Epstein-Barr Virus Driven Hodgkin's Lymphoma after a Short Course of Daratumumab Treatment for Relapsed Multiple Myeloma.

IF 0.7 Q4 HEMATOLOGY
Case Reports in Hematology Pub Date : 2023-12-18 eCollection Date: 2023-01-01 DOI:10.1155/2023/6669174
Moeen Mohammadi-Oroujeh, Ansa Mehreen, David L Grinblatt
{"title":"Epstein-Barr Virus Driven Hodgkin's Lymphoma after a Short Course of Daratumumab Treatment for Relapsed Multiple Myeloma.","authors":"Moeen Mohammadi-Oroujeh, Ansa Mehreen, David L Grinblatt","doi":"10.1155/2023/6669174","DOIUrl":null,"url":null,"abstract":"<p><p>In this case, we describe the potential risk of developing an infectious complication leading to a secondary malignancy after a short course of immunotherapy. We report a patient who presented with Epstein-Barr virus (EBV) driven Hodgkin's lymphoma after treatment with a short course of daratumumab along with pomalidomide and dexamethasone for relapsed multiple myeloma. Although there have been limited documented cases of daratumumab treatment leading to EBV reactivation, in patients presenting with infectious symptoms or neutropenia on a daratumumab-based regimen, testing for EBV should not be overlooked.</p>","PeriodicalId":46307,"journal":{"name":"Case Reports in Hematology","volume":"2023 ","pages":"6669174"},"PeriodicalIF":0.7000,"publicationDate":"2023-12-18","publicationTypes":"Journal Article","fieldsOfStudy":null,"isOpenAccess":false,"openAccessPdf":"https://www.ncbi.nlm.nih.gov/pmc/articles/PMC10749716/pdf/","citationCount":"0","resultStr":null,"platform":"Semanticscholar","paperid":null,"PeriodicalName":"Case Reports in Hematology","FirstCategoryId":"1085","ListUrlMain":"https://doi.org/10.1155/2023/6669174","RegionNum":0,"RegionCategory":null,"ArticlePicture":[],"TitleCN":null,"AbstractTextCN":null,"PMCID":null,"EPubDate":"2023/1/1 0:00:00","PubModel":"eCollection","JCR":"Q4","JCRName":"HEMATOLOGY","Score":null,"Total":0}
引用次数: 0

Abstract

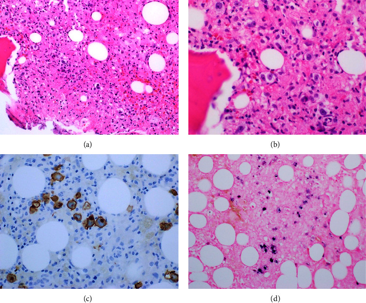
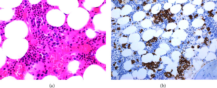
In this case, we describe the potential risk of developing an infectious complication leading to a secondary malignancy after a short course of immunotherapy. We report a patient who presented with Epstein-Barr virus (EBV) driven Hodgkin's lymphoma after treatment with a short course of daratumumab along with pomalidomide and dexamethasone for relapsed multiple myeloma. Although there have been limited documented cases of daratumumab treatment leading to EBV reactivation, in patients presenting with infectious symptoms or neutropenia on a daratumumab-based regimen, testing for EBV should not be overlooked.

Abstract Image

Abstract Image

多发性骨髓瘤复发者短期服用达拉单抗后出现由爱泼斯坦-巴氏病毒引起的霍奇金淋巴瘤
在本病例中,我们描述了短期免疫疗法后出现感染性并发症导致继发性恶性肿瘤的潜在风险。我们报告了一名患者,他在接受达拉土单抗与泊马度胺和地塞米松短期治疗复发的多发性骨髓瘤后,出现了由爱泼斯坦-巴尔病毒(EBV)驱动的霍奇金淋巴瘤。虽然达拉土单抗治疗导致EB病毒再激活的病例记录有限,但在使用达拉土单抗治疗方案出现感染症状或中性粒细胞减少的患者中,EB病毒检测不容忽视。
本文章由计算机程序翻译,如有差异,请以英文原文为准。
求助全文
约1分钟内获得全文 求助全文
来源期刊
自引率
0.00%
发文量
51
审稿时长
13 weeks
×
引用
GB/T 7714-2015
复制
MLA
复制
APA
复制
导出至
BibTeX EndNote RefMan NoteFirst NoteExpress
×
提示
您的信息不完整,为了账户安全,请先补充。
现在去补充
×
提示
您因"违规操作"
具体请查看互助需知
我知道了
×
提示
确定
请完成安全验证×
copy
已复制链接
快去分享给好友吧!
我知道了
右上角分享
点击右上角分享
0
联系我们:info@booksci.cn Book学术提供免费学术资源搜索服务,方便国内外学者检索中英文文献。致力于提供最便捷和优质的服务体验。 Copyright © 2023 布克学术 All rights reserved.
京ICP备2023020795号-1
ghs 京公网安备 11010802042870号
Book学术文献互助
Book学术文献互助群
群 号:604180095
Book学术官方微信