Descending necrotizing mediastinitis: key points to reduce the high associated mortality in a consecutive case series.

Mediastinum (Hong Kong, China) Pub Date : 2023-12-24 eCollection Date: 2024-01-01 DOI:10.21037/med-23-32
María Del Prado Venegas Pizarro, Elisabeth Martínez Téllez, Xavier León Vintró, Miquel Quer Agustí, Juan Carlos Trujillo-Reyes, Alejandra Libreros-Niño, Georgina Planas Cánovas, Josep Belda-Sanchis
{"title":"Descending necrotizing mediastinitis: key points to reduce the high associated mortality in a consecutive case series.","authors":"María Del Prado Venegas Pizarro, Elisabeth Martínez Téllez, Xavier León Vintró, Miquel Quer Agustí, Juan Carlos Trujillo-Reyes, Alejandra Libreros-Niño, Georgina Planas Cánovas, Josep Belda-Sanchis","doi":"10.21037/med-23-32","DOIUrl":null,"url":null,"abstract":"<p><strong>Background: </strong>Descending necrotizing mediastinitis (DNM) is an acute life-threatening infection that originates in the oropharyngeal region. It is an uncommon disease with a mortality rate of about 20-40%. This high mortality is mainly attributed to delays in diagnosis and treatment and poor drainage of the mediastinum. We highlight key points that may help reduce mortality.</p><p><strong>Case description: </strong>We analyze a retrospective case series of seven patients diagnosed with DNM between March 2019 and July 2022 at Hospital de la Santa Creu i Sant Pau. The primary oropharyngeal infection was peritonsillar abscess in three cases and odontogenic abscess in four. All patients showed symptoms of severe cervical infection and symptoms suggestive of mediastinitis. A cervicothoracic computed tomography (CT) scan confirmed the presence of cervical and mediastinal collections and emphysema in all cases. All patients were simultaneously evaluated by the otorhinolaryngology and thoracic surgery teams. Broad-spectrum antibiotic therapy was instituted pending culture. All the patients underwent urgent surgery, consisting of cervicotomy to control the cervical focus and unilateral or bilateral video-assisted thoracoscopic debridement and drain of the pleural cavities and mediastinum. Regarding the outcomes, no patients died, one patient (14.2%) underwent transcervical mediastino-thoracoscopy drainage only. In six patients (85.8%) we performed a combined transcervical and transthoracic approach. Reoperation was required in 3 (43%) cases. The parameter that indicated a poor clinical evolution in these patients was an increase in C-reactive protein and the infection extension on the cervicothoracic CT scan. The follow-up was 30 days from last surgery; there were no losses.</p><p><strong>Conclusions: </strong>Based on our experience, the key points that can help reduce the high mortality associated with DNM are a rapid multidisciplinary assessment and a combined surgical procedure, considering the minimally invasive approach as the first option to drain the pleural cavities and mediastinum.</p>","PeriodicalId":74139,"journal":{"name":"Mediastinum (Hong Kong, China)","volume":"8 ","pages":"8"},"PeriodicalIF":0.0000,"publicationDate":"2023-12-24","publicationTypes":"Journal Article","fieldsOfStudy":null,"isOpenAccess":false,"openAccessPdf":"https://www.ncbi.nlm.nih.gov/pmc/articles/PMC10839519/pdf/","citationCount":"0","resultStr":null,"platform":"Semanticscholar","paperid":null,"PeriodicalName":"Mediastinum (Hong Kong, China)","FirstCategoryId":"1085","ListUrlMain":"https://doi.org/10.21037/med-23-32","RegionNum":0,"RegionCategory":null,"ArticlePicture":[],"TitleCN":null,"AbstractTextCN":null,"PMCID":null,"EPubDate":"2024/1/1 0:00:00","PubModel":"eCollection","JCR":"","JCRName":"","Score":null,"Total":0}
引用次数: 0

Abstract

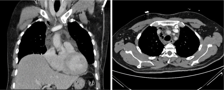
Background: Descending necrotizing mediastinitis (DNM) is an acute life-threatening infection that originates in the oropharyngeal region. It is an uncommon disease with a mortality rate of about 20-40%. This high mortality is mainly attributed to delays in diagnosis and treatment and poor drainage of the mediastinum. We highlight key points that may help reduce mortality.

