Correction to 'Translation reprogramming by eIF3 linked to glioblastoma resistance'.

IF 3.2 Q2 BIOCHEMISTRY & MOLECULAR BIOLOGY
NAR cancer Pub Date : 2024-01-15 eCollection Date: 2024-03-01 DOI:10.1093/narcan/zcae001
{"title":"Correction to 'Translation reprogramming by eIF3 linked to glioblastoma resistance'.","authors":"","doi":"10.1093/narcan/zcae001","DOIUrl":null,"url":null,"abstract":"<p><p>[This corrects the article DOI: 10.1093/nar/zcaa020.].</p>","PeriodicalId":94149,"journal":{"name":"NAR cancer","volume":"6 1","pages":"zcae001"},"PeriodicalIF":3.2000,"publicationDate":"2024-01-15","publicationTypes":"Journal Article","fieldsOfStudy":null,"isOpenAccess":false,"openAccessPdf":"https://www.ncbi.nlm.nih.gov/pmc/articles/PMC10789247/pdf/","citationCount":"0","resultStr":null,"platform":"Semanticscholar","paperid":null,"PeriodicalName":"NAR cancer","FirstCategoryId":"1085","ListUrlMain":"https://doi.org/10.1093/narcan/zcae001","RegionNum":0,"RegionCategory":null,"ArticlePicture":[],"TitleCN":null,"AbstractTextCN":null,"PMCID":null,"EPubDate":"2024/3/1 0:00:00","PubModel":"eCollection","JCR":"Q2","JCRName":"BIOCHEMISTRY & MOLECULAR BIOLOGY","Score":null,"Total":0}
引用次数: 0

Abstract

[This corrects the article DOI: 10.1093/nar/zcaa020.].

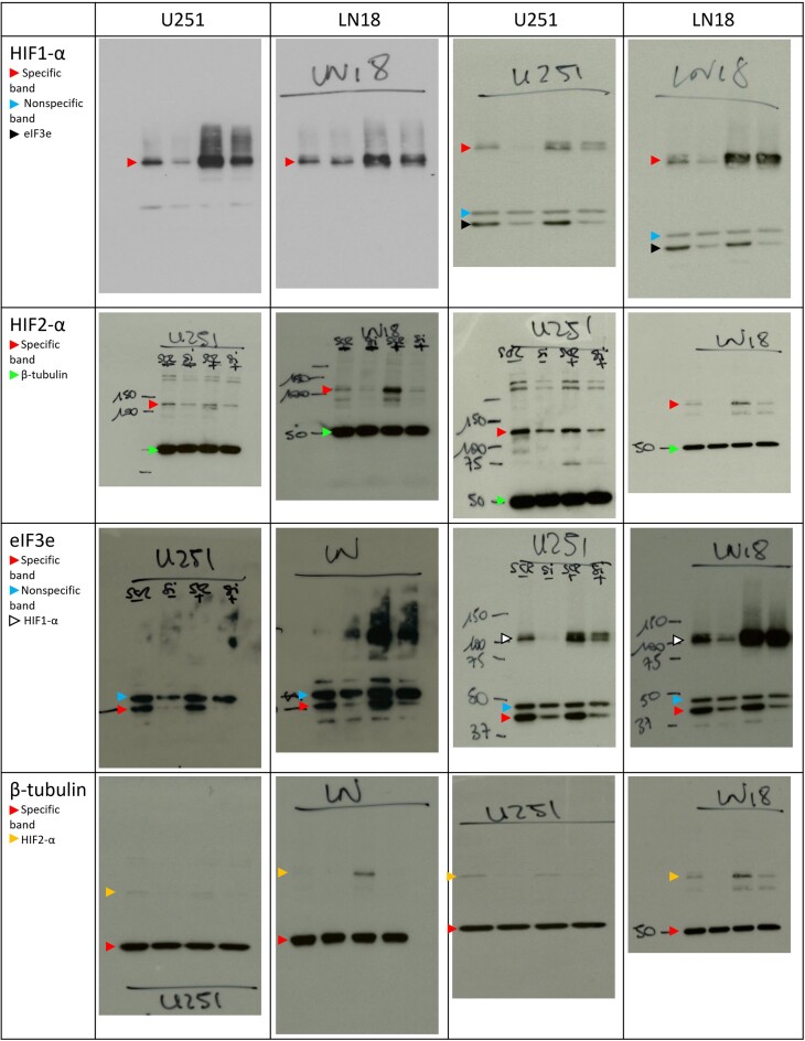
Abstract Image

Abstract Image

eIF3 的翻译重编程与胶质母细胞瘤的抗药性有关 "的更正。
[此处更正了文章 DOI:10.1093/nar/zcaa020]。
本文章由计算机程序翻译,如有差异,请以英文原文为准。
求助全文
约1分钟内获得全文 求助全文
来源期刊
CiteScore
6.90
自引率
0.00%
发文量
0
审稿时长
13 weeks
期刊介绍:
×
引用
GB/T 7714-2015
复制
MLA
复制
APA
复制
导出至
BibTeX EndNote RefMan NoteFirst NoteExpress
×
提示
您的信息不完整,为了账户安全,请先补充。
现在去补充
×
提示
您因"违规操作"
具体请查看互助需知
我知道了
×
提示
确定
请完成安全验证×
copy
已复制链接
快去分享给好友吧!
我知道了
右上角分享
点击右上角分享
0
联系我们:info@booksci.cn Book学术提供免费学术资源搜索服务,方便国内外学者检索中英文文献。致力于提供最便捷和优质的服务体验。 Copyright © 2023 布克学术 All rights reserved.
京ICP备2023020795号-1
ghs 京公网安备 11010802042870号
Book学术文献互助
Book学术文献互助群
群 号:604180095
Book学术官方微信