Acute Toxicity and Antioxidant and Antibacterial Activities of Kyllinga polyphylla Willd. ex Kunth, Cyperaceae Family.

IF 3 Q2 TOXICOLOGY
Journal of Toxicology Pub Date : 2024-01-18 eCollection Date: 2024-01-01 DOI:10.1155/2024/3543828
Van-Ay Nguyen, Thi-Hang Phung, Thi-Diem-Trang Kieu, Trong-Hong-Phuc Nguyen
{"title":"Acute Toxicity and Antioxidant and Antibacterial Activities of <i>Kyllinga polyphylla</i> Willd. ex Kunth, Cyperaceae Family.","authors":"Van-Ay Nguyen, Thi-Hang Phung, Thi-Diem-Trang Kieu, Trong-Hong-Phuc Nguyen","doi":"10.1155/2024/3543828","DOIUrl":null,"url":null,"abstract":"<p><p><i>Kyllinga polyphylla</i> Willd. ex Kunth. (KP) is a wild herb commonly distributed in the Mekong Delta, Vietnam. This study was carried out to evaluate the antibacterial and antioxidant activities and acute toxicity of KP before conducting studies at the in vivo level. All parts of KP had the free radical scavenging capacity of DPPH, in which the root methanol extract had the best antioxidant capacity (EC<sub>50</sub> = 9.54 ± 0.37 <i>μ</i>g/mL). Most of the extracts had a wide range of antibacterial spectra. The methanol and ethanol extracts (200 mg/mL) have ability to resist eight common bacterial strains (including <i>Staphylococcus aureus</i>, <i>Listeria innocua</i>, <i>Bacillus subtilis</i>, <i>Bacillus cereus</i>, <i>Escherichia coli</i>, <i>Salmonella</i> sp., <i>Pseudomonas aeruginosa</i>, and <i>Enterococcus faecalis</i>), which is equivalent to the antibacterial activity of amoxicillin and tetracycline at a concentration of 1 mg/mL. KP extracts did not cause death at a dose of 5000 mg/kg body weight and did not significantly change the biochemical, hematological, as well as histological structures of internal organs in toxicity-tested mice in comparison with the control. The research results showed that KP should be more interested in research that supports disease treatment, synthetic extraction of antibiotics, or other in vivo studies.</p>","PeriodicalId":17421,"journal":{"name":"Journal of Toxicology","volume":"2024 ","pages":"3543828"},"PeriodicalIF":3.0000,"publicationDate":"2024-01-18","publicationTypes":"Journal Article","fieldsOfStudy":null,"isOpenAccess":false,"openAccessPdf":"https://www.ncbi.nlm.nih.gov/pmc/articles/PMC10810696/pdf/","citationCount":"0","resultStr":null,"platform":"Semanticscholar","paperid":null,"PeriodicalName":"Journal of Toxicology","FirstCategoryId":"3","ListUrlMain":"https://doi.org/10.1155/2024/3543828","RegionNum":0,"RegionCategory":null,"ArticlePicture":[],"TitleCN":null,"AbstractTextCN":null,"PMCID":null,"EPubDate":"2024/1/1 0:00:00","PubModel":"eCollection","JCR":"Q2","JCRName":"TOXICOLOGY","Score":null,"Total":0}
引用次数: 0

