Type IV optic nerve and Onodi cell: is there a risk of injury during sphenoid sinus surgery?

IF 2.1 4区 医学 Q2 OTORHINOLARYNGOLOGY
Acta Otorhinolaryngologica Italica Pub Date : 2024-02-01 Epub Date: 2023-12-29 DOI:10.14639/0392-100X-N2462
Gian Luca Fadda, Anastasia Urbanelli, Alessio Petrelli, Marta Trossarello, Letizia Nitro, Alberto Maria Saibene, Eugenio De Corso, Dario Gned, Marco Panfili, Giovanni Cavallo
{"title":"Type IV optic nerve and Onodi cell: is there a risk of injury during sphenoid sinus surgery?","authors":"Gian Luca Fadda, Anastasia Urbanelli, Alessio Petrelli, Marta Trossarello, Letizia Nitro, Alberto Maria Saibene, Eugenio De Corso, Dario Gned, Marco Panfili, Giovanni Cavallo","doi":"10.14639/0392-100X-N2462","DOIUrl":null,"url":null,"abstract":"<p><strong>Objective: </strong>This study aims to determine the prevalence and types of Onodi cells through computed tomography and investigate the relationship between Onodi cell and the surrounding structures, paying particular attention to the risky proximity to the optic nerve canal.</p><p><strong>Methods: </strong>In this study, 430 computed tomography scans of paranasal sinuses were analysed to establish the prevalence and different types of Onodi cells. Furthermore, the relationship between Onodi cell and different patterns of sphenoid sinus pneumatisation and surrounding structures were investigated. Special attention was paid to the relationship between Onodi cell and the optic nerve canal, particularly in cases when the optic nerve canal was bulging by more than 50% into the Onodi cell (Type IV).</p><p><strong>Results: </strong>The Onodi cell was detected in 21.6% of cases, with the most common being Type I (48.5% right, 54.3% left). Type IV bulging of the optic nerve canal into the Onodi cell was observed in 47.1% of cases on the right side, 41.2% on the left side and bilateral in 11.7% of cases.</p><p><strong>Conclusions: </strong>In our series, we observed a high prevalence of Type IV optic nerve bulging into the Onodi cell. For this reason, we suggest that clinicians should always try to identify it in a pre-operative setting with computed tomography to avoid catastrophic consequences during endoscopic sinus surgery approaching the sphenoid area.</p>","PeriodicalId":6890,"journal":{"name":"Acta Otorhinolaryngologica Italica","volume":" ","pages":"36-41"},"PeriodicalIF":2.1000,"publicationDate":"2024-02-01","publicationTypes":"Journal Article","fieldsOfStudy":null,"isOpenAccess":false,"openAccessPdf":"https://www.ncbi.nlm.nih.gov/pmc/articles/PMC10914358/pdf/","citationCount":"0","resultStr":null,"platform":"Semanticscholar","paperid":null,"PeriodicalName":"Acta Otorhinolaryngologica Italica","FirstCategoryId":"3","ListUrlMain":"https://doi.org/10.14639/0392-100X-N2462","RegionNum":4,"RegionCategory":"医学","ArticlePicture":[],"TitleCN":null,"AbstractTextCN":null,"PMCID":null,"EPubDate":"2023/12/29 0:00:00","PubModel":"Epub","JCR":"Q2","JCRName":"OTORHINOLARYNGOLOGY","Score":null,"Total":0}
引用次数: 0

Abstract

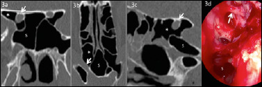
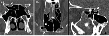
Objective: This study aims to determine the prevalence and types of Onodi cells through computed tomography and investigate the relationship between Onodi cell and the surrounding structures, paying particular attention to the risky proximity to the optic nerve canal.

Methods: In this study, 430 computed tomography scans of paranasal sinuses were analysed to establish the prevalence and different types of Onodi cells. Furthermore, the relationship between Onodi cell and different patterns of sphenoid sinus pneumatisation and surrounding structures were investigated. Special attention was paid to the relationship between Onodi cell and the optic nerve canal, particularly in cases when the optic nerve canal was bulging by more than 50% into the Onodi cell (Type IV).

