Incidental Discovery of Hepatocellular Carcinoma on 18F-PSMA PET CT Performed for Prostate Cancer Reassessment.

IF 0.5 Q4 SURGERY
Case Reports in Surgery Pub Date : 2023-12-13 eCollection Date: 2023-01-01 DOI:10.1155/2023/1458175
Lauren Hekman, Eva Napierkowski, Natalie C Hartman, Jeffrey L Ellis, Robert H Wagner, Davide Bova, Maria M Picken, Robert C Flanigan
{"title":"Incidental Discovery of Hepatocellular Carcinoma on 18F-PSMA PET CT Performed for Prostate Cancer Reassessment.","authors":"Lauren Hekman, Eva Napierkowski, Natalie C Hartman, Jeffrey L Ellis, Robert H Wagner, Davide Bova, Maria M Picken, Robert C Flanigan","doi":"10.1155/2023/1458175","DOIUrl":null,"url":null,"abstract":"<p><p>Prostate-specific membrane antigen positron emission tomography (PSMA PET) has been approved by the Food and Drug Administration (FDA) to identify prostate cancer in the setting of biochemical recurrence but can also identify other malignancies. 18F-PSMA PET has not been studied as a potential tool for hepatocellular carcinoma (HCC). We describe the case of a 76-year-old male with a rising prostate-specific antigen (PSA) after definitive prostate cancer treatment and no prior liver pathology who was incidentally found to have HCC on 18F-PSMA PET.</p>","PeriodicalId":9600,"journal":{"name":"Case Reports in Surgery","volume":"2023 ","pages":"1458175"},"PeriodicalIF":0.5000,"publicationDate":"2023-12-13","publicationTypes":"Journal Article","fieldsOfStudy":null,"isOpenAccess":false,"openAccessPdf":"https://www.ncbi.nlm.nih.gov/pmc/articles/PMC10733019/pdf/","citationCount":"0","resultStr":null,"platform":"Semanticscholar","paperid":null,"PeriodicalName":"Case Reports in Surgery","FirstCategoryId":"1085","ListUrlMain":"https://doi.org/10.1155/2023/1458175","RegionNum":0,"RegionCategory":null,"ArticlePicture":[],"TitleCN":null,"AbstractTextCN":null,"PMCID":null,"EPubDate":"2023/1/1 0:00:00","PubModel":"eCollection","JCR":"Q4","JCRName":"SURGERY","Score":null,"Total":0}
引用次数: 0

Abstract

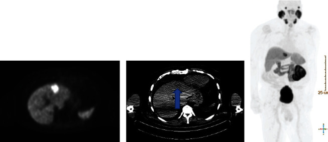
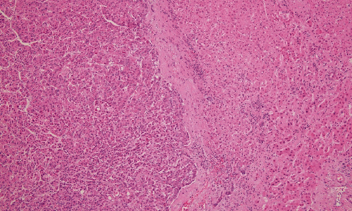
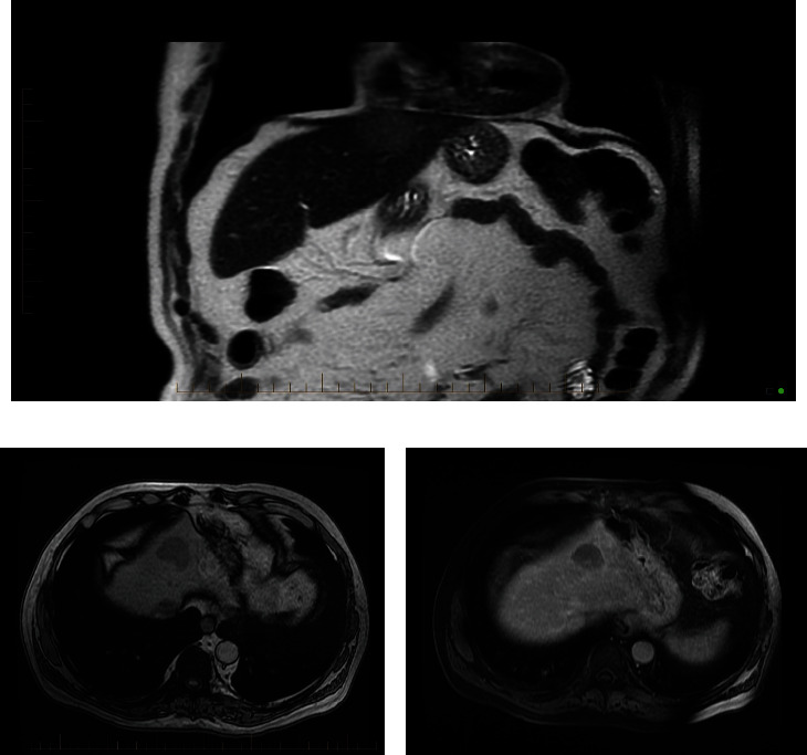
Prostate-specific membrane antigen positron emission tomography (PSMA PET) has been approved by the Food and Drug Administration (FDA) to identify prostate cancer in the setting of biochemical recurrence but can also identify other malignancies. 18F-PSMA PET has not been studied as a potential tool for hepatocellular carcinoma (HCC). We describe the case of a 76-year-old male with a rising prostate-specific antigen (PSA) after definitive prostate cancer treatment and no prior liver pathology who was incidentally found to have HCC on 18F-PSMA PET.

Abstract Image

Abstract Image

Abstract Image

为前列腺癌复查而进行的 18F-PSMA PET CT 意外发现肝细胞癌。
前列腺特异性膜抗原正电子发射断层扫描(PSMA PET)已获美国食品和药物管理局(FDA)批准,用于在生化复发的情况下鉴别前列腺癌,但也可鉴别其他恶性肿瘤。18F-PSMA PET 作为一种潜在的肝细胞癌(HCC)检测工具尚未得到研究。我们描述了这样一个病例:一名 76 岁的男性在前列腺癌明确治疗后前列腺特异性抗原 (PSA) 不断升高,但之前未进行过肝脏病理检查,18F-PSMA PET 意外发现他患有肝细胞癌。
本文章由计算机程序翻译,如有差异,请以英文原文为准。
求助全文
约1分钟内获得全文 求助全文
来源期刊
自引率
0.00%
发文量
60
审稿时长
13 weeks
×
引用
GB/T 7714-2015
复制
MLA
复制
APA
复制
导出至
BibTeX EndNote RefMan NoteFirst NoteExpress
×
提示
您的信息不完整,为了账户安全,请先补充。
现在去补充
×
提示
您因"违规操作"
具体请查看互助需知
我知道了
×
提示
确定
请完成安全验证×
copy
已复制链接
快去分享给好友吧!
我知道了
右上角分享
点击右上角分享
0
联系我们:info@booksci.cn Book学术提供免费学术资源搜索服务,方便国内外学者检索中英文文献。致力于提供最便捷和优质的服务体验。 Copyright © 2023 布克学术 All rights reserved.
京ICP备2023020795号-1
ghs 京公网安备 11010802042870号
Book学术文献互助
Book学术文献互助群
群 号:604180095
Book学术官方微信