Concurrent Odontogenic Keratocyst and Odontoma: Report of an Unusual and Rare Entity.

Fatemeh Akbarizadeh, Javad Garmabi, Maryam Paknahad
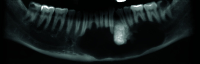
{"title":"Concurrent Odontogenic Keratocyst and Odontoma: Report of an Unusual and Rare Entity.","authors":"Fatemeh Akbarizadeh, Javad Garmabi, Maryam Paknahad","doi":"10.30476/dentjods.2023.98278.2066","DOIUrl":null,"url":null,"abstract":"<p><p>Hybrid lesions of jaws are rare entities defined as two different lesions co-occurring in the same location, with identical histopathological origin. Ameloblastoma, calcifying cystic odontogenic tumor and odontoma are among the most common lesions that have been reported to combine with other lesions. In this study, a hybrid lesion of odontogenic keratocyst (OKC) and odontoma in the mandible of a forty-five years old male reported. Additional to the rarity of this hybrid lesion, the present case had unique radiologic features, including atypical location and extension of the lesion and profound knife-edge root resorption of the teeth in the area, which was not a common feature for any of the two lesions. The surgical procedure was marsupialization to reduce the size of the lesion. As a result of the surgery, the healing of the surgical wound was uneventful. In addition, careful follow-up for the patient was conducted, which had no recurrence till now (after 15 months).</p>","PeriodicalId":73702,"journal":{"name":"Journal of dentistry (Shiraz, Iran)","volume":"24 4","pages":"438-443"},"PeriodicalIF":0.0000,"publicationDate":"2023-12-01","publicationTypes":"Journal Article","fieldsOfStudy":null,"isOpenAccess":false,"openAccessPdf":"https://www.ncbi.nlm.nih.gov/pmc/articles/PMC10749439/pdf/","citationCount":"0","resultStr":null,"platform":"Semanticscholar","paperid":null,"PeriodicalName":"Journal of dentistry (Shiraz, Iran)","FirstCategoryId":"1085","ListUrlMain":"https://doi.org/10.30476/dentjods.2023.98278.2066","RegionNum":0,"RegionCategory":null,"ArticlePicture":[],"TitleCN":null,"AbstractTextCN":null,"PMCID":null,"EPubDate":"","PubModel":"","JCR":"","JCRName":"","Score":null,"Total":0}
引用次数: 0

Abstract

Hybrid lesions of jaws are rare entities defined as two different lesions co-occurring in the same location, with identical histopathological origin. Ameloblastoma, calcifying cystic odontogenic tumor and odontoma are among the most common lesions that have been reported to combine with other lesions. In this study, a hybrid lesion of odontogenic keratocyst (OKC) and odontoma in the mandible of a forty-five years old male reported. Additional to the rarity of this hybrid lesion, the present case had unique radiologic features, including atypical location and extension of the lesion and profound knife-edge root resorption of the teeth in the area, which was not a common feature for any of the two lesions. The surgical procedure was marsupialization to reduce the size of the lesion. As a result of the surgery, the healing of the surgical wound was uneventful. In addition, careful follow-up for the patient was conducted, which had no recurrence till now (after 15 months).

Abstract Image

Abstract Image

Abstract Image

并发牙源性角化囊肿和牙瘤:报告一个不寻常的罕见实体。
颌骨混合性病变是一种罕见的病变,是指两种不同的病变同时发生在同一部位,且组织病理学来源相同。釉母细胞瘤、钙化囊性牙源性肿瘤和牙体瘤是最常见的与其他病变合并的病变。本研究报告了一名四十五岁男性下颌骨中的牙源性角化囊肿(OKC)和牙体瘤混合病变。除了这种混合性病变的罕见性之外,本病例还具有独特的放射学特征,包括病变的非典型位置和扩展,以及该区域牙齿的深度刀刃状牙根吸收,这在这两种病变中并不常见。为缩小病变范围,手术采用了髓内翻修术。手术后,伤口愈合顺利。此外,还对患者进行了仔细的随访,至今(15 个月后)没有复发。
本文章由计算机程序翻译,如有差异,请以英文原文为准。
求助全文
约1分钟内获得全文 求助全文
来源期刊
CiteScore
0.50
自引率
0.00%
发文量
0
×
引用
GB/T 7714-2015
复制
MLA
复制
APA
复制
导出至
BibTeX EndNote RefMan NoteFirst NoteExpress
×
提示
您的信息不完整,为了账户安全,请先补充。
现在去补充
×
提示
您因"违规操作"
具体请查看互助需知
我知道了
×
提示
确定
请完成安全验证×
copy
已复制链接
快去分享给好友吧!
我知道了
右上角分享
点击右上角分享
0
联系我们:info@booksci.cn Book学术提供免费学术资源搜索服务,方便国内外学者检索中英文文献。致力于提供最便捷和优质的服务体验。 Copyright © 2023 布克学术 All rights reserved.
京ICP备2023020795号-1
ghs 京公网安备 11010802042870号
Book学术文献互助
Book学术文献互助群
群 号:604180095
Book学术官方微信