Incidental carcinoma of the prostate in cystoprostatectomy specimens - is it always a toothless lion?

IF 1.5 4区 医学 Q4 DEVELOPMENTAL BIOLOGY
Vlad Dema, Alexei Croitor, Andreea Floruncuţ, Sorin Dema, Tiberiu Răzvan Bardan, Sorina Maria Tăban, Robert Alexandru Barna, Bianca Roxana Natarâş, Alin Adrian Cumpănaş
{"title":"Incidental carcinoma of the prostate in cystoprostatectomy specimens - is it always a toothless lion?","authors":"Vlad Dema, Alexei Croitor, Andreea Floruncuţ, Sorin Dema, Tiberiu Răzvan Bardan, Sorina Maria Tăban, Robert Alexandru Barna, Bianca Roxana Natarâş, Alin Adrian Cumpănaş","doi":"10.47162/RJME.64.4.06","DOIUrl":null,"url":null,"abstract":"<p><p>Incidental prostate carcinoma (iPC) is a subject of debate concerning its definition, incidence, biology, diagnosis, staging, and treatment. The present study aimed to assess the incidence and main clinical-morphological characteristics of iPC identified in radical cystoprostatectomy (RCP) specimens over a 5-year period. Using the database of the Urology and Pathology Departments, we identified all patients with bladder carcinomas (BCs) who underwent RCP within a 5-year frame time. We selected only those patients with synchronous BC and prostate carcinoma (PC). The following parameters were analyzed for these patients: age, type of bladder and prostate tumor, degree of differentiation, pathological stage, and other prognostic parameters. We identified 91 men with bladder tumors treated by RCP among whom 43, aged between 53 and 84 years (mean age: 69.2 years), presented synchronous PC. iPC was more prevalent in older individuals (>65 years: 30 patients, 69.8%), with only six out of the 43 (12.8%) patients with iPC being aged ≤60 years. All iPC cases were conventional adenocarcinoma. Well-differentiated prostate adenocarcinomas (grade group 1) predominated (65.1%). Among the 43 iPCs, 16 (37.2%) were clinically significant PCs. iPC is frequently identified in patients with BC when inclusion and evaluation of all or most of the prostate tissue are performed. Although more than half of iPCs were well-differentiated tumors confined to the prostate, a significant number of cases met the criteria of clinically significant PC. All men over the age of 50 who are candidates for RCP, should undergo evaluation through serum prostate specific antigen determination.</p>","PeriodicalId":54447,"journal":{"name":"Romanian Journal of Morphology and Embryology","volume":"64 4","pages":"501-507"},"PeriodicalIF":1.5000,"publicationDate":"2023-10-01","publicationTypes":"Journal Article","fieldsOfStudy":null,"isOpenAccess":false,"openAccessPdf":"https://www.ncbi.nlm.nih.gov/pmc/articles/PMC10863693/pdf/","citationCount":"0","resultStr":null,"platform":"Semanticscholar","paperid":null,"PeriodicalName":"Romanian Journal of Morphology and Embryology","FirstCategoryId":"3","ListUrlMain":"https://doi.org/10.47162/RJME.64.4.06","RegionNum":4,"RegionCategory":"医学","ArticlePicture":[],"TitleCN":null,"AbstractTextCN":null,"PMCID":null,"EPubDate":"","PubModel":"","JCR":"Q4","JCRName":"DEVELOPMENTAL BIOLOGY","Score":null,"Total":0}
引用次数: 0

