Orbital apex syndrome in pediatric thyroid eye disease: a case report and literature review.

IF 3.3 Q3 ENDOCRINOLOGY & METABOLISM
Hyun Ji Jang, Ha Young Jo
{"title":"Orbital apex syndrome in pediatric thyroid eye disease: a case report and literature review.","authors":"Hyun Ji Jang, Ha Young Jo","doi":"10.6065/apem.2346118.059","DOIUrl":null,"url":null,"abstract":"","PeriodicalId":44915,"journal":{"name":"Annals of Pediatric Endocrinology & Metabolism","volume":" ","pages":"138-140"},"PeriodicalIF":3.3000,"publicationDate":"2024-04-01","publicationTypes":"Journal Article","fieldsOfStudy":null,"isOpenAccess":false,"openAccessPdf":"https://www.ncbi.nlm.nih.gov/pmc/articles/PMC11076231/pdf/","citationCount":"0","resultStr":null,"platform":"Semanticscholar","paperid":null,"PeriodicalName":"Annals of Pediatric Endocrinology & Metabolism","FirstCategoryId":"1085","ListUrlMain":"https://doi.org/10.6065/apem.2346118.059","RegionNum":0,"RegionCategory":null,"ArticlePicture":[],"TitleCN":null,"AbstractTextCN":null,"PMCID":null,"EPubDate":"2024/1/29 0:00:00","PubModel":"Epub","JCR":"Q3","JCRName":"ENDOCRINOLOGY & METABOLISM","Score":null,"Total":0}
引用次数: 0

Abstract Image

Abstract Image

小儿甲状腺眼病的眶顶综合征:病例报告和文献综述
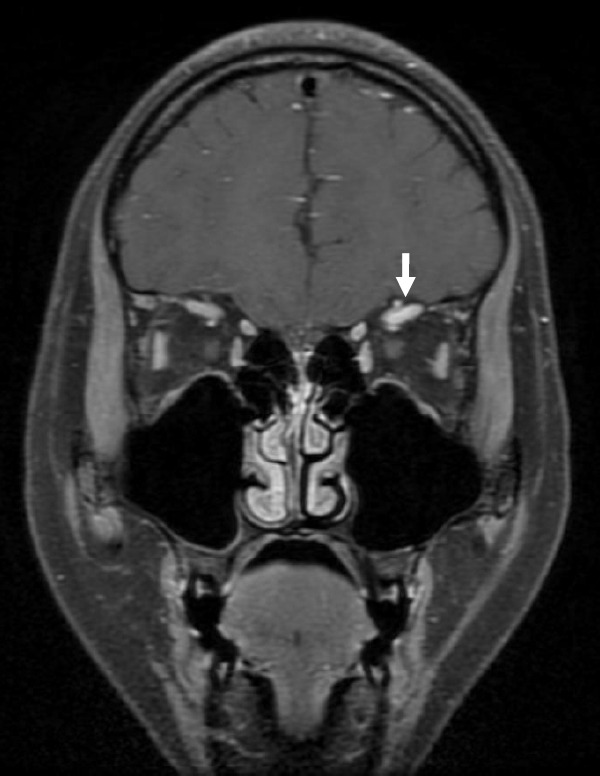
甲状腺眼病是一种自身免疫性疾病,临床表现包括眼睑后缩、突眼、视力下降和斜视,发病率为每10万名儿童中0.79至6.5例。甲状腺眼病在儿童中的发病率为每10万名儿童中0.79至6.5例。虽然报告很少,但发现儿童甲状腺眼病的症状与成人相似,但通常较轻。一名17岁女孩出现复视和左前额感觉减退。其他临床症状包括左眼视力轻度下降、眼球活动受限、上睑下垂和眼睑水肿。根据包括甲状腺功能检查在内的血液检查结果,诊断为巴塞杜氏病,并推测巴塞杜氏病的并发症是甲状腺眼病引起的眶顶综合征,其特点是累及颅神经II、III、IV和VI以及颅神经V的眼部分支。据我们所知,这是首例描述小儿甲状腺眼病眼眶顶综合征的报告,所提供的数据将有助于今后分析非典型小儿甲状腺眼病的临床特征。
本文章由计算机程序翻译,如有差异,请以英文原文为准。
求助全文
约1分钟内获得全文 求助全文
来源期刊
CiteScore
4.00
自引率
18.20%
发文量
59
审稿时长
24 weeks
期刊介绍: The Annals of Pediatric Endocrinology & Metabolism Journal is the official publication of the Korean Society of Pediatric Endocrinology. Its formal abbreviated title is “Ann Pediatr Endocrinol Metab”. It is a peer-reviewed open access journal of medicine published in English. The journal was launched in 1996 under the title of ‘Journal of Korean Society of Pediatric Endocrinology’ until 2011 (pISSN 1226-2242). Since 2012, the title is now changed to ‘Annals of Pediatric Endocrinology & Metabolism’. The Journal is published four times per year on the last day of March, June, September, and December. It is widely distributed for free to members of the Korean Society of Pediatric Endocrinology, medical schools, libraries, and academic institutions. The journal is indexed/tracked/covered by web sites of PubMed Central, PubMed, Emerging Sources Citation Index (ESCI), Scopus, EBSCO, EMBASE, KoreaMed, KoMCI, KCI, Science Central, DOI/CrossRef, Directory of Open Access Journals(DOAJ), and Google Scholar. The aims of Annals of Pediatric Endocrinology & Metabolism are to contribute to the advancements in the fields of pediatric endocrinology & metabolism through the scientific reviews and interchange of all of pediatric endocrinology and metabolism. It aims to reflect the latest clinical, translational, and basic research trends from worldwide valuable achievements. In addition, genome research, epidemiology, public education and clinical practice guidelines in each country are welcomed for publication. The Journal particularly focuses on research conducted with Asian-Pacific children whose genetic and environmental backgrounds are different from those of the Western. Area of specific interest include the following : Growth, puberty, glucose metabolism including diabetes mellitus, obesity, nutrition, disorders of sexual development, pituitary, thyroid, parathyroid, adrenal cortex, bone or other endocrine and metabolic disorders from infancy through adolescence.
×
引用
GB/T 7714-2015
复制
MLA
复制
APA
复制
导出至
BibTeX EndNote RefMan NoteFirst NoteExpress
×
提示
您的信息不完整,为了账户安全,请先补充。
现在去补充
×
提示
您因"违规操作"
具体请查看互助需知
我知道了
×
提示
确定
请完成安全验证×
copy
已复制链接
快去分享给好友吧!
我知道了
右上角分享
点击右上角分享
0
联系我们:info@booksci.cn Book学术提供免费学术资源搜索服务,方便国内外学者检索中英文文献。致力于提供最便捷和优质的服务体验。 Copyright © 2023 布克学术 All rights reserved.
京ICP备2023020795号-1
ghs 京公网安备 11010802042870号
Book学术文献互助
Book学术文献互助群
群 号:604180095
Book学术官方微信