Post-COVID-19 enterocolitis - a cause of rebellious diarrhea, acute abdomen and liver failure.

IF 1.5 4区 医学 Q4 DEVELOPMENTAL BIOLOGY
Cosmin Vasile Obleagă, Rukie Ana Maria Ahmet, Dan Nicolae Florescu, Dragoş Marian Popescu, Cristian Meşină, Liliana Streba, Cristin Constantin Vere, Cristian Constantin
{"title":"Post-COVID-19 enterocolitis - a cause of rebellious diarrhea, acute abdomen and liver failure.","authors":"Cosmin Vasile Obleagă, Rukie Ana Maria Ahmet, Dan Nicolae Florescu, Dragoş Marian Popescu, Cristian Meşină, Liliana Streba, Cristin Constantin Vere, Cristian Constantin","doi":"10.47162/RJME.64.4.09","DOIUrl":null,"url":null,"abstract":"<p><p>Currently, worldwide, the coronavirus disease 2019 (COVID-19) pandemic, which first appeared in Wuhan, China, in December 2019, is capsizing the medical system and turning the attention of the entire healthcare system through the many aspects it presents, both from a pathophysiological and from a semiological view, insufficiently studied aspects. With a high rate of morbidity and mortality, the COVID-19 pandemic was initially observed as a pathology leading to a severe acute respiratory syndrome, but over time gastrointestinal and hepatic manifestations have been reported. The study includes an analysis of 21 patients in the stage of the clinical disease of COVID-19 or in the stage of recovery, hospitalized in the Departments of General Surgery II or Gastroenterology, Emergency Clinical County Hospital of Craiova, Romania, with predominantly digestive symptoms, with the clinical expression of infectious enterocolitis, although stool culture was negative for pathogenic bacteria. The evolution of patients was influenced by the appearance of peritonitis through colonic necrosis or remission of clinical symptoms under empirical therapy.</p>","PeriodicalId":54447,"journal":{"name":"Romanian Journal of Morphology and Embryology","volume":"64 4","pages":"527-533"},"PeriodicalIF":1.5000,"publicationDate":"2023-10-01","publicationTypes":"Journal Article","fieldsOfStudy":null,"isOpenAccess":false,"openAccessPdf":"https://www.ncbi.nlm.nih.gov/pmc/articles/PMC10863687/pdf/","citationCount":"0","resultStr":null,"platform":"Semanticscholar","paperid":null,"PeriodicalName":"Romanian Journal of Morphology and Embryology","FirstCategoryId":"3","ListUrlMain":"https://doi.org/10.47162/RJME.64.4.09","RegionNum":4,"RegionCategory":"医学","ArticlePicture":[],"TitleCN":null,"AbstractTextCN":null,"PMCID":null,"EPubDate":"","PubModel":"","JCR":"Q4","JCRName":"DEVELOPMENTAL BIOLOGY","Score":null,"Total":0}
引用次数: 0

Abstract

Currently, worldwide, the coronavirus disease 2019 (COVID-19) pandemic, which first appeared in Wuhan, China, in December 2019, is capsizing the medical system and turning the attention of the entire healthcare system through the many aspects it presents, both from a pathophysiological and from a semiological view, insufficiently studied aspects. With a high rate of morbidity and mortality, the COVID-19 pandemic was initially observed as a pathology leading to a severe acute respiratory syndrome, but over time gastrointestinal and hepatic manifestations have been reported. The study includes an analysis of 21 patients in the stage of the clinical disease of COVID-19 or in the stage of recovery, hospitalized in the Departments of General Surgery II or Gastroenterology, Emergency Clinical County Hospital of Craiova, Romania, with predominantly digestive symptoms, with the clinical expression of infectious enterocolitis, although stool culture was negative for pathogenic bacteria. The evolution of patients was influenced by the appearance of peritonitis through colonic necrosis or remission of clinical symptoms under empirical therapy.

