Extraosseous Ewing sarcoma of the pancreas: a case report.

Korean journal of clinical oncology Pub Date : 2023-12-01 Epub Date: 2023-12-31 DOI:10.14216/kjco.23012
Neslihan Nisa Gecici, Vedat Burkay Camurdan, Mai Al Khatalin, Onur Yildirim
{"title":"Extraosseous Ewing sarcoma of the pancreas: a case report.","authors":"Neslihan Nisa Gecici, Vedat Burkay Camurdan, Mai Al Khatalin, Onur Yildirim","doi":"10.14216/kjco.23012","DOIUrl":null,"url":null,"abstract":"<p><p>Extraosseous Ewing sarcoma is a rare and aggressive malignancy belonging to the Ewing sarcoma family of tumors, primarily affecting soft tissues such as the pelvis, retroperitoneum, and chest wall. Although it predominantly involves these soft tissues, extraosseous Ewing sarcoma can also occur in solid organs, including the pancreas. Here, we present a rare case of a 4-year-old girl diagnosed with primary extraosseous Ewing sarcoma of the pancreas.</p>","PeriodicalId":74045,"journal":{"name":"Korean journal of clinical oncology","volume":"19 2","pages":"69-72"},"PeriodicalIF":0.0000,"publicationDate":"2023-12-01","publicationTypes":"Journal Article","fieldsOfStudy":null,"isOpenAccess":false,"openAccessPdf":"https://www.ncbi.nlm.nih.gov/pmc/articles/PMC10792368/pdf/","citationCount":"0","resultStr":null,"platform":"Semanticscholar","paperid":null,"PeriodicalName":"Korean journal of clinical oncology","FirstCategoryId":"1085","ListUrlMain":"https://doi.org/10.14216/kjco.23012","RegionNum":0,"RegionCategory":null,"ArticlePicture":[],"TitleCN":null,"AbstractTextCN":null,"PMCID":null,"EPubDate":"2023/12/31 0:00:00","PubModel":"Epub","JCR":"","JCRName":"","Score":null,"Total":0}
引用次数: 0

Abstract

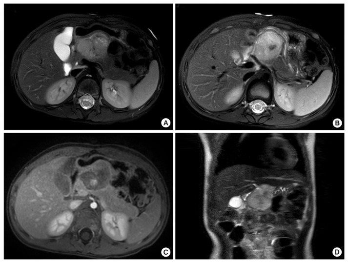
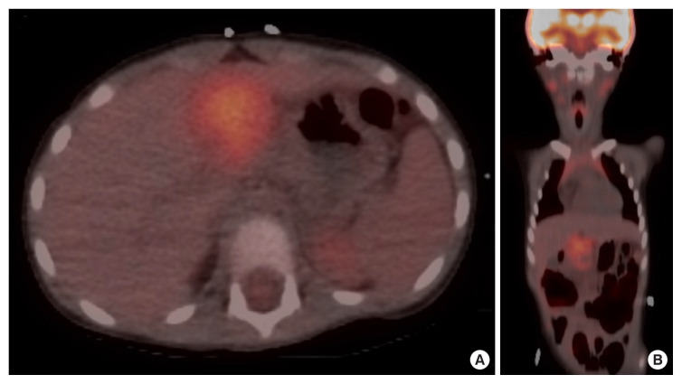
Extraosseous Ewing sarcoma is a rare and aggressive malignancy belonging to the Ewing sarcoma family of tumors, primarily affecting soft tissues such as the pelvis, retroperitoneum, and chest wall. Although it predominantly involves these soft tissues, extraosseous Ewing sarcoma can also occur in solid organs, including the pancreas. Here, we present a rare case of a 4-year-old girl diagnosed with primary extraosseous Ewing sarcoma of the pancreas.

Abstract Image

Abstract Image

胰腺骨外尤文肉瘤:病例报告。
骨外尤文肉瘤是一种罕见的侵袭性恶性肿瘤,属于尤文肉瘤家族肿瘤,主要侵犯骨盆、腹膜后和胸壁等软组织。虽然骨外尤文肉瘤主要累及这些软组织,但也可发生在包括胰腺在内的实体器官中。这里,我们介绍一例罕见病例,患者是一名 4 岁女孩,被诊断为原发性胰腺骨外尤文肉瘤。
本文章由计算机程序翻译,如有差异,请以英文原文为准。
求助全文
约1分钟内获得全文 求助全文
来源期刊
自引率
0.00%
发文量
0
×
引用
GB/T 7714-2015
复制
MLA
复制
APA
复制
导出至
BibTeX EndNote RefMan NoteFirst NoteExpress
×
提示
您的信息不完整,为了账户安全,请先补充。
现在去补充
×
提示
您因"违规操作"
具体请查看互助需知
我知道了
×
提示
确定
请完成安全验证×
copy
已复制链接
快去分享给好友吧!
我知道了
右上角分享
点击右上角分享
0
联系我们:info@booksci.cn Book学术提供免费学术资源搜索服务,方便国内外学者检索中英文文献。致力于提供最便捷和优质的服务体验。 Copyright © 2023 布克学术 All rights reserved.
京ICP备2023020795号-1
ghs 京公网安备 11010802042870号
Book学术文献互助
Book学术文献互助群
群 号:604180095
Book学术官方微信