互助
Book学术文献互助群
群 号:604180095
Book学术官方微信