The relative isoform expression levels of isocitrate dehydrogenase in breast cancer: IDH2 is a potential target in MDA-MB-231 cells.

Korean journal of clinical oncology Pub Date : 2023-12-01 Epub Date: 2023-12-31 DOI:10.14216/kjco.23011
Shuyu Piao, Seonhee Kim, Youngduk Seo, Jinsun Lee, Sunhee Jeon, Giang-Huong Vu, Min-Kyung Yeo, Cuk-Seong Kim
{"title":"The relative isoform expression levels of isocitrate dehydrogenase in breast cancer: IDH2 is a potential target in MDA-MB-231 cells.","authors":"Shuyu Piao, Seonhee Kim, Youngduk Seo, Jinsun Lee, Sunhee Jeon, Giang-Huong Vu, Min-Kyung Yeo, Cuk-Seong Kim","doi":"10.14216/kjco.23011","DOIUrl":null,"url":null,"abstract":"<p><strong>Purpose: </strong>The isocitrate dehydrogenase (IDH) family plays an essential role in metabolism and energy production. The relative expression levels of IDH isoforms (IDH1, IDH2, and IDH3) have prognostic significance in several malignancies, including breast carcinoma. However, the IDH isozyme expression levels in different cancer stages and types have not been determined in breast carcinoma tissues.</p><p><strong>Methods: </strong>We analyzed the messenger RNA (mRNA) and protein levels of IDH (IDH1, IDH2, and IDH3A) and α-ketoglutarate (α-KG) in 59 breast carcinoma tissues.</p><p><strong>Results: </strong>The mRNA level of IDH2 was significantly increased at stages 2 and 3 in triple-negative and (ER-/PR-/HER+) breast cancers. However, the elevated α-KG level was only observed in stages 2 and 3, with no differences in the various breast carcinoma types. Western blotting analysis showed that IDH2 protein expression increased in the patient tissues and cell lines. An in vitro study showed IDH2 downregulation in the triple-negative breast cancer cell line MDA-MB-231 that inhibited cell proliferation and migration and induced cell cycle arrest in the G0/G1 phase.</p><p><strong>Conclusion: </strong>These findings suggest that different from IDH1 and IDH3, IDH2 is more highly expressed in stages 2 and 3 breast cancer tissues, especially in triple-negative breast cancer. IDH2 potentially serves as a target to detect unknown mechanisms in breast cancer.</p>","PeriodicalId":74045,"journal":{"name":"Korean journal of clinical oncology","volume":"19 2","pages":"60-68"},"PeriodicalIF":0.0000,"publicationDate":"2023-12-01","publicationTypes":"Journal Article","fieldsOfStudy":null,"isOpenAccess":false,"openAccessPdf":"https://www.ncbi.nlm.nih.gov/pmc/articles/PMC10792364/pdf/","citationCount":"0","resultStr":null,"platform":"Semanticscholar","paperid":null,"PeriodicalName":"Korean journal of clinical oncology","FirstCategoryId":"1085","ListUrlMain":"https://doi.org/10.14216/kjco.23011","RegionNum":0,"RegionCategory":null,"ArticlePicture":[],"TitleCN":null,"AbstractTextCN":null,"PMCID":null,"EPubDate":"2023/12/31 0:00:00","PubModel":"Epub","JCR":"","JCRName":"","Score":null,"Total":0}
引用次数: 0

Abstract

Purpose: The isocitrate dehydrogenase (IDH) family plays an essential role in metabolism and energy production. The relative expression levels of IDH isoforms (IDH1, IDH2, and IDH3) have prognostic significance in several malignancies, including breast carcinoma. However, the IDH isozyme expression levels in different cancer stages and types have not been determined in breast carcinoma tissues.

Methods: We analyzed the messenger RNA (mRNA) and protein levels of IDH (IDH1, IDH2, and IDH3A) and α-ketoglutarate (α-KG) in 59 breast carcinoma tissues.