Results: The Onodi cell was detected in 21.6% of cases, with the most common being Type I (48.5% right, 54.3% left). Type IV bulging of the optic nerve canal into the Onodi cell was observed in 47.1% of cases on the right side, 41.2% on the left side and bilateral in 11.7% of cases.

Conclusions: In our series, we observed a high prevalence of Type IV optic nerve bulging into the Onodi cell. For this reason, we suggest that clinicians should always try to identify it in a pre-operative setting with computed tomography to avoid catastrophic consequences during endoscopic sinus surgery approaching the sphenoid area.

Abstract Image

Abstract Image

Abstract Image

IV 型视神经和奥诺迪细胞:蝶窦手术中是否存在损伤风险?
研究目的本研究旨在通过计算机断层扫描确定奥诺迪细胞的患病率和类型,并研究奥诺迪细胞与周围结构之间的关系,尤其关注靠近视神经管的风险:本研究分析了 430 例副鼻窦计算机断层扫描,以确定奥诺迪细胞的发病率和不同类型。此外,还研究了奥诺迪细胞与蝶窦气化的不同模式及周围结构之间的关系。研究还特别关注了奥诺迪细胞与视神经管之间的关系,尤其是当视神经管向奥诺迪细胞隆起超过50%时(IV型):结果:21.6%的病例发现了奥诺迪细胞,其中最常见的是 I 型(右侧 48.5%,左侧 54.3%)。47.1%的病例右侧视神经管鼓入奥诺迪细胞,41.2%的病例左侧视神经管鼓入奥诺迪细胞,11.7%的病例双侧视神经管鼓入奥诺迪细胞:在我们的系列研究中,我们观察到Ⅳ型视神经鼓入奥诺迪细胞的发病率很高。因此,我们建议临床医生在术前通过计算机断层扫描来识别这种情况,以避免在接近蝶窦区的内窥镜鼻窦手术中出现灾难性后果。
本文章由计算机程序翻译,如有差异,请以英文原文为准。
求助全文
约1分钟内获得全文 求助全文
来源期刊
Acta Otorhinolaryngologica Italica
Acta Otorhinolaryngologica Italica OTORHINOLARYNGOLOGY-
CiteScore
3.40
自引率
10.00%
发文量
97
审稿时长
6-12 weeks
期刊介绍: Acta Otorhinolaryngologica Italica first appeared as “Annali di Laringologia Otologia e Faringologia” and was founded in 1901 by Giulio Masini. It is the official publication of the Italian Hospital Otology Association (A.O.O.I.) and, since 1976, also of the Società Italiana di Otorinolaringoiatria e Chirurgia Cervico-Facciale (S.I.O.Ch.C.-F.). The journal publishes original articles (clinical trials, cohort studies, case-control studies, cross-sectional surveys, and diagnostic test assessments) of interest in the field of otorhinolaryngology as well as clinical techniques and technology (a short report of unique or original methods for surgical techniques, medical management or new devices or technology), editorials (including editorial guests – special contribution) and letters to the Editor-in-Chief. Articles concerning science investigations and well prepared systematic reviews (including meta-analyses) on themes related to basic science, clinical otorhinolaryngology and head and neck surgery have high priority.
×
引用
GB/T 7714-2015
复制
MLA
复制
APA
复制
导出至
BibTeX EndNote RefMan NoteFirst NoteExpress
×
提示
您的信息不完整,为了账户安全,请先补充。
现在去补充
×
提示
您因"违规操作"
具体请查看互助需知
我知道了
×
提示
确定
请完成安全验证×
copy
已复制链接
快去分享给好友吧!
我知道了
右上角分享
点击右上角分享
0
联系我们:info@booksci.cn Book学术提供免费学术资源搜索服务,方便国内外学者检索中英文文献。致力于提供最便捷和优质的服务体验。 Copyright © 2023 布克学术 All rights reserved.
京ICP备2023020795号-1
ghs 京公网安备 11010802042870号
Book学术文献互助
Book学术文献互助群
群 号:604180095
Book学术官方微信