Retinitis pigmentosa GTPase regulator-related retinopathy and gene therapy.

IF 1.2 Q4 OPHTHALMOLOGY
Saudi Journal of Ophthalmology Pub Date : 2023-10-24 eCollection Date: 2023-10-01 DOI:10.4103/sjopt.sjopt_168_23
Nida Wongchaisuwat, Alessia Amato, Andrew E Lamborn, Paul Yang, Lesley Everett, Mark E Pennesi
{"title":"Retinitis pigmentosa GTPase regulator-related retinopathy and gene therapy.","authors":"Nida Wongchaisuwat, Alessia Amato, Andrew E Lamborn, Paul Yang, Lesley Everett, Mark E Pennesi","doi":"10.4103/sjopt.sjopt_168_23","DOIUrl":null,"url":null,"abstract":"<p><p>Retinitis pigmentosa GTPase regulator <i>(RPGR)</i>-related retinopathy is a retinal dystrophy inherited in a X-linked recessive manner that typically causes progressive visual loss starting in childhood with severe visual impairment by the fourth decade of life. It manifests as an early onset and severe form of retinitis pigmentosa. There are currently no effective treatments for <i>RPGR</i>-related retinopathy; however, there are multiple clinical trials in progress exploring gene augmentation therapy aimed at slowing down or halting the progression of disease and possibly restoring visual function. This review focuses on the molecular biology, clinical manifestations, and the recent progress of gene therapy clinical trials.</p>","PeriodicalId":46810,"journal":{"name":"Saudi Journal of Ophthalmology","volume":"37 4","pages":"276-286"},"PeriodicalIF":1.2000,"publicationDate":"2023-10-24","publicationTypes":"Journal Article","fieldsOfStudy":null,"isOpenAccess":false,"openAccessPdf":"https://www.ncbi.nlm.nih.gov/pmc/articles/PMC10752277/pdf/","citationCount":"0","resultStr":null,"platform":"Semanticscholar","paperid":null,"PeriodicalName":"Saudi Journal of Ophthalmology","FirstCategoryId":"1085","ListUrlMain":"https://doi.org/10.4103/sjopt.sjopt_168_23","RegionNum":0,"RegionCategory":null,"ArticlePicture":[],"TitleCN":null,"AbstractTextCN":null,"PMCID":null,"EPubDate":"2023/10/1 0:00:00","PubModel":"eCollection","JCR":"Q4","JCRName":"OPHTHALMOLOGY","Score":null,"Total":0}
引用次数: 0

Abstract

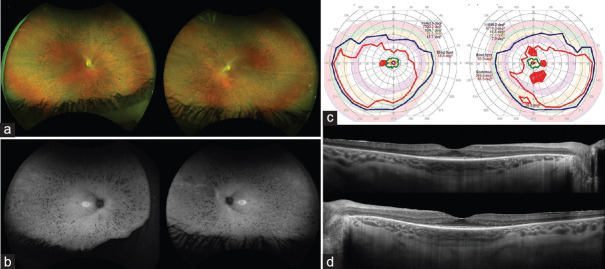
Retinitis pigmentosa GTPase regulator (RPGR)-related retinopathy is a retinal dystrophy inherited in a X-linked recessive manner that typically causes progressive visual loss starting in childhood with severe visual impairment by the fourth decade of life. It manifests as an early onset and severe form of retinitis pigmentosa. There are currently no effective treatments for RPGR-related retinopathy; however, there are multiple clinical trials in progress exploring gene augmentation therapy aimed at slowing down or halting the progression of disease and possibly restoring visual function. This review focuses on the molecular biology, clinical manifestations, and the recent progress of gene therapy clinical trials.

Abstract Image

Abstract Image

Abstract Image

视网膜色素变性 GTPase 调节器相关视网膜病变与基因治疗。
视网膜色素变性 GTPase 调节器(RPGR)相关视网膜病变是一种以 X 连锁隐性方式遗传的视网膜营养不良症,通常会从儿童期开始导致进行性视力丧失,到第四个十年时出现严重的视力损伤。它表现为早发且严重的视网膜色素变性。目前,RPGR 相关视网膜病变还没有有效的治疗方法;不过,有多项临床试验正在进行中,旨在探索基因增强疗法,以减缓或阻止疾病的发展,并在可能的情况下恢复视功能。本综述将重点介绍基因治疗临床试验的分子生物学、临床表现和最新进展。
本文章由计算机程序翻译,如有差异,请以英文原文为准。
求助全文
约1分钟内获得全文 求助全文
来源期刊
CiteScore
0.90
自引率
0.00%
发文量
79
审稿时长
13 weeks
期刊介绍: Saudi Journal of Ophthalmology is an English language, peer-reviewed scholarly publication in the area of ophthalmology. Saudi Journal of Ophthalmology publishes original papers, clinical studies, reviews and case reports. Saudi Journal of Ophthalmology is the official publication of the Saudi Ophthalmological Society and is published by King Saud University in collaboration with Elsevier and is edited by an international group of eminent researchers.
×
引用
GB/T 7714-2015
复制
MLA
复制
APA
复制
导出至
BibTeX EndNote RefMan NoteFirst NoteExpress
×
提示
您的信息不完整,为了账户安全,请先补充。
现在去补充
×
提示
您因"违规操作"
具体请查看互助需知
我知道了
×
提示
确定
请完成安全验证×
copy
已复制链接
快去分享给好友吧!
我知道了
右上角分享
点击右上角分享
0
联系我们:info@booksci.cn Book学术提供免费学术资源搜索服务,方便国内外学者检索中英文文献。致力于提供最便捷和优质的服务体验。 Copyright © 2023 布克学术 All rights reserved.
京ICP备2023020795号-1
ghs 京公网安备 11010802042870号
Book学术文献互助
Book学术文献互助群
群 号:604180095
Book学术官方微信