Lupus hands mimicking psoriatic arthritis.

IF 2.5
Rheumatology and immunology research Pub Date : 2023-12-19 eCollection Date: 2023-12-01 DOI:10.2478/rir-2023-0031
Lidan Zhao, Fengchun Zhang
{"title":"Lupus hands mimicking psoriatic arthritis.","authors":"Lidan Zhao, Fengchun Zhang","doi":"10.2478/rir-2023-0031","DOIUrl":null,"url":null,"abstract":"<p><p>We report a case of a 68-year-old woman with chronic and severely destructive arthritis for 8 years with imaging features mimicking psoriatic arthritis (PsA) but serological evidence of systemic lupus erythematosus. Both the lupus panniculitis-like rash and the presence of interstitial lung disease were considered manifestations of systemic involvement of SLE.</p>","PeriodicalId":74736,"journal":{"name":"Rheumatology and immunology research","volume":"4 4","pages":"216-218"},"PeriodicalIF":2.5000,"publicationDate":"2023-12-19","publicationTypes":"Journal Article","fieldsOfStudy":null,"isOpenAccess":false,"openAccessPdf":"https://www.ncbi.nlm.nih.gov/pmc/articles/PMC10729590/pdf/","citationCount":"0","resultStr":null,"platform":"Semanticscholar","paperid":null,"PeriodicalName":"Rheumatology and immunology research","FirstCategoryId":"1085","ListUrlMain":"https://doi.org/10.2478/rir-2023-0031","RegionNum":0,"RegionCategory":null,"ArticlePicture":[],"TitleCN":null,"AbstractTextCN":null,"PMCID":null,"EPubDate":"2023/12/1 0:00:00","PubModel":"eCollection","JCR":"","JCRName":"","Score":null,"Total":0}
引用次数: 0

Abstract

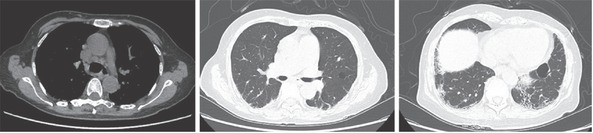
We report a case of a 68-year-old woman with chronic and severely destructive arthritis for 8 years with imaging features mimicking psoriatic arthritis (PsA) but serological evidence of systemic lupus erythematosus. Both the lupus panniculitis-like rash and the presence of interstitial lung disease were considered manifestations of systemic involvement of SLE.

Abstract Image

Abstract Image

狼疮手模仿银屑病关节炎。
我们报告了一例68岁女性患者的病例,她患有慢性严重破坏性关节炎8年,影像学特征类似银屑病关节炎(PsA),但血清学证据显示她患有系统性红斑狼疮。狼疮泛发性皮疹和间质性肺病都被认为是系统性红斑狼疮全身受累的表现。
本文章由计算机程序翻译,如有差异,请以英文原文为准。
求助全文
约1分钟内获得全文 求助全文
来源期刊
CiteScore
1.40
自引率
0.00%
发文量
0
×
引用
GB/T 7714-2015
复制
MLA
复制
APA
复制
导出至
BibTeX EndNote RefMan NoteFirst NoteExpress
×
提示
您的信息不完整,为了账户安全,请先补充。
现在去补充
×
提示
您因"违规操作"
具体请查看互助需知
我知道了
×
提示
确定
请完成安全验证×
copy
已复制链接
快去分享给好友吧!
我知道了
右上角分享
点击右上角分享
0
联系我们:info@booksci.cn Book学术提供免费学术资源搜索服务,方便国内外学者检索中英文文献。致力于提供最便捷和优质的服务体验。 Copyright © 2023 布克学术 All rights reserved.
京ICP备2023020795号-1
ghs 京公网安备 11010802042870号
Book学术文献互助
Book学术文献互助群
群 号:604180095
Book学术官方微信