Clinicopathological characteristics and prognostic factors of atypical meningiomas with bone invasion: a retrospective analysis of nine cases and literature review.

IF 1.5 4区 医学 Q4 DEVELOPMENTAL BIOLOGY
Andrei Ionuţ Cucu, Claudia Florida Costea, Georgiana Macovei, Gabriela Florenţa Dumitrescu, Anca Sava, Laurenţiu Andrei Blaj, Iulian Prutianu, Elena Porumb-Andrese, Cristina Gena Dascălu, Mihaela Coşman, Ion Poeată, Şerban Turliuc
{"title":"Clinicopathological characteristics and prognostic factors of atypical meningiomas with bone invasion: a retrospective analysis of nine cases and literature review.","authors":"Andrei Ionuţ Cucu, Claudia Florida Costea, Georgiana Macovei, Gabriela Florenţa Dumitrescu, Anca Sava, Laurenţiu Andrei Blaj, Iulian Prutianu, Elena Porumb-Andrese, Cristina Gena Dascălu, Mihaela Coşman, Ion Poeată, Şerban Turliuc","doi":"10.47162/RJME.64.4.07","DOIUrl":null,"url":null,"abstract":"<p><strong>Background: </strong>Meningiomas are the most common primary neoplasms of the central nervous system in adults, arising from the arachnoid cap cells. Thus, grade 2 meningiomas are situated on the border between benignity and malignancy. Among the many prognostic factors that have been investigated in these tumors, bone invasion is one of them.</p><p><strong>Objective: </strong>The aim of our study was to identify whether bone invasion influences tumor recurrence and progression-free survival (PFS) in patients with atypical meningiomas (AMs).</p><p><strong>Patients, materials and methods: </strong>Out of 81 patients with AMs followed over a period of five years, we identified nine patients with bone invasion. We analyzed their demographic, clinical, imaging, and pathological characteristics, such as age, gender, radiological aspects, morphological features, extent of resection, recurrence rate, and PFS over a follow-up period of 60 months. Bone invasion was determined based on preoperative, surgical, and pathological reports.</p><p><strong>Results: </strong>Out of the nine patients with bone invasion, four had convexity meningiomas, four had parasagittal meningiomas and one had a falcine meningioma. Regarding tumor recurrence∕progression, most patients (n=6) recurred within the first 24 months after surgery. Our study showed that the early recurrence/progression of tumor (at 12 months) correlated with extensive presence of malignancy criteria, especially with the presence of 15-18 mitoses∕10 high-power fields, as well as with large foci of spontaneous necrosis, but also with tumor bone infiltration, extensive bone lamellae destruction, and tumor infiltration of adjacent muscle with its atrophy due to tumor compression. Patients with bone invasion had a PFS of 29.3 months, compared to patients without invasion who had a higher PFS (49.3 months). Significant statistical associations were observed between bone invasion and tumor recurrence (p=0.002) and PFS (p=0.004).</p><p><strong>Conclusions: </strong>Our study emphasizes the importance of a thorough histopathological examination of the surgical specimen, which can provide significant data for the assessment of the progression of an AM [World Health Organization (WHO) grade 2] with bone invasion. AM infiltration in adjacent bone and muscle increases the rate of tumor recurrence and decreases PFS over a follow-up period of 60 months.</p>","PeriodicalId":54447,"journal":{"name":"Romanian Journal of Morphology and Embryology","volume":"64 4","pages":"509-515"},"PeriodicalIF":1.5000,"publicationDate":"2023-10-01","publicationTypes":"Journal Article","fieldsOfStudy":null,"isOpenAccess":false,"openAccessPdf":"https://www.ncbi.nlm.nih.gov/pmc/articles/PMC10863686/pdf/","citationCount":"0","resultStr":null,"platform":"Semanticscholar","paperid":null,"PeriodicalName":"Romanian Journal of Morphology and Embryology","FirstCategoryId":"3","ListUrlMain":"https://doi.org/10.47162/RJME.64.4.07","RegionNum":4,"RegionCategory":"医学","ArticlePicture":[],"TitleCN":null,"AbstractTextCN":null,"PMCID":null,"EPubDate":"","PubModel":"","JCR":"Q4","JCRName":"DEVELOPMENTAL BIOLOGY","Score":null,"Total":0}
引用次数: 0

Abstract

Background: Meningiomas are the most common primary neoplasms of the central nervous system in adults, arising from the arachnoid cap cells. Thus, grade 2 meningiomas are situated on the border between benignity and malignancy. Among the many prognostic factors that have been investigated in these tumors, bone invasion is one of them.

