99mTc-Sn-colloid SPECT/CT in thoracic splenosis after esophageal cancer surgery.

Q3 Medicine
Kishin Tokuyama, Yusuke Inoue, Keiji Matsunaga, Yasunori Hamaguchi, Saori Sekimoto
{"title":"<sup>99m</sup>Tc-Sn-colloid SPECT/CT in thoracic splenosis after esophageal cancer surgery.","authors":"Kishin Tokuyama, Yusuke Inoue, Keiji Matsunaga, Yasunori Hamaguchi, Saori Sekimoto","doi":"10.22038/AOJNMB.2023.73907.1515","DOIUrl":null,"url":null,"abstract":"<p><p>Splenosis occurs as a result of autotransplantation of splenic tissue following splenic injury or splenectomy. A 56-year-old man with esophageal cancer underwent thoracoscopic-assisted subtotal esophagectomy accompanied by three-field lymph node dissection, and retrosternal gastric tube reconstruction. The spleen was injured during the surgery and was removed. A retrosternal nodule of 12 mm in diameter was detected near the reconstructed gastric tube on computed tomography (CT) performed 3 years and 6 months postoperatively. Retrospectively, the nodule was observed in the same area on early postoperative CT and gradually increased in size. No accessory spleen was identified on the preoperative CT. Splenosis was suspected, and <sup>99m</sup>Tc-Sn-colloid single photon emission computed tomography (SPECT)/CT was performed. It revealed intense uptake in the retrosternal nodule, consistent with the diagnosis of thoracic splenosis. Subsequently, the patient has been under observation without treatment. <sup>99m</sup>Tc-labeled colloid SPECT/CT allowed confident diagnosis of thoracic splenosis following esophageal cancer surgery. This examination is considered valuable for the evaluation of ectopic splenic tissue.</p>","PeriodicalId":8503,"journal":{"name":"Asia Oceania Journal of Nuclear Medicine and Biology","volume":"12 1","pages":"61-64"},"PeriodicalIF":0.0000,"publicationDate":"2024-01-01","publicationTypes":"Journal Article","fieldsOfStudy":null,"isOpenAccess":false,"openAccessPdf":"https://www.ncbi.nlm.nih.gov/pmc/articles/PMC10757057/pdf/","citationCount":"0","resultStr":null,"platform":"Semanticscholar","paperid":null,"PeriodicalName":"Asia Oceania Journal of Nuclear Medicine and Biology","FirstCategoryId":"1085","ListUrlMain":"https://doi.org/10.22038/AOJNMB.2023.73907.1515","RegionNum":0,"RegionCategory":null,"ArticlePicture":[],"TitleCN":null,"AbstractTextCN":null,"PMCID":null,"EPubDate":"","PubModel":"","JCR":"Q3","JCRName":"Medicine","Score":null,"Total":0}
引用次数: 0

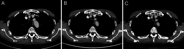
Abstract

Splenosis occurs as a result of autotransplantation of splenic tissue following splenic injury or splenectomy. A 56-year-old man with esophageal cancer underwent thoracoscopic-assisted subtotal esophagectomy accompanied by three-field lymph node dissection, and retrosternal gastric tube reconstruction. The spleen was injured during the surgery and was removed. A retrosternal nodule of 12 mm in diameter was detected near the reconstructed gastric tube on computed tomography (CT) performed 3 years and 6 months postoperatively. Retrospectively, the nodule was observed in the same area on early postoperative CT and gradually increased in size. No accessory spleen was identified on the preoperative CT. Splenosis was suspected, and 99mTc-Sn-colloid single photon emission computed tomography (SPECT)/CT was performed. It revealed intense uptake in the retrosternal nodule, consistent with the diagnosis of thoracic splenosis. Subsequently, the patient has been under observation without treatment. 99mTc-labeled colloid SPECT/CT allowed confident diagnosis of thoracic splenosis following esophageal cancer surgery. This examination is considered valuable for the evaluation of ectopic splenic tissue.

Abstract Image

Abstract Image

Abstract Image

99mTc-Sn 胶体 SPECT/CT 在食管癌术后胸腔脾肿大中的应用
脾脏损伤或脾脏切除术后,脾脏组织自体移植会导致脾脏病。一名 56 岁的食道癌患者接受了胸腔镜辅助下的食道次全切除术,同时进行了三野淋巴结清扫术和胸骨后胃管重建术。手术中损伤了脾脏并将其切除。术后 3 年 6 个月进行的计算机断层扫描(CT)发现,重建胃管附近有一个直径为 12 毫米的胸骨后结节。回顾性检查发现,术后早期 CT 在同一区域观察到该结节,且结节逐渐增大。术前 CT 未发现附属脾脏。医生怀疑是脾脏病变,于是进行了 99mTc-Sn 胶体单光子发射计算机断层扫描 (SPECT)/CT。结果显示胸骨后结节有强摄取,与胸腔脾脏病的诊断一致。随后,患者一直处于观察状态,未接受治疗。99mTc 标记的胶体 SPECT/CT 使食道癌手术后胸腔脾脏病的诊断更加可靠。这项检查对评估异位脾组织很有价值。
本文章由计算机程序翻译,如有差异,请以英文原文为准。
求助全文
约1分钟内获得全文 求助全文
来源期刊
Asia Oceania Journal of Nuclear Medicine and Biology
Asia Oceania Journal of Nuclear Medicine and Biology Medicine-Radiology, Nuclear Medicine and Imaging
CiteScore
1.80
自引率
0.00%
发文量
28
审稿时长
12 weeks
×
引用
GB/T 7714-2015
复制
MLA
复制
APA
复制
导出至
BibTeX EndNote RefMan NoteFirst NoteExpress
×
提示
您的信息不完整,为了账户安全,请先补充。
现在去补充
×
提示
您因"违规操作"
具体请查看互助需知
我知道了
×
提示
确定
请完成安全验证×
copy
已复制链接
快去分享给好友吧!
我知道了
右上角分享
点击右上角分享
0
联系我们:info@booksci.cn Book学术提供免费学术资源搜索服务,方便国内外学者检索中英文文献。致力于提供最便捷和优质的服务体验。 Copyright © 2023 布克学术 All rights reserved.
京ICP备2023020795号-1
ghs 京公网安备 11010802042870号
Book学术文献互助
Book学术文献互助群
群 号:604180095
Book学术官方微信