Extensive Urinary Tract Fungal Bezoars Causing Anuria: A Case Report.

IF 0.6 Q3 MEDICINE, GENERAL & INTERNAL
Clinical Medicine Insights. Case Reports Pub Date : 2023-12-25 eCollection Date: 2023-01-01 DOI:10.1177/11795476231220998
Adel Alrabadi, Nedal Alsabatin, Hosam Marwan Masadeh, Azmi Hadidy, Abdulrahman Al-Shudifat
{"title":"Extensive Urinary Tract Fungal Bezoars Causing Anuria: A Case Report.","authors":"Adel Alrabadi, Nedal Alsabatin, Hosam Marwan Masadeh, Azmi Hadidy, Abdulrahman Al-Shudifat","doi":"10.1177/11795476231220998","DOIUrl":null,"url":null,"abstract":"<p><p>Fungal bezoar formation is a complication of fungal urinary tract infections that are usually caused by Candida species and other fungal types. They can form in any site along the urinary tract and may cause an obstruction to the urine flow that would require drainage by nephrostomy, a ureteric stent, and sometimes surgical intervention is needed. In this case report we discuss a case of an adult male who had an extensive fungal bezoar infection caused by Candida tropicalis causing him anuria and acute kidney injury. The bezoars were found in the bladder, the ureters, and both kidneys. The patient was treated with bilateral ureteric stent insertion and with fluconazole for 3 weeks. Bilateral ureteroscopy and urine culture were done after 2 months and they showed that the bezoars have been eradicated on both gross and microscopic levels.</p>","PeriodicalId":10357,"journal":{"name":"Clinical Medicine Insights. Case Reports","volume":"16 ","pages":"11795476231220998"},"PeriodicalIF":0.6000,"publicationDate":"2023-12-25","publicationTypes":"Journal Article","fieldsOfStudy":null,"isOpenAccess":false,"openAccessPdf":"https://www.ncbi.nlm.nih.gov/pmc/articles/PMC10750544/pdf/","citationCount":"0","resultStr":null,"platform":"Semanticscholar","paperid":null,"PeriodicalName":"Clinical Medicine Insights. Case Reports","FirstCategoryId":"1085","ListUrlMain":"https://doi.org/10.1177/11795476231220998","RegionNum":0,"RegionCategory":null,"ArticlePicture":[],"TitleCN":null,"AbstractTextCN":null,"PMCID":null,"EPubDate":"2023/1/1 0:00:00","PubModel":"eCollection","JCR":"Q3","JCRName":"MEDICINE, GENERAL & INTERNAL","Score":null,"Total":0}
引用次数: 0

Abstract

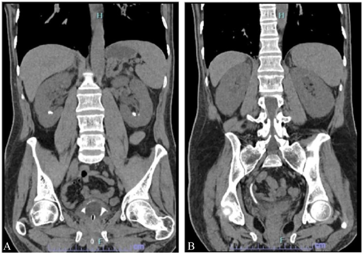
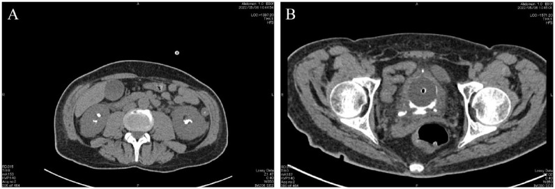
Fungal bezoar formation is a complication of fungal urinary tract infections that are usually caused by Candida species and other fungal types. They can form in any site along the urinary tract and may cause an obstruction to the urine flow that would require drainage by nephrostomy, a ureteric stent, and sometimes surgical intervention is needed. In this case report we discuss a case of an adult male who had an extensive fungal bezoar infection caused by Candida tropicalis causing him anuria and acute kidney injury. The bezoars were found in the bladder, the ureters, and both kidneys. The patient was treated with bilateral ureteric stent insertion and with fluconazole for 3 weeks. Bilateral ureteroscopy and urine culture were done after 2 months and they showed that the bezoars have been eradicated on both gross and microscopic levels.

Abstract Image

Abstract Image

Abstract Image

引起无尿的广泛性尿路真菌虫瘿:病例报告
真菌性软泡形成是真菌性尿路感染的一种并发症,通常由念珠菌和其他类型的真菌引起。它们可在尿路的任何部位形成,并可能导致尿流受阻,需要通过肾造瘘术或输尿管支架引流,有时还需要手术干预。在本病例报告中,我们讨论了一例由热带念珠菌引起的广泛真菌性牛粪癣感染的成年男性病例,该病例引起了无尿和急性肾损伤。膀胱、输尿管和双肾中都发现了牛粪状真菌。患者接受了双侧输尿管支架植入术和氟康唑治疗 3 周。2 个月后,患者接受了双侧输尿管镜检查和尿液培养,结果显示,无论从大体还是显微镜下看,虾螨均已被根除。
本文章由计算机程序翻译,如有差异,请以英文原文为准。
求助全文
约1分钟内获得全文 求助全文
来源期刊
Clinical Medicine Insights. Case Reports
Clinical Medicine Insights. Case Reports MEDICINE, GENERAL & INTERNAL-
CiteScore
1.10
自引率
0.00%
发文量
57
审稿时长
8 weeks
×
引用
GB/T 7714-2015
复制
MLA
复制
APA
复制
导出至
BibTeX EndNote RefMan NoteFirst NoteExpress
×
提示
您的信息不完整,为了账户安全,请先补充。
现在去补充
×
提示
您因"违规操作"
具体请查看互助需知
我知道了
×
提示
确定
请完成安全验证×
copy
已复制链接
快去分享给好友吧!
我知道了
右上角分享
点击右上角分享
0
联系我们:info@booksci.cn Book学术提供免费学术资源搜索服务,方便国内外学者检索中英文文献。致力于提供最便捷和优质的服务体验。 Copyright © 2023 布克学术 All rights reserved.
京ICP备2023020795号-1
ghs 京公网安备 11010802042870号
Book学术文献互助
Book学术文献互助群
群 号:604180095
Book学术官方微信