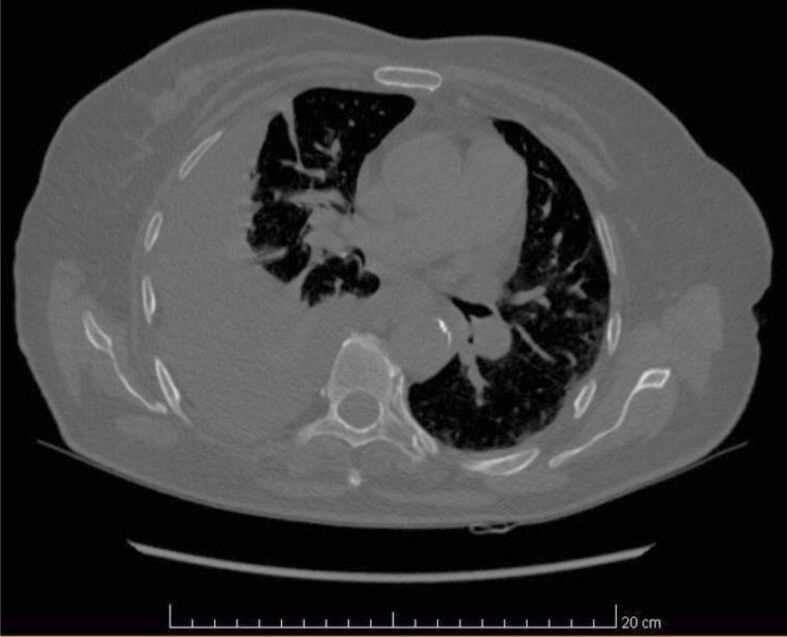
Abstract Image

Abstract Image

Abstract Image

COVID-19 后小肠结肠炎--导致反常腹泻、急性腹部和肝功能衰竭。
目前,在全球范围内,2019 年冠状病毒病(COVID-19)大流行于 2019 年 12 月在中国武汉首次出现,它从病理生理学和符号学角度呈现出许多研究不足的方面,正在颠覆医疗系统,并引起整个医疗系统的关注。COVID-19 大流行的发病率和死亡率都很高,最初被认为是一种导致严重急性呼吸系统综合征的病理现象,但随着时间的推移,胃肠道和肝脏表现也有报道。本研究分析了 21 名处于 COVID-19 临床疾病阶段或恢复阶段的患者,这些患者在罗马尼亚克拉约瓦县医院急诊临床科普外二科或消化内科住院治疗,主要出现消化道症状,临床表现为传染性小肠结肠炎,但粪便培养病原菌呈阴性。结肠坏死导致腹膜炎的出现或临床症状在经验疗法下得到缓解,都会影响患者的病情发展。
本文章由计算机程序翻译,如有差异,请以英文原文为准。
求助全文
约1分钟内获得全文 求助全文
来源期刊
CiteScore
1.70
自引率
20.00%
发文量
221
审稿时长
3-8 weeks
期刊介绍: Romanian Journal of Morphology and Embryology (Rom J Morphol Embryol) publishes studies on all aspects of normal morphology and human comparative and experimental pathology. The Journal accepts only researches that utilize modern investigation methods (studies of anatomy, pathology, cytopathology, immunohistochemistry, histochemistry, immunology, morphometry, molecular and cellular biology, electronic microscopy, etc.).
×
引用
GB/T 7714-2015
复制
MLA
复制
APA
复制
导出至
BibTeX EndNote RefMan NoteFirst NoteExpress
×
提示
您的信息不完整,为了账户安全,请先补充。
现在去补充
×
提示
您因"违规操作"
具体请查看互助需知
我知道了
×
提示
确定
请完成安全验证×
copy
已复制链接
快去分享给好友吧!
我知道了
右上角分享
点击右上角分享
0
联系我们:info@booksci.cn Book学术提供免费学术资源搜索服务,方便国内外学者检索中英文文献。致力于提供最便捷和优质的服务体验。 Copyright © 2023 布克学术 All rights reserved.
京ICP备2023020795号-1
ghs 京公网安备 11010802042870号
Book学术文献互助
Book学术文献互助群
群 号:604180095
Book学术官方微信