A patient with widespread skin lesions presenting with massive pleural effusion.

IF 0.7 Q4 RESPIRATORY SYSTEM
Aslıhan Gürün Kaya, Pervin Topçuoğlu, Ayten Kayı Cangır, Nihal Kundakçı, Işınsu Kuzu, Aylin Okçu Heper, Demet Karnak
{"title":"A patient with widespread skin lesions presenting with massive pleural effusion.","authors":"Aslıhan Gürün Kaya, Pervin Topçuoğlu, Ayten Kayı Cangır, Nihal Kundakçı, Işınsu Kuzu, Aylin Okçu Heper, Demet Karnak","doi":"10.5578/tt.20239610","DOIUrl":null,"url":null,"abstract":"<p><p>Mycosis fungoides is the most commonly seen type of cutaneous T-cell lymphoproliferative disease. While mycosis fungoides is linked to an increased risk of developing secondary malignancies, the occurrence of B-cell-originated disease in association with it is exceedingly rare. A 66-year-old male with persistent papillomatous skin eruption was admitted due to dyspnea. Chest X-ray, positron emission tomography, and chest computed tomography revealed axillary and mediastinal lymph node enlargement and right lower pulmonary lobe infiltration along with right-sided massive pleural effusion. Histological and immunohistochemical findings of pleural biopsy and axillary lymph nodes suggested a diagnosis of pulmonary extranodal marginal zone lymphoma. Skin biopsies from the abdomen, chest, and legs revealed CD4/CD8 double-positive patch stage of mycosis fungoides. After completing six cycles of chemotherapy, complete remission of lymphoma was achieved, with the skin eruptions remaining unchanged. Herein, the authors present a unique case of concomitant diagnoses of mycosis fungoides and marginal zone B-cell lymphoma of the respiratory system to emphasize the importance of careful evaluation of each finding.</p>","PeriodicalId":45521,"journal":{"name":"Tuberkuloz ve Toraks-Tuberculosis and Thorax","volume":"71 4","pages":"420-427"},"PeriodicalIF":0.7000,"publicationDate":"2023-12-01","publicationTypes":"Journal Article","fieldsOfStudy":null,"isOpenAccess":false,"openAccessPdf":"https://www.ncbi.nlm.nih.gov/pmc/articles/PMC11390065/pdf/","citationCount":"0","resultStr":null,"platform":"Semanticscholar","paperid":null,"PeriodicalName":"Tuberkuloz ve Toraks-Tuberculosis and Thorax","FirstCategoryId":"1085","ListUrlMain":"https://doi.org/10.5578/tt.20239610","RegionNum":0,"RegionCategory":null,"ArticlePicture":[],"TitleCN":null,"AbstractTextCN":null,"PMCID":null,"EPubDate":"","PubModel":"","JCR":"Q4","JCRName":"RESPIRATORY SYSTEM","Score":null,"Total":0}
引用次数: 0

Abstract

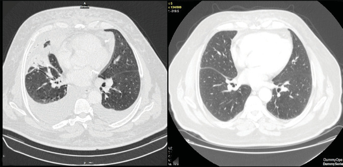
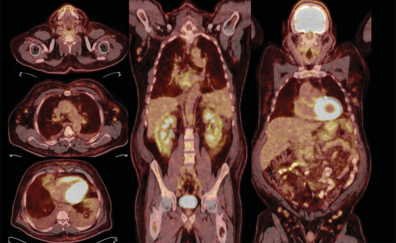
Mycosis fungoides is the most commonly seen type of cutaneous T-cell lymphoproliferative disease. While mycosis fungoides is linked to an increased risk of developing secondary malignancies, the occurrence of B-cell-originated disease in association with it is exceedingly rare. A 66-year-old male with persistent papillomatous skin eruption was admitted due to dyspnea. Chest X-ray, positron emission tomography, and chest computed tomography revealed axillary and mediastinal lymph node enlargement and right lower pulmonary lobe infiltration along with right-sided massive pleural effusion. Histological and immunohistochemical findings of pleural biopsy and axillary lymph nodes suggested a diagnosis of pulmonary extranodal marginal zone lymphoma. Skin biopsies from the abdomen, chest, and legs revealed CD4/CD8 double-positive patch stage of mycosis fungoides. After completing six cycles of chemotherapy, complete remission of lymphoma was achieved, with the skin eruptions remaining unchanged. Herein, the authors present a unique case of concomitant diagnoses of mycosis fungoides and marginal zone B-cell lymphoma of the respiratory system to emphasize the importance of careful evaluation of each finding.

Abstract Image

Abstract Image

Abstract Image

一名患有广泛皮肤病变并伴有大量胸腔积液的患者。
真菌病是最常见的皮肤 T 细胞淋巴组织增生性疾病。虽然放线菌病与继发性恶性肿瘤的发病风险增加有关,但与之相关的B细胞源性疾病却极为罕见。一名66岁的男性因呼吸困难入院,他患有持续性乳头状皮肤糜烂。胸部 X 光、正电子发射断层扫描和胸部计算机断层扫描显示腋窝和纵隔淋巴结肿大、右下肺叶浸润以及右侧大量胸腔积液。胸膜活检和腋窝淋巴结的组织学和免疫组化结果表明,诊断为肺外缘区淋巴瘤。腹部、胸部和腿部的皮肤活检显示,CD4/CD8双阳性斑块处于真菌病阶段。在完成六个周期的化疗后,淋巴瘤完全缓解,皮肤糜烂的情况没有改变。在此,作者介绍了一例同时诊断为真菌病和呼吸系统边缘区B细胞淋巴瘤的独特病例,以强调对每项发现进行仔细评估的重要性。
本文章由计算机程序翻译,如有差异,请以英文原文为准。
求助全文
约1分钟内获得全文 求助全文
来源期刊
CiteScore
1.50
自引率
9.10%
发文量
43
×
引用
GB/T 7714-2015
复制
MLA
复制
APA
复制
导出至
BibTeX EndNote RefMan NoteFirst NoteExpress
×
提示
您的信息不完整,为了账户安全,请先补充。
现在去补充
×
提示
您因"违规操作"
具体请查看互助需知
我知道了
×
提示
确定
请完成安全验证×
copy
已复制链接
快去分享给好友吧!
我知道了
右上角分享
点击右上角分享
0
联系我们:info@booksci.cn Book学术提供免费学术资源搜索服务,方便国内外学者检索中英文文献。致力于提供最便捷和优质的服务体验。 Copyright © 2023 布克学术 All rights reserved.
京ICP备2023020795号-1
ghs 京公网安备 11010802042870号
Book学术文献互助
Book学术文献互助群
群 号:604180095
Book学术官方微信