Objective: The aim of our study was to identify whether bone invasion influences tumor recurrence and progression-free survival (PFS) in patients with atypical meningiomas (AMs).

Patients, materials and methods: Out of 81 patients with AMs followed over a period of five years, we identified nine patients with bone invasion. We analyzed their demographic, clinical, imaging, and pathological characteristics, such as age, gender, radiological aspects, morphological features, extent of resection, recurrence rate, and PFS over a follow-up period of 60 months. Bone invasion was determined based on preoperative, surgical, and pathological reports.

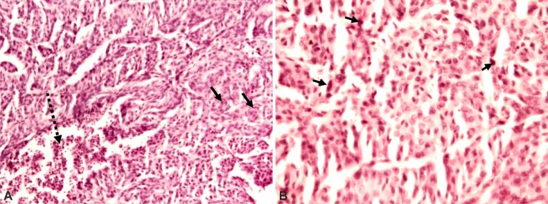
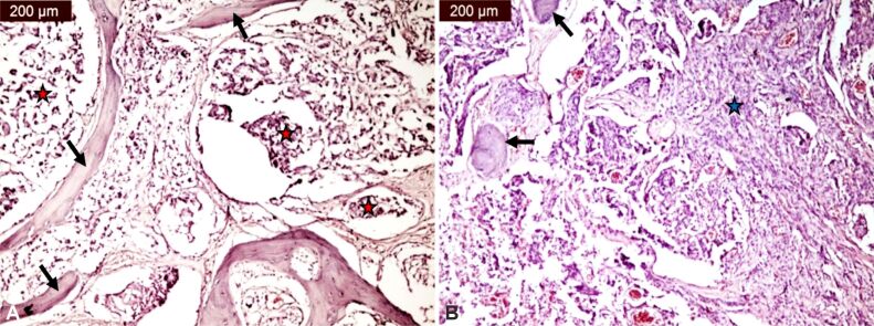
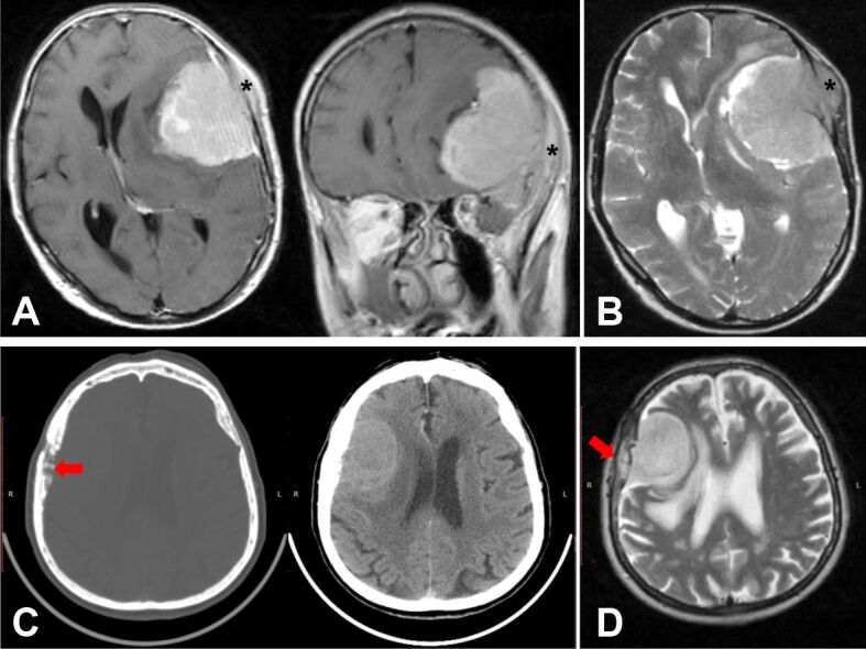
Results: Out of the nine patients with bone invasion, four had convexity meningiomas, four had parasagittal meningiomas and one had a falcine meningioma. Regarding tumor recurrence∕progression, most patients (n=6) recurred within the first 24 months after surgery. Our study showed that the early recurrence/progression of tumor (at 12 months) correlated with extensive presence of malignancy criteria, especially with the presence of 15-18 mitoses∕10 high-power fields, as well as with large foci of spontaneous necrosis, but also with tumor bone infiltration, extensive bone lamellae destruction, and tumor infiltration of adjacent muscle with its atrophy due to tumor compression. Patients with bone invasion had a PFS of 29.3 months, compared to patients without invasion who had a higher PFS (49.3 months). Significant statistical associations were observed between bone invasion and tumor recurrence (p=0.002) and PFS (p=0.004).

