Kaposi's sarcoma of the larynx: case series.

IF 1.5 4区 医学 Q4 DEVELOPMENTAL BIOLOGY
Mircea Sorin Ciolofan, Florin Anghelina, Carmen Aurelia Mogoantă, Alexandru Nicolae Vlăescu, Mihaela Roxana Mitroi, Alina Nicoleta Căpitănescu, Charoula Florou, Anca Maria Istrate-Ofiţeru, Gheorghe Iovănescu
{"title":"Kaposi's sarcoma of the larynx: case series.","authors":"Mircea Sorin Ciolofan, Florin Anghelina, Carmen Aurelia Mogoantă, Alexandru Nicolae Vlăescu, Mihaela Roxana Mitroi, Alina Nicoleta Căpitănescu, Charoula Florou, Anca Maria Istrate-Ofiţeru, Gheorghe Iovănescu","doi":"10.47162/RJME.64.4.13","DOIUrl":null,"url":null,"abstract":"<p><p>Kaposi's sarcoma (KS) represents a type of cancer that usually arises on the skin and very rarely in other organs. KS-associated herpesvirus (KSHV), also known as human herpesvirus-8 (HHV-8) commonly arises in patients with acquired immunodeficiency syndrome (AIDS). Laryngeal involvement of KS is very rare. Our study comprised of three cases with laryngeal KS. All cases were solved through surgical excision of the tumor. Histopathological and immunohistochemistry examinations revealed laryngeal KS. Laryngeal KS should be managed through surgical resection, followed by oncological treatment.</p>","PeriodicalId":54447,"journal":{"name":"Romanian Journal of Morphology and Embryology","volume":"64 4","pages":"559-565"},"PeriodicalIF":1.5000,"publicationDate":"2023-10-01","publicationTypes":"Journal Article","fieldsOfStudy":null,"isOpenAccess":false,"openAccessPdf":"https://www.ncbi.nlm.nih.gov/pmc/articles/PMC10863688/pdf/","citationCount":"0","resultStr":null,"platform":"Semanticscholar","paperid":null,"PeriodicalName":"Romanian Journal of Morphology and Embryology","FirstCategoryId":"3","ListUrlMain":"https://doi.org/10.47162/RJME.64.4.13","RegionNum":4,"RegionCategory":"医学","ArticlePicture":[],"TitleCN":null,"AbstractTextCN":null,"PMCID":null,"EPubDate":"","PubModel":"","JCR":"Q4","JCRName":"DEVELOPMENTAL BIOLOGY","Score":null,"Total":0}
引用次数: 0

Abstract

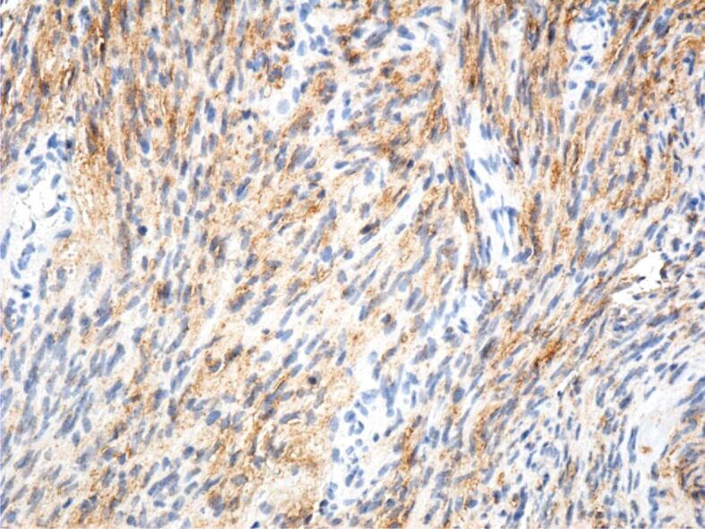
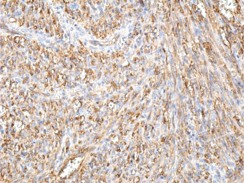
Kaposi's sarcoma (KS) represents a type of cancer that usually arises on the skin and very rarely in other organs. KS-associated herpesvirus (KSHV), also known as human herpesvirus-8 (HHV-8) commonly arises in patients with acquired immunodeficiency syndrome (AIDS). Laryngeal involvement of KS is very rare. Our study comprised of three cases with laryngeal KS. All cases were solved through surgical excision of the tumor. Histopathological and immunohistochemistry examinations revealed laryngeal KS. Laryngeal KS should be managed through surgical resection, followed by oncological treatment.

Abstract Image

Abstract Image

Abstract Image

喉部卡波西肉瘤:病例系列。
卡波西肉瘤(KS)是一种癌症,通常发生在皮肤上,极少发生在其他器官。KS相关疱疹病毒(KSHV)又称人类疱疹病毒-8(HHV-8),常见于获得性免疫缺陷综合征(艾滋病)患者。KS 喉部受累非常罕见。我们的研究包括三例喉 KS 病例。所有病例均通过外科手术切除肿瘤。组织病理学和免疫组化检查显示喉 KS。喉 KS 应通过手术切除,然后进行肿瘤治疗。
本文章由计算机程序翻译,如有差异,请以英文原文为准。
求助全文
约1分钟内获得全文 求助全文
来源期刊
CiteScore
1.70
自引率
20.00%
发文量
221
审稿时长
3-8 weeks
期刊介绍: Romanian Journal of Morphology and Embryology (Rom J Morphol Embryol) publishes studies on all aspects of normal morphology and human comparative and experimental pathology. The Journal accepts only researches that utilize modern investigation methods (studies of anatomy, pathology, cytopathology, immunohistochemistry, histochemistry, immunology, morphometry, molecular and cellular biology, electronic microscopy, etc.).
×
引用
GB/T 7714-2015
复制
MLA
复制
APA
复制
导出至
BibTeX EndNote RefMan NoteFirst NoteExpress
×
提示
您的信息不完整,为了账户安全,请先补充。
现在去补充
×
提示
您因"违规操作"
具体请查看互助需知
我知道了
×
提示
确定
请完成安全验证×
copy
已复制链接
快去分享给好友吧!
我知道了
右上角分享
点击右上角分享
0
联系我们:info@booksci.cn Book学术提供免费学术资源搜索服务,方便国内外学者检索中英文文献。致力于提供最便捷和优质的服务体验。 Copyright © 2023 布克学术 All rights reserved.
京ICP备2023020795号-1
ghs 京公网安备 11010802042870号
Book学术文献互助
Book学术文献互助群
群 号:604180095
Book学术官方微信