Management of Sinistral Portal Hypertension after Pancreaticoduodenectomy.

IF 2.1 4区 医学 Q3 GASTROENTEROLOGY & HEPATOLOGY
Digestive Diseases Pub Date : 2024-01-01 Epub Date: 2024-01-05 DOI:10.1159/000535774
Nabeel Mansour, Simon Sirtl, Martin K Angele, Moritz Wildgruber
{"title":"Management of Sinistral Portal Hypertension after Pancreaticoduodenectomy.","authors":"Nabeel Mansour, Simon Sirtl, Martin K Angele, Moritz Wildgruber","doi":"10.1159/000535774","DOIUrl":null,"url":null,"abstract":"<p><strong>Background: </strong>Sinistral, or left-sided, portal hypertension (SPH) is a rare cause of upper gastrointestinal (GI) hemorrhage resulting from obstruction of the splenic vein. Venous drainage from the spleen via collaterals can result in venous hemorrhage into both the retroperitoneal and intra-abdominal spaces due to increased venous blood pressure in peripancreatic and gastroduodenal vasculature. SPH can occur secondary to pancreatitis with thrombosis of the splenic vein. Another possible cause is the surgical ligation of the splenic vein as part of pancreaticoduodenectomy (PD). Although splenectomy has been traditionally considered as the treatment of choice to relieve venous hypertension, individual concepts for each patient have to be developed. Considering the venous collateral drainage pathways, a comprehensive approach involving surgical, endoscopic, and interventional radiology interventions may be necessary to address the underlying cause of variceal bleeding. Among these approaches, splenic artery embolization (SAE) has demonstrated efficacy in mitigating the adverse effects associated with elevated venous outflow pressure.</p><p><strong>Summary: </strong>This review summarizes key imaging findings in SPH patients after PD and highlights the potential of minimally invasive embolization for curative treatment of variceal hemorrhage.</p><p><strong>Key messages: </strong>(i) SPH is a potential consequence after major pancreas surgery. (ii) Collateral flow can lead to life-threatening abdominal bleeding. (iii) Depending on the origin and localization of the bleeding, a dedicated management is required, frequently involving interventional radiology techniques.</p>","PeriodicalId":11294,"journal":{"name":"Digestive Diseases","volume":" ","pages":"178-185"},"PeriodicalIF":2.1000,"publicationDate":"2024-01-01","publicationTypes":"Journal Article","fieldsOfStudy":null,"isOpenAccess":false,"openAccessPdf":"https://www.ncbi.nlm.nih.gov/pmc/articles/PMC10997249/pdf/","citationCount":"0","resultStr":null,"platform":"Semanticscholar","paperid":null,"PeriodicalName":"Digestive Diseases","FirstCategoryId":"3","ListUrlMain":"https://doi.org/10.1159/000535774","RegionNum":4,"RegionCategory":"医学","ArticlePicture":[],"TitleCN":null,"AbstractTextCN":null,"PMCID":null,"EPubDate":"2024/1/5 0:00:00","PubModel":"Epub","JCR":"Q3","JCRName":"GASTROENTEROLOGY & HEPATOLOGY","Score":null,"Total":0}
引用次数: 0

Abstract

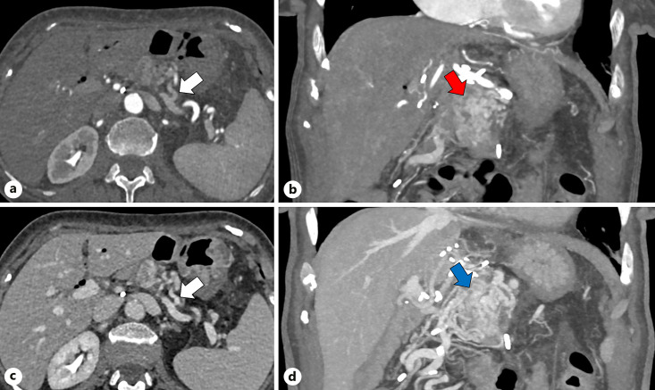
Background: Sinistral, or left-sided, portal hypertension (SPH) is a rare cause of upper gastrointestinal (GI) hemorrhage resulting from obstruction of the splenic vein. Venous drainage from the spleen via collaterals can result in venous hemorrhage into both the retroperitoneal and intra-abdominal spaces due to increased venous blood pressure in peripancreatic and gastroduodenal vasculature. SPH can occur secondary to pancreatitis with thrombosis of the splenic vein. Another possible cause is the surgical ligation of the splenic vein as part of pancreaticoduodenectomy (PD). Although splenectomy has been traditionally considered as the treatment of choice to relieve venous hypertension, individual concepts for each patient have to be developed. Considering the venous collateral drainage pathways, a comprehensive approach involving surgical, endoscopic, and interventional radiology interventions may be necessary to address the underlying cause of variceal bleeding. Among these approaches, splenic artery embolization (SAE) has demonstrated efficacy in mitigating the adverse effects associated with elevated venous outflow pressure.