Case description: We analyze a retrospective case series of seven patients diagnosed with DNM between March 2019 and July 2022 at Hospital de la Santa Creu i Sant Pau. The primary oropharyngeal infection was peritonsillar abscess in three cases and odontogenic abscess in four. All patients showed symptoms of severe cervical infection and symptoms suggestive of mediastinitis. A cervicothoracic computed tomography (CT) scan confirmed the presence of cervical and mediastinal collections and emphysema in all cases. All patients were simultaneously evaluated by the otorhinolaryngology and thoracic surgery teams. Broad-spectrum antibiotic therapy was instituted pending culture. All the patients underwent urgent surgery, consisting of cervicotomy to control the cervical focus and unilateral or bilateral video-assisted thoracoscopic debridement and drain of the pleural cavities and mediastinum. Regarding the outcomes, no patients died, one patient (14.2%) underwent transcervical mediastino-thoracoscopy drainage only. In six patients (85.8%) we performed a combined transcervical and transthoracic approach. Reoperation was required in 3 (43%) cases. The parameter that indicated a poor clinical evolution in these patients was an increase in C-reactive protein and the infection extension on the cervicothoracic CT scan. The follow-up was 30 days from last surgery; there were no losses.

Conclusions: Based on our experience, the key points that can help reduce the high mortality associated with DNM are a rapid multidisciplinary assessment and a combined surgical procedure, considering the minimally invasive approach as the first option to drain the pleural cavities and mediastinum.

Abstract Image

Abstract Image

Abstract Image

下行性坏死性纵隔炎:连续病例系列中降低高相关死亡率的要点。
背景:降解性坏死性纵隔炎(DNM)是一种起源于口咽部的危及生命的急性感染。这种疾病并不常见,死亡率约为 20-40%。死亡率高的主要原因是诊断和治疗延误以及纵隔引流不畅。我们强调了有助于降低死亡率的关键点:我们对2019年3月至2022年7月期间在圣克鲁-圣保医院确诊为DNM的7名患者进行了回顾性病例系列分析。其中 3 例的主要口咽感染为腹腔周围脓肿,4 例为牙源性脓肿。所有患者都有严重的颈部感染症状和纵隔炎症状。颈胸计算机断层扫描(CT)证实,所有病例均存在颈部和纵隔积液和气肿。耳鼻喉科和胸外科团队同时对所有患者进行了评估。在进行细菌培养之前,对患者进行了广谱抗生素治疗。所有患者都接受了紧急手术,包括颈椎切开术以控制颈椎病灶,单侧或双侧视频辅助胸腔镜清创术以及胸膜腔和纵隔引流术。结果方面,没有患者死亡,一名患者(14.2%)仅接受了经颈部纵隔胸腔镜引流术。我们为六名患者(85.8%)实施了经颈部和经胸腔的联合方法。3例患者(43%)需要再次手术。在这些患者中,表明临床转归不佳的参数是颈胸CT扫描中C反应蛋白的升高和感染的扩展。随访时间为最后一次手术后的 30 天,没有出现损失:根据我们的经验,有助于降低与 DNM 相关的高死亡率的关键点是快速进行多学科评估和联合手术,将微创方法作为胸膜腔和纵隔引流的首选方案。
本文章由计算机程序翻译,如有差异,请以英文原文为准。
求助全文
约1分钟内获得全文 求助全文
来源期刊
CiteScore
1.20
自引率
0.00%
发文量
0
×
引用
GB/T 7714-2015
复制
MLA
复制
APA
复制
导出至
BibTeX EndNote RefMan NoteFirst NoteExpress
×
提示
您的信息不完整,为了账户安全,请先补充。
现在去补充
×
提示
您因"违规操作"
具体请查看互助需知
我知道了
×
提示
确定
请完成安全验证×
copy
已复制链接
快去分享给好友吧!
我知道了
右上角分享
点击右上角分享
0
联系我们:info@booksci.cn Book学术提供免费学术资源搜索服务,方便国内外学者检索中英文文献。致力于提供最便捷和优质的服务体验。 Copyright © 2023 布克学术 All rights reserved.
京ICP备2023020795号-1
ghs 京公网安备 11010802042870号
Book学术文献互助
Book学术文献互助群
群 号:604180095
Book学术官方微信