Rare Case of a Patient With Erdheim-Chester Disease Presenting With Atypical Breast Involvement.

IF 2.4 4区 医学 Q3 ONCOLOGY
Journal of Breast Cancer Pub Date : 2024-04-01 Epub Date: 2024-01-18 DOI:10.4048/jbc.2023.0111
Flavia Sprenger, Alana Gomes Pecorari, Valmir Vicente Filho, Sofia Tokars Kluppel, Ana Carolina Staats
{"title":"Rare Case of a Patient With Erdheim-Chester Disease Presenting With Atypical Breast Involvement.","authors":"Flavia Sprenger, Alana Gomes Pecorari, Valmir Vicente Filho, Sofia Tokars Kluppel, Ana Carolina Staats","doi":"10.4048/jbc.2023.0111","DOIUrl":null,"url":null,"abstract":"<p><p>Erdheim-Chester disease (ECD) is a rare multisystem disorder characterized by mitogen-activated protein kinase (MAPK) pathway mutations. Herein, we present a unique case of ECD in a 79-year-old female with predominant breast nodules. Comprehensive imaging and histopathological evaluations confirmed the diagnosis. Mammography and ultrasonography revealed multiple hyperdense circumscribed nodules with coalescing masses and blurred margins. Core biopsy revealed infiltrating foamy cluster of differentiation (CD) 68+ and CD1a+ histiocytes. Because the tumor was negative for the <i>BRAF</i> V600E mutation, treatment with interferon-α was initiated. This case highlights the diagnostic challenges associated with ECD, the rarity of breast involvement, and the importance of considering ECD in the differential diagnosis of atypical breast lesions. Comprehensive imaging, histopathology, and genetic testing are essential for accurate diagnosis and treatment decision-making in ECD. Further research and awareness are required to improve recognition and management of this rare disease.</p>","PeriodicalId":15206,"journal":{"name":"Journal of Breast Cancer","volume":" ","pages":"141-146"},"PeriodicalIF":2.4000,"publicationDate":"2024-04-01","publicationTypes":"Journal Article","fieldsOfStudy":null,"isOpenAccess":false,"openAccessPdf":"https://www.ncbi.nlm.nih.gov/pmc/articles/PMC11065496/pdf/","citationCount":"0","resultStr":null,"platform":"Semanticscholar","paperid":null,"PeriodicalName":"Journal of Breast Cancer","FirstCategoryId":"3","ListUrlMain":"https://doi.org/10.4048/jbc.2023.0111","RegionNum":4,"RegionCategory":"医学","ArticlePicture":[],"TitleCN":null,"AbstractTextCN":null,"PMCID":null,"EPubDate":"2024/1/18 0:00:00","PubModel":"Epub","JCR":"Q3","JCRName":"ONCOLOGY","Score":null,"Total":0}
引用次数: 0

Abstract

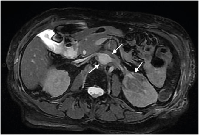
Erdheim-Chester disease (ECD) is a rare multisystem disorder characterized by mitogen-activated protein kinase (MAPK) pathway mutations. Herein, we present a unique case of ECD in a 79-year-old female with predominant breast nodules. Comprehensive imaging and histopathological evaluations confirmed the diagnosis. Mammography and ultrasonography revealed multiple hyperdense circumscribed nodules with coalescing masses and blurred margins. Core biopsy revealed infiltrating foamy cluster of differentiation (CD) 68+ and CD1a+ histiocytes. Because the tumor was negative for the BRAF V600E mutation, treatment with interferon-α was initiated. This case highlights the diagnostic challenges associated with ECD, the rarity of breast involvement, and the importance of considering ECD in the differential diagnosis of atypical breast lesions. Comprehensive imaging, histopathology, and genetic testing are essential for accurate diagnosis and treatment decision-making in ECD. Further research and awareness are required to improve recognition and management of this rare disease.

Abstract Image

Abstract Image

Abstract Image

以非典型乳腺受累为表现的埃尔德海姆-切斯特氏病罕见病例
埃尔德海姆-切斯特病(Erdheim-Chester disease,ECD)是一种罕见的多系统疾病,以丝裂原活化蛋白激酶(MAPK)通路突变为特征。在此,我们介绍了一例独特的埃尔德海姆-切斯特病病例,患者为一名 79 岁女性,以乳腺结节为主。综合影像学和组织病理学评估证实了诊断结果。乳腺造影和超声检查发现多发高密度环形结节,肿块凝聚,边缘模糊。核心活检发现浸润性泡沫状 CD68+ 和 CD1a+ 组织细胞。由于肿瘤的 BRAF V600E 突变为阴性,因此开始使用干扰素-α 进行治疗。该病例凸显了与 ECD 相关的诊断难题、乳腺受累的罕见性,以及在乳腺非典型病变的鉴别诊断中考虑 ECD 的重要性。全面的影像学、组织病理学和基因检测对于 ECD 的准确诊断和治疗决策至关重要。要提高对这种罕见疾病的认识和管理,还需要进一步的研究和认识。
本文章由计算机程序翻译,如有差异,请以英文原文为准。
求助全文
约1分钟内获得全文 求助全文
来源期刊
Journal of Breast Cancer
Journal of Breast Cancer 医学-肿瘤学
CiteScore
3.80
自引率
4.20%
发文量
43
审稿时长
6-12 weeks
期刊介绍: The Journal of Breast Cancer (abbreviated as ''J Breast Cancer'') is the official journal of the Korean Breast Cancer Society, which is issued quarterly in the last day of March, June, September, and December each year since 1998. All the contents of the Journal is available online at the official journal website (http://ejbc.kr) under open access policy. The journal aims to provide a forum for the academic communication between medical doctors, basic science researchers, and health care professionals to be interested in breast cancer. To get this aim, we publish original investigations, review articles, brief communications including case reports, editorial opinions on the topics of importance to breast cancer, and welcome new research findings and epidemiological studies, especially when they contain a regional data to grab the international reader''s interest. Although the journal is mainly dealing with the issues of breast cancer, rare cases among benign breast diseases or evidence-based scientifically written articles providing useful information for clinical practice can be published as well.
×
引用
GB/T 7714-2015
复制
MLA
复制
APA
复制
导出至
BibTeX EndNote RefMan NoteFirst NoteExpress
×
提示
您的信息不完整,为了账户安全,请先补充。
现在去补充
×
提示
您因"违规操作"
具体请查看互助需知
我知道了
×
提示
确定
请完成安全验证×
copy
已复制链接
快去分享给好友吧!
我知道了
右上角分享
点击右上角分享
0
联系我们:info@booksci.cn Book学术提供免费学术资源搜索服务,方便国内外学者检索中英文文献。致力于提供最便捷和优质的服务体验。 Copyright © 2023 布克学术 All rights reserved.
京ICP备2023020795号-1
ghs 京公网安备 11010802042870号
Book学术文献互助
Book学术文献互助群
群 号:604180095
Book学术官方微信