Conclusions: Our study emphasizes the importance of a thorough histopathological examination of the surgical specimen, which can provide significant data for the assessment of the progression of an AM [World Health Organization (WHO) grade 2] with bone invasion. AM infiltration in adjacent bone and muscle increases the rate of tumor recurrence and decreases PFS over a follow-up period of 60 months.

Abstract Image

Abstract Image

Abstract Image

骨侵犯非典型脑膜瘤的临床病理特征和预后因素:对九个病例的回顾性分析和文献综述。
背景:脑膜瘤是成人中枢神经系统最常见的原发性肿瘤,源于蛛网膜帽细胞。因此,2 级脑膜瘤处于良性和恶性的边缘。在这些肿瘤的众多预后因素中,骨侵袭是其中之一:我们的研究旨在确定骨侵袭是否会影响非典型脑膜瘤(AMs)患者的肿瘤复发和无进展生存期(PFS):在81名随访五年的AMs患者中,我们发现9名患者有骨侵犯。我们分析了他们的人口学、临床、影像学和病理学特征,如年龄、性别、放射学方面、形态特征、切除范围、复发率和随访60个月的PFS。骨侵犯是根据术前、手术和病理报告确定的:结果:在9例骨侵犯患者中,4例为凸面脑膜瘤,4例为矢状旁脑膜瘤,1例为镰状脑膜瘤。关于肿瘤的复发∕进展,大多数患者(6 例)在术后 24 个月内复发。我们的研究表明,肿瘤的早期复发/进展(12 个月时)与恶性肿瘤标准的广泛存在相关,尤其是与有丝分裂15-18 次∕10 个高倍视野的存在相关,以及与大面积自发性坏死灶相关,还与肿瘤骨浸润、广泛骨片破坏、肿瘤浸润邻近肌肉以及肿瘤压迫导致肌肉萎缩相关。有骨质浸润的患者的 PFS 为 29.3 个月,相比之下,无骨质浸润的患者的 PFS 更高(49.3 个月)。骨侵犯与肿瘤复发(P=0.002)和PFS(P=0.004)之间存在显著的统计学关联:我们的研究强调了对手术标本进行彻底的组织病理学检查的重要性,它可以为评估伴有骨侵犯的 AM(世界卫生组织(WHO)2 级)的进展情况提供重要数据。在60个月的随访期间,邻近骨骼和肌肉的AM浸润会增加肿瘤复发率并降低PFS。
本文章由计算机程序翻译,如有差异,请以英文原文为准。
求助全文
约1分钟内获得全文 求助全文
来源期刊
CiteScore
1.70
自引率
20.00%
发文量
221
审稿时长
3-8 weeks
期刊介绍: Romanian Journal of Morphology and Embryology (Rom J Morphol Embryol) publishes studies on all aspects of normal morphology and human comparative and experimental pathology. The Journal accepts only researches that utilize modern investigation methods (studies of anatomy, pathology, cytopathology, immunohistochemistry, histochemistry, immunology, morphometry, molecular and cellular biology, electronic microscopy, etc.).
×
引用
GB/T 7714-2015
复制
MLA
复制
APA
复制
导出至
BibTeX EndNote RefMan NoteFirst NoteExpress
×
提示
您的信息不完整,为了账户安全,请先补充。
现在去补充
×
提示
您因"违规操作"
具体请查看互助需知
我知道了
×
提示
确定
请完成安全验证×
copy
已复制链接
快去分享给好友吧!
我知道了
右上角分享
点击右上角分享
0
联系我们:info@booksci.cn Book学术提供免费学术资源搜索服务,方便国内外学者检索中英文文献。致力于提供最便捷和优质的服务体验。 Copyright © 2023 布克学术 All rights reserved.
京ICP备2023020795号-1
ghs 京公网安备 11010802042870号
Book学术文献互助
Book学术文献互助群
群 号:604180095
Book学术官方微信