Abstract

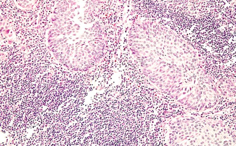
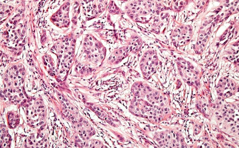
Incidental prostate carcinoma (iPC) is a subject of debate concerning its definition, incidence, biology, diagnosis, staging, and treatment. The present study aimed to assess the incidence and main clinical-morphological characteristics of iPC identified in radical cystoprostatectomy (RCP) specimens over a 5-year period. Using the database of the Urology and Pathology Departments, we identified all patients with bladder carcinomas (BCs) who underwent RCP within a 5-year frame time. We selected only those patients with synchronous BC and prostate carcinoma (PC). The following parameters were analyzed for these patients: age, type of bladder and prostate tumor, degree of differentiation, pathological stage, and other prognostic parameters. We identified 91 men with bladder tumors treated by RCP among whom 43, aged between 53 and 84 years (mean age: 69.2 years), presented synchronous PC. iPC was more prevalent in older individuals (>65 years: 30 patients, 69.8%), with only six out of the 43 (12.8%) patients with iPC being aged ≤60 years. All iPC cases were conventional adenocarcinoma. Well-differentiated prostate adenocarcinomas (grade group 1) predominated (65.1%). Among the 43 iPCs, 16 (37.2%) were clinically significant PCs. iPC is frequently identified in patients with BC when inclusion and evaluation of all or most of the prostate tissue are performed. Although more than half of iPCs were well-differentiated tumors confined to the prostate, a significant number of cases met the criteria of clinically significant PC. All men over the age of 50 who are candidates for RCP, should undergo evaluation through serum prostate specific antigen determination.

Abstract Image

Abstract Image

Abstract Image

前列腺膀胱切除术标本中的前列腺偶发癌--总是无牙狮子吗?
偶发前列腺癌(iPC)在定义、发病率、生物学、诊断、分期和治疗等方面都存在争议。本研究旨在评估5年来在根治性前列腺膀胱切除术(RCP)标本中发现的iPC的发病率和主要临床形态特征。我们利用泌尿科和病理科的数据库,确定了所有在5年内接受过根治性膀胱前列腺切除术的膀胱癌(BC)患者。我们只选择了同步膀胱癌和前列腺癌(PC)患者。我们对这些患者的以下参数进行了分析:年龄、膀胱和前列腺肿瘤类型、分化程度、病理分期以及其他预后参数。我们发现了 91 名接受 RCP 治疗的男性膀胱肿瘤患者,其中 43 名年龄在 53 至 84 岁之间(平均年龄:69.2 岁),患有同步性前列腺癌。iPC 在老年人(年龄大于 65 岁:30 名患者,占 69.8%)中更为常见,43 名 iPC 患者中只有 6 名(占 12.8%)年龄小于 60 岁。所有 iPC 病例均为传统腺癌。以分化良好的前列腺腺癌(1级组)为主(65.1%)。在 43 例 iPC 中,有 16 例(37.2%)是有临床意义的 PC。虽然一半以上的 iPC 是局限于前列腺的分化良好的肿瘤,但仍有相当数量的病例符合有临床意义的 PC 的标准。所有 50 岁以上的男性,只要是前列腺增生症的候选者,都应通过血清前列腺特异性抗原测定进行评估。
本文章由计算机程序翻译,如有差异,请以英文原文为准。
求助全文
约1分钟内获得全文 求助全文
来源期刊
CiteScore
1.70
自引率
20.00%
发文量
221
审稿时长
3-8 weeks
期刊介绍: Romanian Journal of Morphology and Embryology (Rom J Morphol Embryol) publishes studies on all aspects of normal morphology and human comparative and experimental pathology. The Journal accepts only researches that utilize modern investigation methods (studies of anatomy, pathology, cytopathology, immunohistochemistry, histochemistry, immunology, morphometry, molecular and cellular biology, electronic microscopy, etc.).
×
引用
GB/T 7714-2015
复制
MLA
复制
APA
复制
导出至
BibTeX EndNote RefMan NoteFirst NoteExpress
×
提示
您的信息不完整,为了账户安全,请先补充。
现在去补充
×
提示
您因"违规操作"
具体请查看互助需知
我知道了
×
提示
确定
请完成安全验证×
copy
已复制链接
快去分享给好友吧!
我知道了
右上角分享
点击右上角分享
0
联系我们:info@booksci.cn Book学术提供免费学术资源搜索服务,方便国内外学者检索中英文文献。致力于提供最便捷和优质的服务体验。 Copyright © 2023 布克学术 All rights reserved.
京ICP备2023020795号-1
ghs 京公网安备 11010802042870号
Book学术文献互助
Book学术文献互助群
群 号:604180095
Book学术官方微信