Surgical Correction of Left Ventricular Assist Device Outflow Graft Obstruction Caused by a Wrapped Expanded Polytetrafluoroethylene Graft: A Case Report.

IF 1 Q4 Medicine
Journal of Chest Surgery Pub Date : 2024-07-05 Epub Date: 2024-02-08 DOI:10.5090/jcs.23.133
Sung Min Kim, Ilkun Park, Siwon Oh, Hyo Won Seo, Ga Hee Jeong, Jun Ho Lee, Su Ryeun Chung, Kiick Sung, Wook Sung Kim, Yang Hyun Cho
{"title":"Surgical Correction of Left Ventricular Assist Device Outflow Graft Obstruction Caused by a Wrapped Expanded Polytetrafluoroethylene Graft: A Case Report.","authors":"Sung Min Kim, Ilkun Park, Siwon Oh, Hyo Won Seo, Ga Hee Jeong, Jun Ho Lee, Su Ryeun Chung, Kiick Sung, Wook Sung Kim, Yang Hyun Cho","doi":"10.5090/jcs.23.133","DOIUrl":null,"url":null,"abstract":"<p><p>A 70-year-old man with dilated cardiomyopathy underwent left ventricular assist device (LVAD) implantation, using a HeartWare ventricular assist device, as a bridge to candidacy. After 26 months, computed tomography (CT) angiography indicated stenosis in the LVAD outflow graft; however, the patient was asymptomatic, prompting a decision to manage his condition with close monitoring. Ten months later, the patient presented with dizziness and low-flow alerts. Subsequent CT angiography revealed a critical obstruction involving the entire LVAD outflow graft. The patient underwent emergency surgery, during which an organized seroma causing the graft obstruction was found between a wrapped expanded polytetrafluoroethylene (ePTFE) graft and a Dacron outflow graft. The covering of the outflow graft was removed, along with the organized seroma. Following removal of the ePTFE wrap and decompression of the outflow graft, normal LVAD flow was reestablished. The practice of wrapping the outflow graft with synthetic material, commonly done to facilitate later redo sternotomy, may pose a risk for outflow graft obstruction.</p>","PeriodicalId":34499,"journal":{"name":"Journal of Chest Surgery","volume":" ","pages":"413-417"},"PeriodicalIF":1.0000,"publicationDate":"2024-07-05","publicationTypes":"Journal Article","fieldsOfStudy":null,"isOpenAccess":false,"openAccessPdf":"https://www.ncbi.nlm.nih.gov/pmc/articles/PMC11240098/pdf/","citationCount":"0","resultStr":null,"platform":"Semanticscholar","paperid":null,"PeriodicalName":"Journal of Chest Surgery","FirstCategoryId":"1085","ListUrlMain":"https://doi.org/10.5090/jcs.23.133","RegionNum":0,"RegionCategory":null,"ArticlePicture":[],"TitleCN":null,"AbstractTextCN":null,"PMCID":null,"EPubDate":"2024/2/8 0:00:00","PubModel":"Epub","JCR":"Q4","JCRName":"Medicine","Score":null,"Total":0}
引用次数: 0

Abstract

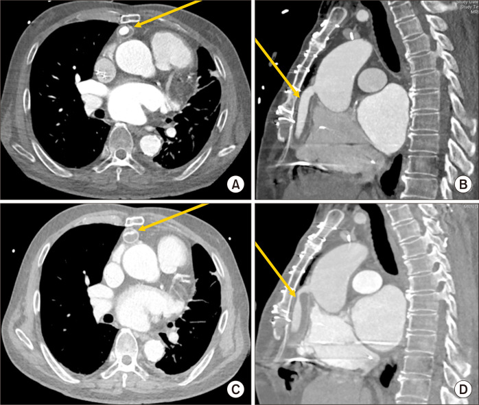
A 70-year-old man with dilated cardiomyopathy underwent left ventricular assist device (LVAD) implantation, using a HeartWare ventricular assist device, as a bridge to candidacy. After 26 months, computed tomography (CT) angiography indicated stenosis in the LVAD outflow graft; however, the patient was asymptomatic, prompting a decision to manage his condition with close monitoring. Ten months later, the patient presented with dizziness and low-flow alerts. Subsequent CT angiography revealed a critical obstruction involving the entire LVAD outflow graft. The patient underwent emergency surgery, during which an organized seroma causing the graft obstruction was found between a wrapped expanded polytetrafluoroethylene (ePTFE) graft and a Dacron outflow graft. The covering of the outflow graft was removed, along with the organized seroma. Following removal of the ePTFE wrap and decompression of the outflow graft, normal LVAD flow was reestablished. The practice of wrapping the outflow graft with synthetic material, commonly done to facilitate later redo sternotomy, may pose a risk for outflow graft obstruction.

Abstract Image

Abstract Image

Abstract Image

左心室辅助装置流出道移植物因包裹的膨胀聚四氟乙烯移植物而阻塞的手术矫正:病例报告。
一名患有扩张型心肌病的 70 岁男子接受了左心室辅助装置(LVAD)植入手术,使用的是 HeartWare 心室辅助装置,以此作为通往候选资格的桥梁。26 个月后,计算机断层扫描(CT)血管造影显示 LVAD 流出移植物出现狭窄;但患者并无症状,因此决定通过密切监测来控制病情。十个月后,患者出现头晕和低流量警报。随后的 CT 血管造影显示,整个 LVAD 流出移植物出现严重阻塞。患者接受了急诊手术,手术中在包裹的膨体聚四氟乙烯(ePTFE)移植物和达克龙(Dacron)流出移植物之间发现了导致移植物阻塞的有组织血清肿。流出移植物的覆盖物和有组织血清肿被移除。移除 ePTFE 包膜并对流出移植物减压后,LVAD 血流恢复正常。用合成材料包裹外流移植物的做法通常是为了方便日后重新进行胸骨切开术,这种做法可能会造成外流移植物阻塞的风险。
本文章由计算机程序翻译,如有差异,请以英文原文为准。
求助全文
约1分钟内获得全文 求助全文
来源期刊
Journal of Chest Surgery
Journal of Chest Surgery Medicine-Surgery
CiteScore
0.80
自引率
0.00%
发文量
76
审稿时长
7 weeks
×
引用
GB/T 7714-2015
复制
MLA
复制
APA
复制
导出至
BibTeX EndNote RefMan NoteFirst NoteExpress
×
提示
您的信息不完整,为了账户安全,请先补充。
现在去补充
×
提示
您因"违规操作"
具体请查看互助需知
我知道了
×
提示
确定
请完成安全验证×
copy
已复制链接
快去分享给好友吧!
我知道了
右上角分享
点击右上角分享
0
联系我们:info@booksci.cn Book学术提供免费学术资源搜索服务,方便国内外学者检索中英文文献。致力于提供最便捷和优质的服务体验。 Copyright © 2023 布克学术 All rights reserved.
京ICP备2023020795号-1
ghs 京公网安备 11010802042870号
Book学术文献互助
Book学术文献互助群
群 号:604180095
Book学术官方微信