Abstract

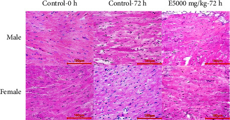
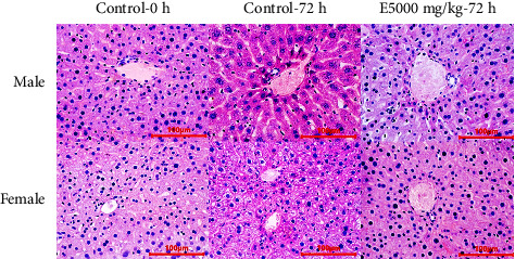
Kyllinga polyphylla Willd. ex Kunth. (KP) is a wild herb commonly distributed in the Mekong Delta, Vietnam. This study was carried out to evaluate the antibacterial and antioxidant activities and acute toxicity of KP before conducting studies at the in vivo level. All parts of KP had the free radical scavenging capacity of DPPH, in which the root methanol extract had the best antioxidant capacity (EC50 = 9.54 ± 0.37 μg/mL). Most of the extracts had a wide range of antibacterial spectra. The methanol and ethanol extracts (200 mg/mL) have ability to resist eight common bacterial strains (including Staphylococcus aureus, Listeria innocua, Bacillus subtilis, Bacillus cereus, Escherichia coli, Salmonella sp., Pseudomonas aeruginosa, and Enterococcus faecalis), which is equivalent to the antibacterial activity of amoxicillin and tetracycline at a concentration of 1 mg/mL. KP extracts did not cause death at a dose of 5000 mg/kg body weight and did not significantly change the biochemical, hematological, as well as histological structures of internal organs in toxicity-tested mice in comparison with the control. The research results showed that KP should be more interested in research that supports disease treatment, synthetic extraction of antibiotics, or other in vivo studies.

Abstract Image

Abstract Image

Abstract Image

香柏科植物 Kyllinga polyphylla Willd.
Kyllinga polyphylla Willd. ex Kunth.(KP)是一种常见于越南湄公河三角洲的野生草本植物。本研究旨在评估 KP 的抗菌、抗氧化活性和急性毒性,然后再进行体内研究。KP 的所有部分都具有清除 DPPH 自由基的能力,其中根部甲醇提取物的抗氧化能力最强(EC50 = 9.54 ± 0.37 μg/mL)。大多数提取物的抗菌谱范围很广。甲醇和乙醇提取物(200 毫克/毫升)具有抵抗八种常见细菌菌株(包括金黄色葡萄球菌、无毒李斯特菌、枯草芽孢杆菌、蜡样芽孢杆菌、大肠杆菌、沙门氏菌、铜绿假单胞菌和粪肠球菌)的能力,相当于阿莫西林和四环素在 1 毫克/毫升浓度下的抗菌活性。与对照组相比,5000 毫克/千克体重剂量的 KP 提取物不会导致毒性试验小鼠死亡,也不会显著改变毒性试验小鼠内脏器官的生化、血液学和组织学结构。研究结果表明,在支持疾病治疗、合成提取抗生素或其他体内研究方面,KP 应受到更多关注。
本文章由计算机程序翻译,如有差异,请以英文原文为准。
求助全文
约1分钟内获得全文 求助全文
来源期刊
Journal of Toxicology
Journal of Toxicology TOXICOLOGY-
CiteScore
5.50
自引率
3.40%
发文量
0
审稿时长
10 weeks
期刊介绍: Journal of Toxicology is a peer-reviewed, Open Access journal that publishes original research articles, review articles, and clinical studies in all areas of toxicological sciences. The journal will consider articles looking at the structure, function, and mechanism of agents that are toxic to humans and/or animals, as well as toxicological medicine, risk assessment, safety evaluation, and environmental health.
×
引用
GB/T 7714-2015
复制
MLA
复制
APA
复制
导出至
BibTeX EndNote RefMan NoteFirst NoteExpress
×
提示
您的信息不完整,为了账户安全,请先补充。
现在去补充
×
提示
您因"违规操作"
具体请查看互助需知
我知道了
×
提示
确定
请完成安全验证×
copy
已复制链接
快去分享给好友吧!
我知道了
右上角分享
点击右上角分享
0
联系我们:info@booksci.cn Book学术提供免费学术资源搜索服务,方便国内外学者检索中英文文献。致力于提供最便捷和优质的服务体验。 Copyright © 2023 布克学术 All rights reserved.
京ICP备2023020795号-1
ghs 京公网安备 11010802042870号
Book学术文献互助
Book学术文献互助群
群 号:604180095
Book学术官方微信