Awake Surgery for Angiocentric Glioma in the Eloquent Area in an Adolescent: A Case Report.

Yuma Yano, Ryosuke Matsuda, Fumi Okada, Maiko Takeda, Ryosuke Maeoka, Ichiro Nakgawa
{"title":"Awake Surgery for Angiocentric Glioma in the Eloquent Area in an Adolescent: A Case Report.","authors":"Yuma Yano, Ryosuke Matsuda, Fumi Okada, Maiko Takeda, Ryosuke Maeoka, Ichiro Nakgawa","doi":"10.14791/btrt.2023.0044","DOIUrl":null,"url":null,"abstract":"<p><p>Angiocentric glioma (AG) is an extremely rare tumor that often develops in adolescents. Awake surgery for AG occurring in the eloquent area has not been reported to date. We report a case involving a right-handed 15-year-old boy with AG. He presented with a first-time generalized tonic-clonic seizure and was rushed to the local hospital. CT of the head indicated a left frontal low-density mass with no calcification. He was subsequently referred to our hospital. Comparison with a CT scan obtained two years prior due to mild head trauma indicated that the lesion showed a trend toward enlargement. The lesion was located in the anterior and lateral portions of the primary motor cortex, and MRI showed homogenous hypointensity on T1-weighted and hyperintensity on T2-weighted images. Contrast-enhanced MRI showed a linear contrast effect. The patient underwent awake surgery with successful intraoperative brain mapping and total resection, and brain function was preserved. Pathological analysis revealed AG. He returned to his normal life and has shown no recurrence without additional treatment for 2 years. Thus, awake surgery for complete tumor resection while preserving brain function is effective and safe even in adolescents with AGs.</p>","PeriodicalId":72453,"journal":{"name":"Brain tumor research and treatment","volume":"12 1","pages":"75-79"},"PeriodicalIF":0.0000,"publicationDate":"2024-01-01","publicationTypes":"Journal Article","fieldsOfStudy":null,"isOpenAccess":false,"openAccessPdf":"https://www.ncbi.nlm.nih.gov/pmc/articles/PMC10864135/pdf/","citationCount":"0","resultStr":null,"platform":"Semanticscholar","paperid":null,"PeriodicalName":"Brain tumor research and treatment","FirstCategoryId":"1085","ListUrlMain":"https://doi.org/10.14791/btrt.2023.0044","RegionNum":0,"RegionCategory":null,"ArticlePicture":[],"TitleCN":null,"AbstractTextCN":null,"PMCID":null,"EPubDate":"","PubModel":"","JCR":"","JCRName":"","Score":null,"Total":0}
引用次数: 0

