[Histological characteristics of bovine dentin using Masson's Trichrome staining].

Revista Cientifica Odontologica Pub Date : 2023-12-28 eCollection Date: 2023-10-01 DOI:10.21142/2523-2754-1104-2023-176
Melisa Raquel Lezcano, Nathalie Enz, María Constanza Affur, María Alejandra Gili
{"title":"[Histological characteristics of bovine dentin using Masson's Trichrome staining].","authors":"Melisa Raquel Lezcano, Nathalie Enz, María Constanza Affur, María Alejandra Gili","doi":"10.21142/2523-2754-1104-2023-176","DOIUrl":null,"url":null,"abstract":"<p><strong>Objectives: </strong>Identify the histological characteristics of bovine dentin using histological technique by decalcification with Masson's Trichrome staining.</p><p><strong>Materials and methods: </strong>This was an observational and descriptive study using units of analysis. Bovine teeth were used, which were subjected to a decalcification technique and Masson's trichrome staining. Microscopic observation and registration of the structures was carried out.</p><p><strong>Results: </strong>In the microscopic observation of the teeth subjected to decalcification, dentin, predentin and the structural organization of the tubular and peritubular dentin were observed. The odontoblasts arranged in a palisade with the odontoblastic process included within the dentinal tubule and the periprocedural space. The presence of interglobular dentin is not observed in areas of coronary dentin. The histomorphological pattern corresponding to dentin-predentin-pulp is arranged in a similar way to human teeth.</p><p><strong>Conclusions: </strong>Bovine dentin constitutes an ideal substrate for in vitro research work with dental biomaterials, since it presents histological characteristics similar to bovine teeth; the absence of interglobular dentin would not represent a significant difference according to what was observed in this study.</p>","PeriodicalId":33326,"journal":{"name":"Revista Cientifica Odontologica","volume":"11 4","pages":"e176"},"PeriodicalIF":0.0000,"publicationDate":"2023-12-28","publicationTypes":"Journal Article","fieldsOfStudy":null,"isOpenAccess":false,"openAccessPdf":"https://www.ncbi.nlm.nih.gov/pmc/articles/PMC10831992/pdf/","citationCount":"0","resultStr":null,"platform":"Semanticscholar","paperid":null,"PeriodicalName":"Revista Cientifica Odontologica","FirstCategoryId":"1085","ListUrlMain":"https://doi.org/10.21142/2523-2754-1104-2023-176","RegionNum":0,"RegionCategory":null,"ArticlePicture":[],"TitleCN":null,"AbstractTextCN":null,"PMCID":null,"EPubDate":"2023/10/1 0:00:00","PubModel":"eCollection","JCR":"","JCRName":"","Score":null,"Total":0}
引用次数: 0

Abstract

Objectives: Identify the histological characteristics of bovine dentin using histological technique by decalcification with Masson's Trichrome staining.

Materials and methods: This was an observational and descriptive study using units of analysis. Bovine teeth were used, which were subjected to a decalcification technique and Masson's trichrome staining. Microscopic observation and registration of the structures was carried out.

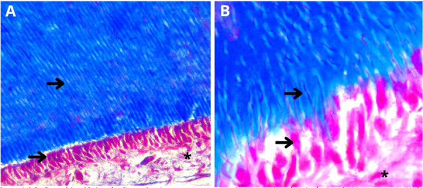
Results: In the microscopic observation of the teeth subjected to decalcification, dentin, predentin and the structural organization of the tubular and peritubular dentin were observed. The odontoblasts arranged in a palisade with the odontoblastic process included within the dentinal tubule and the periprocedural space. The presence of interglobular dentin is not observed in areas of coronary dentin. The histomorphological pattern corresponding to dentin-predentin-pulp is arranged in a similar way to human teeth.

Conclusions: Bovine dentin constitutes an ideal substrate for in vitro research work with dental biomaterials, since it presents histological characteristics similar to bovine teeth; the absence of interglobular dentin would not represent a significant difference according to what was observed in this study.

Abstract Image

Abstract Image

Abstract Image

[使用马森三色染色法观察牛牙本质的组织学特征]。
目的通过马森三色染色脱钙,利用组织学技术确定牛牙本质的组织学特征:这是一项观察性和描述性研究,采用单位分析法。研究使用牛的牙齿,对其进行脱钙技术和马森三色染色。结果:结果:在对脱钙后的牙齿进行显微观察时,观察到了牙本质、前牙本质以及管状和管周牙本质的结构组织。牙本质细胞呈垛状排列,牙本质过程包括在牙本质小管和管周空间内。在冠状牙本质区域未观察到球间牙本质的存在。牙本质-牙本质-牙髓的组织形态学排列方式与人类牙齿相似:牛牙本质是牙科生物材料体外研究工作的理想基质,因为它呈现出与牛牙相似的组织学特征;根据本研究的观察,没有球间牙本质并不代表显著差异。
本文章由计算机程序翻译,如有差异,请以英文原文为准。
求助全文
约1分钟内获得全文 求助全文
来源期刊
自引率
0.00%
发文量
43
审稿时长
20 weeks
×
引用
GB/T 7714-2015
复制
MLA
复制
APA
复制
导出至
BibTeX EndNote RefMan NoteFirst NoteExpress
×
提示
您的信息不完整,为了账户安全,请先补充。
现在去补充
×
提示
您因"违规操作"
具体请查看互助需知
我知道了
×
提示
确定
请完成安全验证×
copy
已复制链接
快去分享给好友吧!
我知道了
右上角分享
点击右上角分享
0
联系我们:info@booksci.cn Book学术提供免费学术资源搜索服务,方便国内外学者检索中英文文献。致力于提供最便捷和优质的服务体验。 Copyright © 2023 布克学术 All rights reserved.
京ICP备2023020795号-1
ghs 京公网安备 11010802042870号
Book学术文献互助
Book学术文献互助群
群 号:604180095
Book学术官方微信