Seizures, Psychosis, and Cerebral Vascular Malformation: A Rare Chain of Events.

Q4 Medicine
Case Reports in Psychiatry Pub Date : 2024-01-22 eCollection Date: 2024-01-01 DOI:10.1155/2024/8656715
Ismail Hanine, Khadija Benallel, Roukaya Benjelloun, Mohamed Kadiri
{"title":"Seizures, Psychosis, and Cerebral Vascular Malformation: A Rare Chain of Events.","authors":"Ismail Hanine, Khadija Benallel, Roukaya Benjelloun, Mohamed Kadiri","doi":"10.1155/2024/8656715","DOIUrl":null,"url":null,"abstract":"<p><strong>Background: </strong>In psychiatry, anatomical abnormalities are sometimes forgotten, and this can mislead doctors into thinking that the diagnosis is purely psychiatric. A physical examination is important whenever it is possible. Even though cerebral arteriovenous malformations (cAVMs) are rare and can go unnoticed, in some cases they can cause clinical symptoms, which is a complication. <i>Case Presentation</i>. In this case, we describe a patient with no prior medical or psychiatric history having a cAVM diagnosed after showing psychotic symptoms (delusion and disorganized thoughts and behavior). The deep 4 × 5 cm cAVM was discovered after admitting the patient to psychiatric ward, the neurological cause has been considered after a recorded seizure, which brings the following question: Is the clinical presentation a direct result of the cAVM or is it postictal?</p><p><strong>Conclusions: </strong>An abnormality leading to another, here is how we could describe our patient's psychopathology leading to psychotic symptoms. The two hypotheses explaining this case report have a low rate of occurring making this a rare case. Either way, neurological cause cannot be overlooked even if the clinical presentation is typical.</p>","PeriodicalId":9631,"journal":{"name":"Case Reports in Psychiatry","volume":"2024 ","pages":"8656715"},"PeriodicalIF":0.0000,"publicationDate":"2024-01-22","publicationTypes":"Journal Article","fieldsOfStudy":null,"isOpenAccess":false,"openAccessPdf":"https://www.ncbi.nlm.nih.gov/pmc/articles/PMC10824577/pdf/","citationCount":"0","resultStr":null,"platform":"Semanticscholar","paperid":null,"PeriodicalName":"Case Reports in Psychiatry","FirstCategoryId":"1085","ListUrlMain":"https://doi.org/10.1155/2024/8656715","RegionNum":0,"RegionCategory":null,"ArticlePicture":[],"TitleCN":null,"AbstractTextCN":null,"PMCID":null,"EPubDate":"2024/1/1 0:00:00","PubModel":"eCollection","JCR":"Q4","JCRName":"Medicine","Score":null,"Total":0}
引用次数: 0

Abstract

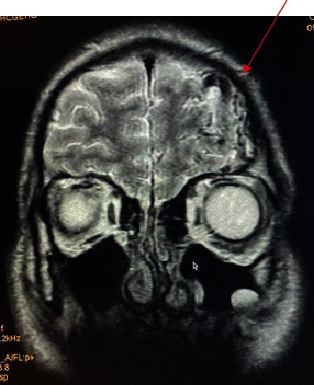
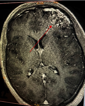
Background: In psychiatry, anatomical abnormalities are sometimes forgotten, and this can mislead doctors into thinking that the diagnosis is purely psychiatric. A physical examination is important whenever it is possible. Even though cerebral arteriovenous malformations (cAVMs) are rare and can go unnoticed, in some cases they can cause clinical symptoms, which is a complication. Case Presentation. In this case, we describe a patient with no prior medical or psychiatric history having a cAVM diagnosed after showing psychotic symptoms (delusion and disorganized thoughts and behavior). The deep 4 × 5 cm cAVM was discovered after admitting the patient to psychiatric ward, the neurological cause has been considered after a recorded seizure, which brings the following question: Is the clinical presentation a direct result of the cAVM or is it postictal?

Conclusions: An abnormality leading to another, here is how we could describe our patient's psychopathology leading to psychotic symptoms. The two hypotheses explaining this case report have a low rate of occurring making this a rare case. Either way, neurological cause cannot be overlooked even if the clinical presentation is typical.

Abstract Image

Abstract Image

Abstract Image

癫痫发作、精神病和脑血管畸形:罕见的事件链
背景:在精神病学中,解剖学上的异常有时会被遗忘,这可能会误导医生认为诊断结果纯粹是精神病学上的。在可能的情况下,体格检查非常重要。尽管脑动静脉畸形(cAVMs)非常罕见,可能会被忽视,但在某些情况下,它们会引起临床症状,这是一种并发症。病例介绍。在本病例中,我们描述了一名既往无病史或精神病史的患者,在出现精神症状(妄想、思维和行为紊乱)后被诊断出患有脑动静脉畸形。深达 4 × 5 厘米的腔隙瘤是在将患者送入精神科病房后发现的,在记录到一次癫痫发作后考虑到了神经原因,这就带来了以下问题:临床表现是海绵状血管瘤的直接结果,还是发作后的结果?一种异常导致另一种异常,这就是我们对患者精神病理学导致精神症状的描述。本病例报告中的两种假说发生率都很低,因此是一个罕见病例。无论如何,即使临床表现典型,也不能忽视神经系统原因。
本文章由计算机程序翻译,如有差异,请以英文原文为准。
求助全文
约1分钟内获得全文 求助全文
来源期刊
Case Reports in Psychiatry
Case Reports in Psychiatry Medicine-Psychiatry and Mental Health
CiteScore
1.00
自引率
0.00%
发文量
49
审稿时长
12 weeks
×
引用
GB/T 7714-2015
复制
MLA
复制
APA
复制
导出至
BibTeX EndNote RefMan NoteFirst NoteExpress
×
提示
您的信息不完整,为了账户安全,请先补充。
现在去补充
×
提示
您因"违规操作"
具体请查看互助需知
我知道了
×
提示
确定
请完成安全验证×
copy
已复制链接
快去分享给好友吧!
我知道了
右上角分享
点击右上角分享
0
联系我们:info@booksci.cn Book学术提供免费学术资源搜索服务,方便国内外学者检索中英文文献。致力于提供最便捷和优质的服务体验。 Copyright © 2023 布克学术 All rights reserved.
京ICP备2023020795号-1
ghs 京公网安备 11010802042870号
Book学术文献互助
Book学术文献互助群
群 号:604180095
Book学术官方微信