Summary: This review summarizes key imaging findings in SPH patients after PD and highlights the potential of minimally invasive embolization for curative treatment of variceal hemorrhage.

Key messages: (i) SPH is a potential consequence after major pancreas surgery. (ii) Collateral flow can lead to life-threatening abdominal bleeding. (iii) Depending on the origin and localization of the bleeding, a dedicated management is required, frequently involving interventional radiology techniques.

Abstract Image

Abstract Image

Abstract Image

胰十二指肠切除术后窦状门脉高压的处理方法
背景:窦性或左侧门静脉高压症(SPH)是脾静脉阻塞导致上消化道出血的一种罕见病因。由于胰周和胃十二指肠血管的静脉血压升高,脾脏通过络脉引流的静脉血可导致腹膜后和腹腔内的静脉出血。脾静脉血栓形成可继发于胰腺炎。另一个可能的原因是作为胰十二指肠切除术(PD)一部分的脾静脉手术结扎。虽然脾切除术历来被认为是缓解静脉高压的首选治疗方法,但必须针对每位患者的具体情况制定个性化的治疗方案。考虑到静脉侧支引流途径,可能有必要采取包括手术、内窥镜和介入放射学干预在内的综合方法来解决静脉曲张出血的根本原因。摘要:本综述总结了胰十二指肠切除术后 SPH 患者的主要影像学发现,并强调了微创栓塞治疗静脉曲张出血的潜力:- 窦性门静脉高压是胰腺大手术后的潜在后果--侧支血流可导致危及生命的腹腔出血--根据出血的来源和定位,需要采取专门的治疗方法,通常涉及介入放射学技术。
本文章由计算机程序翻译,如有差异,请以英文原文为准。
求助全文
约1分钟内获得全文 求助全文
来源期刊
Digestive Diseases
Digestive Diseases 医学-胃肠肝病学
CiteScore
4.80
自引率
0.00%
发文量
58
审稿时长
2 months
期刊介绍: Each issue of this journal is dedicated to a special topic of current interest, covering both clinical and basic science topics in gastrointestinal function and disorders. The contents of each issue are comprehensive and reflect the state of the art, featuring editorials, reviews, mini reviews and original papers. These individual contributions encompass a variety of disciplines including all fields of gastroenterology. ''Digestive Diseases'' bridges the communication gap between advances made in the academic setting and their application in patient care. The journal is a valuable service for clinicians, specialists and physicians-in-training.
×
引用
GB/T 7714-2015
复制
MLA
复制
APA
复制
导出至
BibTeX EndNote RefMan NoteFirst NoteExpress
×
提示
您的信息不完整,为了账户安全,请先补充。
现在去补充
×
提示
您因"违规操作"
具体请查看互助需知
我知道了
×
提示
确定
请完成安全验证×
copy
已复制链接
快去分享给好友吧!
我知道了
右上角分享
点击右上角分享
0
联系我们:info@booksci.cn Book学术提供免费学术资源搜索服务,方便国内外学者检索中英文文献。致力于提供最便捷和优质的服务体验。 Copyright © 2023 布克学术 All rights reserved.
京ICP备2023020795号-1
ghs 京公网安备 11010802042870号
Book学术文献互助
Book学术文献互助群
群 号:604180095
Book学术官方微信