Abstract

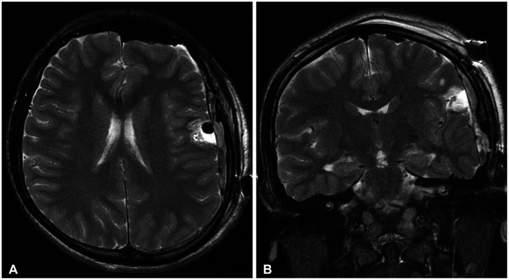
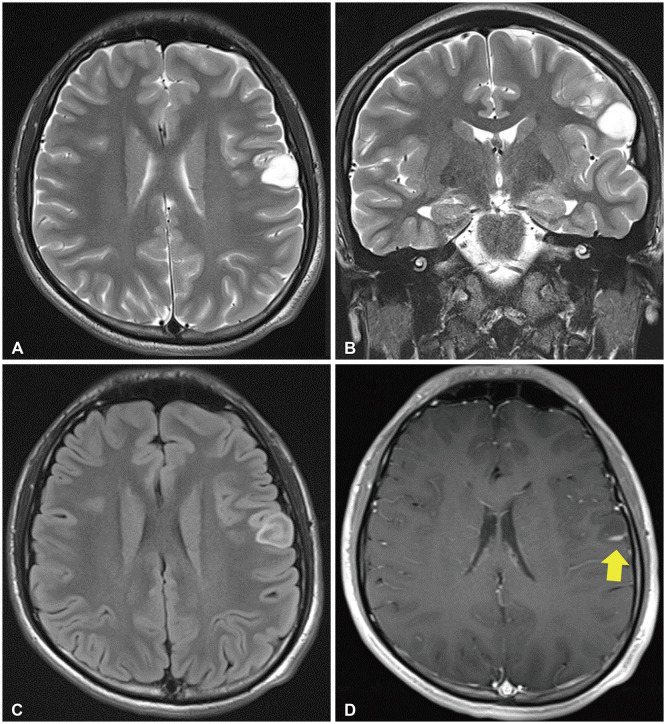
Angiocentric glioma (AG) is an extremely rare tumor that often develops in adolescents. Awake surgery for AG occurring in the eloquent area has not been reported to date. We report a case involving a right-handed 15-year-old boy with AG. He presented with a first-time generalized tonic-clonic seizure and was rushed to the local hospital. CT of the head indicated a left frontal low-density mass with no calcification. He was subsequently referred to our hospital. Comparison with a CT scan obtained two years prior due to mild head trauma indicated that the lesion showed a trend toward enlargement. The lesion was located in the anterior and lateral portions of the primary motor cortex, and MRI showed homogenous hypointensity on T1-weighted and hyperintensity on T2-weighted images. Contrast-enhanced MRI showed a linear contrast effect. The patient underwent awake surgery with successful intraoperative brain mapping and total resection, and brain function was preserved. Pathological analysis revealed AG. He returned to his normal life and has shown no recurrence without additional treatment for 2 years. Thus, awake surgery for complete tumor resection while preserving brain function is effective and safe even in adolescents with AGs.

Abstract Image

Abstract Image

Abstract Image

为一名青少年进行清醒状态下的血管中心性脑胶质瘤手术:病例报告。
血管中心性胶质瘤(AG)是一种极为罕见的肿瘤,通常发生在青少年身上。迄今为止,还没有报道过针对发生在发音区的 AG 进行清醒手术的病例。我们报告了一例患有 AG 的 15 岁右撇子男孩。他首次出现全身强直阵挛发作,被紧急送往当地医院。头部 CT 显示左侧额部有低密度肿块,无钙化。随后,他被转诊到我院。与两年前因轻微头部外伤获得的 CT 扫描结果相比,病灶有扩大的趋势。病变位于初级运动皮层的前部和外侧,核磁共振成像在T1加权图像上显示为同质低密度,在T2加权图像上显示为高密度。对比增强磁共振成像显示出线性对比效应。患者接受了清醒手术,术中成功绘制了脑图并进行了全切除,脑功能得以保留。病理分析显示为AG。他恢复了正常生活,两年来没有复发,也没有接受额外治疗。因此,即使是患有AG的青少年,清醒手术完全切除肿瘤并保留脑功能也是有效和安全的。
本文章由计算机程序翻译,如有差异,请以英文原文为准。
求助全文
约1分钟内获得全文 求助全文
来源期刊
自引率
0.00%
发文量
0
×
引用
GB/T 7714-2015
复制
MLA
复制
APA
复制
导出至
BibTeX EndNote RefMan NoteFirst NoteExpress
×
提示
您的信息不完整,为了账户安全,请先补充。
现在去补充
×
提示
您因"违规操作"
具体请查看互助需知
我知道了
×
提示
确定
请完成安全验证×
copy
已复制链接
快去分享给好友吧!
我知道了
右上角分享
点击右上角分享
0
联系我们:info@booksci.cn Book学术提供免费学术资源搜索服务,方便国内外学者检索中英文文献。致力于提供最便捷和优质的服务体验。 Copyright © 2023 布克学术 All rights reserved.
京ICP备2023020795号-1
ghs 京公网安备 11010802042870号
Book学术文献互助
Book学术文献互助群
群 号:604180095
Book学术官方微信