Renal Transplant Artery Stenosis and Kinking: An Unusual Association.

POCUS journal Pub Date : 2023-11-27 eCollection Date: 2023-01-01 DOI:10.24908/pocus.v8i2.16461
R Haridian Sosa Barrios, V Burguera Vion, E Casillas Sagrado, D Villa Hurtado, S Jiménez Álvaro, I Martín Capón, M Fernández Lucas, Maite E Rivera Gorrín
{"title":"Renal Transplant Artery Stenosis and Kinking: An Unusual Association.","authors":"R Haridian Sosa Barrios, V Burguera Vion, E Casillas Sagrado, D Villa Hurtado, S Jiménez Álvaro, I Martín Capón, M Fernández Lucas, Maite E Rivera Gorrín","doi":"10.24908/pocus.v8i2.16461","DOIUrl":null,"url":null,"abstract":"<p><p>Renal artery stenosis of the kidney allograft associated with kinking is not a frequent finding. As a correctable cause of graft dysfunction, it is important to diagnose it as soon as possible to avoid further graft damage and improve graft and patient survival. As pulsed wave Doppler ultrasound mapping of the graft's renal arteries is essential to diagnose possible alterations, point of care ultrasound (POCUS) is a highly useful tool for early diagnosis. We present a case in which nephrologists performed this examination promptly allowing a timely diagnosis and treatment plan.</p>","PeriodicalId":74470,"journal":{"name":"POCUS journal","volume":"8 2","pages":"132-135"},"PeriodicalIF":0.0000,"publicationDate":"2023-11-27","publicationTypes":"Journal Article","fieldsOfStudy":null,"isOpenAccess":false,"openAccessPdf":"https://www.ncbi.nlm.nih.gov/pmc/articles/PMC10721294/pdf/","citationCount":"0","resultStr":null,"platform":"Semanticscholar","paperid":null,"PeriodicalName":"POCUS journal","FirstCategoryId":"1085","ListUrlMain":"https://doi.org/10.24908/pocus.v8i2.16461","RegionNum":0,"RegionCategory":null,"ArticlePicture":[],"TitleCN":null,"AbstractTextCN":null,"PMCID":null,"EPubDate":"2023/1/1 0:00:00","PubModel":"eCollection","JCR":"","JCRName":"","Score":null,"Total":0}
引用次数: 0

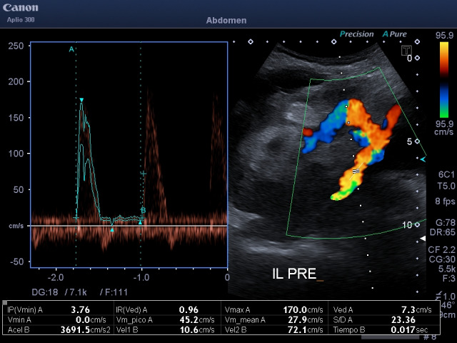
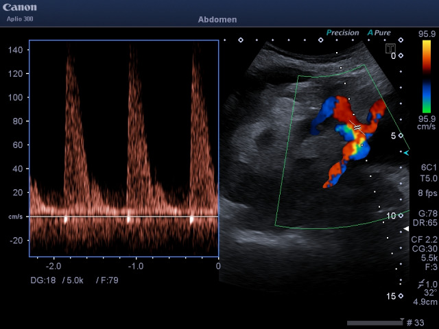
Abstract

Renal artery stenosis of the kidney allograft associated with kinking is not a frequent finding. As a correctable cause of graft dysfunction, it is important to diagnose it as soon as possible to avoid further graft damage and improve graft and patient survival. As pulsed wave Doppler ultrasound mapping of the graft's renal arteries is essential to diagnose possible alterations, point of care ultrasound (POCUS) is a highly useful tool for early diagnosis. We present a case in which nephrologists performed this examination promptly allowing a timely diagnosis and treatment plan.

Abstract Image

Abstract Image

Abstract Image

肾移植动脉狭窄和扭结:不寻常的关联
肾脏异体移植肾动脉狭窄伴有扭结的情况并不常见。作为移植物功能障碍的一个可纠正的原因,尽早诊断以避免进一步的移植物损伤并提高移植物和患者的存活率非常重要。由于对移植物肾动脉进行脉冲波多普勒超声测绘对于诊断可能发生的改变至关重要,因此护理点超声(POCUS)是一种非常有用的早期诊断工具。我们介绍了一个病例,在该病例中,肾科医生及时进行了这一检查,从而获得了及时的诊断和治疗方案。
本文章由计算机程序翻译,如有差异,请以英文原文为准。
求助全文
约1分钟内获得全文 求助全文
来源期刊
自引率
0.00%
发文量
0
×
引用
GB/T 7714-2015
复制
MLA
复制
APA
复制
导出至
BibTeX EndNote RefMan NoteFirst NoteExpress
×
提示
您的信息不完整,为了账户安全,请先补充。
现在去补充
×
提示
您因"违规操作"
具体请查看互助需知
我知道了
×
提示
确定
请完成安全验证×
copy
已复制链接
快去分享给好友吧!
我知道了
右上角分享
点击右上角分享
0
联系我们:info@booksci.cn Book学术提供免费学术资源搜索服务,方便国内外学者检索中英文文献。致力于提供最便捷和优质的服务体验。 Copyright © 2023 布克学术 All rights reserved.
京ICP备2023020795号-1
ghs 京公网安备 11010802042870号
Book学术文献互助
Book学术文献互助群
群 号:604180095
Book学术官方微信