A Giant Frontal Sinus Mucocele in an Opium Addict Patient: A Case Report.

IF 1 Q3 SURGERY
Gholamreza Motazedian, Elnaz Koushki, Mehryar Nahaei, Fateme Salari, Hamid Reihani, Ebtesam Jabbari, Alireza Keshtkar
{"title":"A Giant Frontal Sinus Mucocele in an Opium Addict Patient: A Case Report.","authors":"Gholamreza Motazedian, Elnaz Koushki, Mehryar Nahaei, Fateme Salari, Hamid Reihani, Ebtesam Jabbari, Alireza Keshtkar","doi":"10.52547/wjps.12.2.107","DOIUrl":null,"url":null,"abstract":"<p><p>Mucocele is a benign soft tissue mass that could occur in all accessory glands. Mucocele can also occur in paranasal sinuses. It is mostly placed in the frontal sinus and barely grows larger than 1.5 centimeters(cm). Based on the affected site, it could cause facial pain and headache. Analgesics like opioids could relieve and potentially make patients ignore the headache and cause giant frontal mucocele. This article discusses a patient with giant frontal sinus mucocele (7×8×8 cm) and opium addiction that presented with severe and intolerable pain. A 32 yr old man came to Rajaee Trauma Hospital, Shiraz, Iran with a severe headache and a large swelling of the face frontal region that developed gradually. In physical examination, the mass was non-tender, non-pulsatile, and free from the overlying normal skin. Computed tomography (CT) scan and magnetic resonance imaging (MRI) demonstrated a frontal sinus mucocele. The operation was planned, and the patient was discharged after two days. Subsequently, the 6-month follow-up of the patient was normal. Two different hypotheses are declared in this article. First, the potential role of opium addiction as a risk factor for giant mucoceles was noted, then the analgesic non-responsiveness of sinus mucoceles was described. The latter hypothesis is more likely. So, we should consider that if the patient had an analgesic-resistant headache, one differential diagnosis could be sinus mucocele. Moreover, the pos sible psychological effect of addiction on discounting face beauty was acknowledged.</p>","PeriodicalId":23736,"journal":{"name":"World Journal of Plastic Surgery","volume":"12 2","pages":"107-111"},"PeriodicalIF":1.0000,"publicationDate":"2023-01-01","publicationTypes":"Journal Article","fieldsOfStudy":null,"isOpenAccess":false,"openAccessPdf":"https://www.ncbi.nlm.nih.gov/pmc/articles/PMC10732282/pdf/","citationCount":"0","resultStr":null,"platform":"Semanticscholar","paperid":null,"PeriodicalName":"World Journal of Plastic Surgery","FirstCategoryId":"1085","ListUrlMain":"https://doi.org/10.52547/wjps.12.2.107","RegionNum":0,"RegionCategory":null,"ArticlePicture":[],"TitleCN":null,"AbstractTextCN":null,"PMCID":null,"EPubDate":"","PubModel":"","JCR":"Q3","JCRName":"SURGERY","Score":null,"Total":0}
引用次数: 0

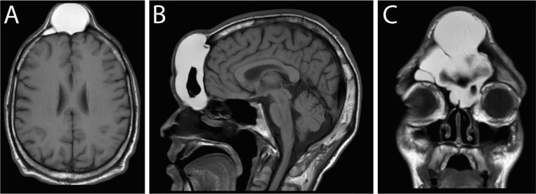
Abstract

Mucocele is a benign soft tissue mass that could occur in all accessory glands. Mucocele can also occur in paranasal sinuses. It is mostly placed in the frontal sinus and barely grows larger than 1.5 centimeters(cm). Based on the affected site, it could cause facial pain and headache. Analgesics like opioids could relieve and potentially make patients ignore the headache and cause giant frontal mucocele. This article discusses a patient with giant frontal sinus mucocele (7×8×8 cm) and opium addiction that presented with severe and intolerable pain. A 32 yr old man came to Rajaee Trauma Hospital, Shiraz, Iran with a severe headache and a large swelling of the face frontal region that developed gradually. In physical examination, the mass was non-tender, non-pulsatile, and free from the overlying normal skin. Computed tomography (CT) scan and magnetic resonance imaging (MRI) demonstrated a frontal sinus mucocele. The operation was planned, and the patient was discharged after two days. Subsequently, the 6-month follow-up of the patient was normal. Two different hypotheses are declared in this article. First, the potential role of opium addiction as a risk factor for giant mucoceles was noted, then the analgesic non-responsiveness of sinus mucoceles was described. The latter hypothesis is more likely. So, we should consider that if the patient had an analgesic-resistant headache, one differential diagnosis could be sinus mucocele. Moreover, the pos sible psychological effect of addiction on discounting face beauty was acknowledged.

Abstract Image

Abstract Image

Abstract Image

鸦片瘾患者的巨大额窦黏液瘤:病例报告
囊肿是一种良性软组织肿块,可发生在所有附属腺体中。鼻腔黏液瘤也可能发生在鼻旁窦。它大多位于额窦,几乎不会超过 1.5 厘米(cm)。根据受影响的部位,它可能会引起面部疼痛和头痛。阿片类等止痛药可以缓解头痛,并有可能使患者忽视头痛而导致巨大额粘液瘤。本文讨论了一名患有巨大额窦粘液瘤(7×8×8 厘米)并吸食鸦片成瘾的患者,该患者表现为剧烈且难以忍受的疼痛。一名 32 岁的男子因剧烈头痛和面部额区逐渐出现的巨大肿胀来到伊朗设拉子的 Rajaee 外伤医院就诊。体格检查显示,肿块无触痛,无搏动,与周围正常皮肤无粘连。计算机断层扫描(CT)和磁共振成像(MRI)显示为额窦粘液瘤。手术按计划进行,患者两天后出院。随后,对患者进行了 6 个月的随访,结果一切正常。本文提出了两个不同的假设。首先,指出了鸦片成瘾作为巨大粘液瘤风险因素的潜在作用,然后描述了鼻窦粘液瘤的镇痛无反应性。后一种假设的可能性更大。因此,我们应该考虑到,如果患者有镇痛药耐受性头痛,鉴别诊断之一可能是鼻窦粘液瘤。此外,上瘾对容貌美打折扣可能产生的心理影响也得到了认可。
本文章由计算机程序翻译,如有差异,请以英文原文为准。
求助全文
约1分钟内获得全文 求助全文
来源期刊
自引率
11.10%
发文量
41
×
引用
GB/T 7714-2015
复制
MLA
复制
APA
复制
导出至
BibTeX EndNote RefMan NoteFirst NoteExpress
×
提示
您的信息不完整,为了账户安全,请先补充。
现在去补充
×
提示
您因"违规操作"
具体请查看互助需知
我知道了
×
提示
确定
请完成安全验证×
copy
已复制链接
快去分享给好友吧!
我知道了
右上角分享
点击右上角分享
0
联系我们:info@booksci.cn Book学术提供免费学术资源搜索服务,方便国内外学者检索中英文文献。致力于提供最便捷和优质的服务体验。 Copyright © 2023 布克学术 All rights reserved.
京ICP备2023020795号-1
ghs 京公网安备 11010802042870号
Book学术文献互助
Book学术文献互助群
群 号:604180095
Book学术官方微信