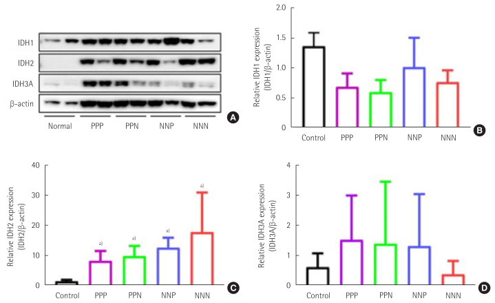
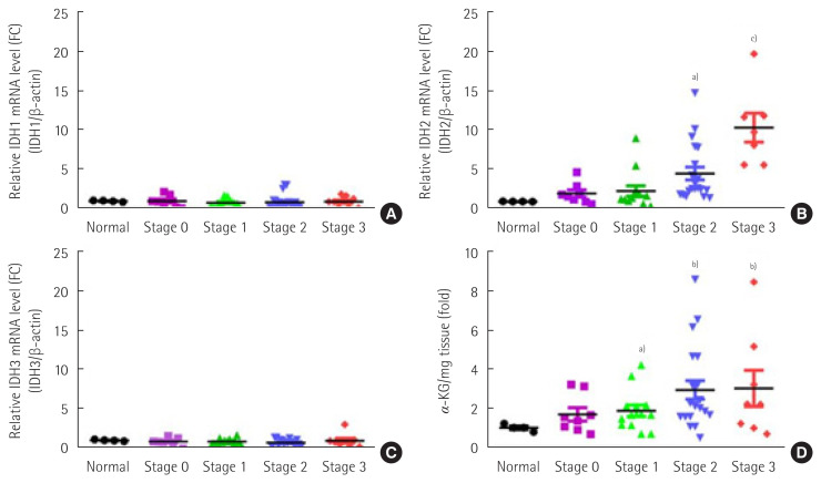
Results: The mRNA level of IDH2 was significantly increased at stages 2 and 3 in triple-negative and (ER-/PR-/HER+) breast cancers. However, the elevated α-KG level was only observed in stages 2 and 3, with no differences in the various breast carcinoma types. Western blotting analysis showed that IDH2 protein expression increased in the patient tissues and cell lines. An in vitro study showed IDH2 downregulation in the triple-negative breast cancer cell line MDA-MB-231 that inhibited cell proliferation and migration and induced cell cycle arrest in the G0/G1 phase.

Conclusion: These findings suggest that different from IDH1 and IDH3, IDH2 is more highly expressed in stages 2 and 3 breast cancer tissues, especially in triple-negative breast cancer. IDH2 potentially serves as a target to detect unknown mechanisms in breast cancer.

Abstract Image

Abstract Image

Abstract Image

乳腺癌中异柠檬酸脱氢酶的相对同工酶表达水平:IDH2 是 MDA-MB-231 细胞的潜在靶点。
目的:异柠檬酸脱氢酶(IDH)家族在新陈代谢和能量生产中发挥着重要作用。IDH 同工酶(IDH1、IDH2 和 IDH3)的相对表达水平对包括乳腺癌在内的多种恶性肿瘤的预后具有重要意义。然而,乳腺癌组织中不同癌症分期和类型的 IDH 同工酶表达水平尚未确定:方法:我们分析了 59 例乳腺癌组织中 IDH(IDH1、IDH2 和 IDH3A)和α-酮戊二酸(α-KG)的信使 RNA(mRNA)和蛋白水平:结果:在三阴性乳腺癌和(ER-/PR-/HER+)乳腺癌中,IDH2的mRNA水平在2期和3期明显升高。然而,α-KG水平的升高只出现在2期和3期,在不同类型的乳腺癌中没有差异。Western 印迹分析显示,患者组织和细胞系中的 IDH2 蛋白表达增加。一项体外研究显示,IDH2 在三阴性乳腺癌细胞株 MDA-MB-231 中的下调抑制了细胞的增殖和迁移,并诱导细胞周期停滞在 G0/G1 期:这些研究结果表明,与IDH1和IDH3不同,IDH2在2期和3期乳腺癌组织中的表达量更高,尤其是在三阴性乳腺癌中。IDH2有可能成为检测乳腺癌未知机制的靶点。
本文章由计算机程序翻译,如有差异,请以英文原文为准。
求助全文
约1分钟内获得全文 求助全文
来源期刊
自引率
0.00%
发文量
0
×
引用
GB/T 7714-2015
复制
MLA
复制
APA
复制
导出至
BibTeX EndNote RefMan NoteFirst NoteExpress
×
提示
您的信息不完整,为了账户安全,请先补充。
现在去补充
×
提示
您因"违规操作"
具体请查看互助需知
我知道了
×
提示
确定
请完成安全验证×
copy
已复制链接
快去分享给好友吧!
我知道了
右上角分享
点击右上角分享
0
联系我们:info@booksci.cn Book学术提供免费学术资源搜索服务,方便国内外学者检索中英文文献。致力于提供最便捷和优质的服务体验。 Copyright © 2023 布克学术 All rights reserved.
京ICP备2023020795号-1
ghs 京公网安备 11010802042870号
Book学术文献互助
Book学术文献互助群
群 号:604180095
Book学术官方微信