Lynch Syndrome-Associated Glioblastoma Treated With Concomitant Chemoradiotherapy and Immune Checkpoint Inhibitors: Case Report and Review of Literature.

Kenta Nakase, Ryosuke Matsuda, Shoh Sasaki, Ichiro Nakagawa
{"title":"Lynch Syndrome-Associated Glioblastoma Treated With Concomitant Chemoradiotherapy and Immune Checkpoint Inhibitors: Case Report and Review of Literature.","authors":"Kenta Nakase, Ryosuke Matsuda, Shoh Sasaki, Ichiro Nakagawa","doi":"10.14791/btrt.2023.0042","DOIUrl":null,"url":null,"abstract":"<p><p>Lynch syndrome (LS) is an autosomal dominant disorder caused by mutations in mismatch repair (MMR) genes and is also known to be associated with glioblastomas. The efficacy of immunotherapy for LS-associated glioblastomas remains unknown. Herein, we report a rare case of LS-associated glioblastoma, treated with chemotherapy using immune checkpoint inhibitors (ICI). A 41-year-old female patient presented with headaches and sensory disturbances in the right upper limb for 6 weeks. She had been treated for rectal cancer and had a family history of LS. MRI revealed two ring-enhancing lesions in the left precentral gyrus. She underwent subtotal resection, leading to a pathological diagnosis of isocitrate dehydrogenase wild-type glioblastoma. She received daily administration of (temozolomide, 75 mg/m²) and concurrent radiotherapy (60 Gy) postoperatively. However, the tumor recurred 1 year after the initial treatment. A molecular genetic study showed high microsatellite instability (MSI), and she was treated with pembrolizumab therapy. Disease progression occurred despite six cycles of pembrolizumab therapy and radiotherapy at the dose of 40 Gy. She died due to glioblastoma progression 19 months after the initial treatment. The present case demonstrates that some LS-associated glioblastomas may be resistant to ICI despite high MSI, possibly because of intratumor heterogeneity related to MMR deficiency.</p>","PeriodicalId":72453,"journal":{"name":"Brain tumor research and treatment","volume":"12 1","pages":"70-74"},"PeriodicalIF":0.0000,"publicationDate":"2024-01-01","publicationTypes":"Journal Article","fieldsOfStudy":null,"isOpenAccess":false,"openAccessPdf":"https://www.ncbi.nlm.nih.gov/pmc/articles/PMC10864134/pdf/","citationCount":"0","resultStr":null,"platform":"Semanticscholar","paperid":null,"PeriodicalName":"Brain tumor research and treatment","FirstCategoryId":"1085","ListUrlMain":"https://doi.org/10.14791/btrt.2023.0042","RegionNum":0,"RegionCategory":null,"ArticlePicture":[],"TitleCN":null,"AbstractTextCN":null,"PMCID":null,"EPubDate":"","PubModel":"","JCR":"","JCRName":"","Score":null,"Total":0}
引用次数: 0

Abstract

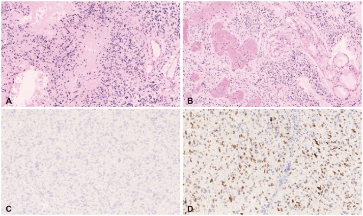
Lynch syndrome (LS) is an autosomal dominant disorder caused by mutations in mismatch repair (MMR) genes and is also known to be associated with glioblastomas. The efficacy of immunotherapy for LS-associated glioblastomas remains unknown. Herein, we report a rare case of LS-associated glioblastoma, treated with chemotherapy using immune checkpoint inhibitors (ICI). A 41-year-old female patient presented with headaches and sensory disturbances in the right upper limb for 6 weeks. She had been treated for rectal cancer and had a family history of LS. MRI revealed two ring-enhancing lesions in the left precentral gyrus. She underwent subtotal resection, leading to a pathological diagnosis of isocitrate dehydrogenase wild-type glioblastoma. She received daily administration of (temozolomide, 75 mg/m²) and concurrent radiotherapy (60 Gy) postoperatively. However, the tumor recurred 1 year after the initial treatment. A molecular genetic study showed high microsatellite instability (MSI), and she was treated with pembrolizumab therapy. Disease progression occurred despite six cycles of pembrolizumab therapy and radiotherapy at the dose of 40 Gy. She died due to glioblastoma progression 19 months after the initial treatment. The present case demonstrates that some LS-associated glioblastomas may be resistant to ICI despite high MSI, possibly because of intratumor heterogeneity related to MMR deficiency.

Abstract Image

Abstract Image

Abstract Image

林奇综合征相关胶质母细胞瘤同时接受化放疗和免疫检查点抑制剂治疗:病例报告和文献综述。
林奇综合征(Lynch syndrome,LS)是一种常染色体显性遗传疾病,由错配修复(MMR)基因突变引起,已知也与胶质母细胞瘤有关。免疫疗法对LS相关胶质母细胞瘤的疗效尚不清楚。在此,我们报告了一例罕见的LS相关胶质母细胞瘤病例,该病例采用免疫检查点抑制剂(ICI)进行化疗。一名41岁的女性患者因头痛和右上肢感觉障碍就诊6周。她曾接受过直肠癌治疗,并有LS家族史。核磁共振成像显示左侧前脑回有两个环形强化病灶。她接受了次全切除术,病理诊断为异柠檬酸脱氢酶野生型胶质母细胞瘤。术后,她接受了每日给药(替莫唑胺,75 毫克/平方米)和同步放疗(60 吉)。然而,初次治疗一年后肿瘤复发。分子遗传学研究显示她的微卫星不稳定性(MSI)很高,于是她接受了彭博利珠单抗治疗。尽管接受了6个周期的pembrolizumab治疗和40 Gy剂量的放疗,疾病还是出现了进展。初次治疗19个月后,她因胶质母细胞瘤进展而死亡。本病例表明,一些与LS相关的胶质母细胞瘤尽管MSI较高,但可能对ICI耐药,这可能是因为肿瘤内异质性与MMR缺乏有关。
本文章由计算机程序翻译,如有差异,请以英文原文为准。
求助全文
约1分钟内获得全文 求助全文
来源期刊
自引率
0.00%
发文量
0
×
引用
GB/T 7714-2015
复制
MLA
复制
APA
复制
导出至
BibTeX EndNote RefMan NoteFirst NoteExpress
×
提示
您的信息不完整,为了账户安全,请先补充。
现在去补充
×
提示
您因"违规操作"
具体请查看互助需知
我知道了
×
提示
确定
请完成安全验证×
copy
已复制链接
快去分享给好友吧!
我知道了
右上角分享
点击右上角分享
0
联系我们:info@booksci.cn Book学术提供免费学术资源搜索服务,方便国内外学者检索中英文文献。致力于提供最便捷和优质的服务体验。 Copyright © 2023 布克学术 All rights reserved.
京ICP备2023020795号-1
ghs 京公网安备 11010802042870号
Book学术文献互助
Book学术文献互助群
群 号:604180095
Book学术官方微信